• 文献检索
  • 文档翻译
  • 深度研究
  • 学术资讯
  • Suppr Zotero 插件Zotero 插件
  • 邀请有礼
  • 套餐&价格
  • 历史记录
应用&插件
Suppr Zotero 插件Zotero 插件浏览器插件Mac 客户端Windows 客户端微信小程序
定价
高级版会员购买积分包购买API积分包
服务
文献检索文档翻译深度研究API 文档MCP 服务
关于我们
关于 Suppr公司介绍联系我们用户协议隐私条款
关注我们

Suppr 超能文献

核心技术专利:CN118964589B侵权必究
粤ICP备2023148730 号-1Suppr @ 2026

文献检索

告别复杂PubMed语法,用中文像聊天一样搜索,搜遍4000万医学文献。AI智能推荐,让科研检索更轻松。

立即免费搜索

文件翻译

保留排版,准确专业,支持PDF/Word/PPT等文件格式,支持 12+语言互译。

免费翻译文档

深度研究

AI帮你快速写综述,25分钟生成高质量综述,智能提取关键信息,辅助科研写作。

立即免费体验

抗风湿病情改善药物对类风湿滑膜作用的研究:金制剂或青霉胺治疗后T淋巴细胞亚群及HLA - DP和DQ抗原表达的降低

An investigation of the action of disease modifying antirheumatic drugs on the rheumatoid synovial membrane: reduction in T lymphocyte subpopulations and HLA-DP and DQ antigen expression after gold or penicillamine therapy.

作者信息

Walters M T, Smith J L, Moore K, Evans P R, Cawley M I

出版信息

Ann Rheum Dis. 1987 Jan;46(1):7-16. doi: 10.1136/ard.46.1.7.

DOI:10.1136/ard.46.1.7
PMID:3101623
原文链接:https://pmc.ncbi.nlm.nih.gov/articles/PMC1002051/
Abstract

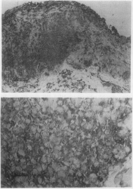
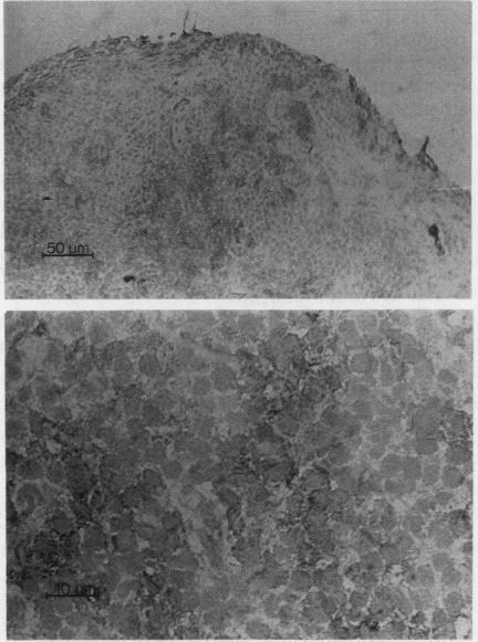
Synovial needle biopsy specimens from the knee joints of seven patients with rheumatoid arthritis (RA) were examined immunohistochemically before and after six months' treatment with either gold or penicillamine (disease modifying drugs, DMDs). There were significant reductions in the numbers of infiltrating T lymphocytes and a disproportionate fall in the numbers of lymphocytes of the helper/inducer subset when compared with those of the suppressor/cytotoxic subset. This resulted in a fall in the ratio of helper/inducer to suppressor/cytotoxic cells. The immunohistological changes correlated with improvements in erythrocyte sedimentation rate (ESR), serum immunoglobulins, visual analogue pain assessment, grip strength, and Ritchie articular index. A second group of nine patients with RA, already well established on DMD therapy, did not show similar changes after the six month period. The HLA class II antigens DR, DQ, and DP were widely expressed on lymphocytes, macrophages, and synovial lining cells of a group of patients with RA who had never received disease modifying drug therapy. After treatment there was a significant reduction in the expression of HLA-DP and DQ antigens.

摘要

对7例类风湿性关节炎(RA)患者膝关节的滑膜针吸活检标本在接受金制剂或青霉胺(病情缓解药物,DMDs)治疗6个月前后进行免疫组织化学检查。与抑制/细胞毒性亚群的淋巴细胞数量相比,浸润性T淋巴细胞数量显著减少,辅助/诱导亚群的淋巴细胞数量下降不成比例。这导致辅助/诱导细胞与抑制/细胞毒性细胞的比例下降。免疫组织学变化与红细胞沉降率(ESR)、血清免疫球蛋白、视觉模拟疼痛评估、握力和里奇关节指数的改善相关。另一组9例已接受DMD治疗且病情稳定的RA患者在6个月后未出现类似变化。一组从未接受过病情缓解药物治疗的RA患者的淋巴细胞、巨噬细胞和滑膜衬里细胞广泛表达HLA - II类抗原DR、DQ和DP。治疗后,HLA - DP和DQ抗原的表达显著降低。

https://cdn.ncbi.nlm.nih.gov/pmc/blobs/d19c/1002051/1834654be071/annrheumd00280-0028-a.jpg
https://cdn.ncbi.nlm.nih.gov/pmc/blobs/d19c/1002051/776ea174d0ce/annrheumd00280-0027-a.jpg
https://cdn.ncbi.nlm.nih.gov/pmc/blobs/d19c/1002051/f8a0c69663fe/annrheumd00280-0027-b.jpg
https://cdn.ncbi.nlm.nih.gov/pmc/blobs/d19c/1002051/4dc326572f51/annrheumd00280-0027-c.jpg
https://cdn.ncbi.nlm.nih.gov/pmc/blobs/d19c/1002051/1834654be071/annrheumd00280-0028-a.jpg
https://cdn.ncbi.nlm.nih.gov/pmc/blobs/d19c/1002051/776ea174d0ce/annrheumd00280-0027-a.jpg
https://cdn.ncbi.nlm.nih.gov/pmc/blobs/d19c/1002051/f8a0c69663fe/annrheumd00280-0027-b.jpg
https://cdn.ncbi.nlm.nih.gov/pmc/blobs/d19c/1002051/4dc326572f51/annrheumd00280-0027-c.jpg
https://cdn.ncbi.nlm.nih.gov/pmc/blobs/d19c/1002051/1834654be071/annrheumd00280-0028-a.jpg

相似文献

1
An investigation of the action of disease modifying antirheumatic drugs on the rheumatoid synovial membrane: reduction in T lymphocyte subpopulations and HLA-DP and DQ antigen expression after gold or penicillamine therapy.抗风湿病情改善药物对类风湿滑膜作用的研究:金制剂或青霉胺治疗后T淋巴细胞亚群及HLA - DP和DQ抗原表达的降低
Ann Rheum Dis. 1987 Jan;46(1):7-16. doi: 10.1136/ard.46.1.7.
2
Expression of HLA-DR, DQ and DP antigens and interleukin-2 receptor on synovial fluid T lymphocyte subsets in rheumatoid arthritis: evidence for "frustrated" activation.类风湿关节炎患者滑液T淋巴细胞亚群上HLA - DR、DQ和DP抗原及白细胞介素-2受体的表达:“受阻”激活的证据
J Rheumatol. 1987 Aug;14(4):662-6.
3
Increased expression of HLA-DQ antigens by interstitial cells and endothelium in the synovial membrane of rheumatoid arthritis patients compared with reactive arthritis patients.与反应性关节炎患者相比,类风湿关节炎患者滑膜中的间质细胞和内皮细胞HLA - DQ抗原表达增加。
Arthritis Rheum. 1989 Aug;32(8):955-63. doi: 10.1002/anr.1780320804.
4
Differential tissue distribution of HLA-DR, -DP and -DQ antigens.HLA-DR、-DP和-DQ抗原的组织分布差异。
Adv Exp Med Biol. 1987;216A:233-9. doi: 10.1007/978-1-4684-5344-7_27.
5
The role of HLA class II antigens in the induction of cytotoxic T lymphocytes.人类白细胞抗原II类抗原在细胞毒性T淋巴细胞诱导中的作用。
Eur J Immunogenet. 1995 Dec;22(6):425-34. doi: 10.1111/j.1744-313x.1995.tb00280.x.
6
Immunochemical and functional analysis of HLA class II antigens induced by recombinant immune interferon on normal epidermal melanocytes.重组免疫干扰素诱导正常表皮黑素细胞产生的HLA-II类抗原的免疫化学及功能分析
J Immunol. 1987 Feb 15;138(4):1310-6.
7
Gold and penicillamine: a proposed mode of action in rheumatoid arthritis, based on synovial fluid analysis.金制剂与青霉胺:基于滑液分析对类风湿关节炎作用机制的一种推测
Ann Rheum Dis. 1978 Dec;37(6):493-503. doi: 10.1136/ard.37.6.493.
8
HLA DR, DQ, and DP antigen expression in rheumatoid synovial cells: a biochemical and quantitative study.类风湿性滑膜细胞中HLA DR、DQ和DP抗原表达:一项生化与定量研究。
J Immunol. 1987 Mar 15;138(6):1730-8.
9
HLA-DR antigens and toxic reaction to sodium aurothiomalate and D-penicillamine in patients with rheumatoid arthritis.类风湿关节炎患者的HLA - DR抗原与金硫代苹果酸钠和青霉胺的毒性反应
N Engl J Med. 1980 Aug 7;303(6):300-2. doi: 10.1056/NEJM198008073030602.
10
Differential expression of HLA-DR, DQ, and DP antigens in primary and metastatic melanoma.原发性和转移性黑色素瘤中HLA-DR、DQ和DP抗原的差异表达。
J Invest Dermatol. 1988 May;90(5):755-60. doi: 10.1111/1523-1747.ep12560951.

引用本文的文献

1
Synovial tissue response to treatment in rheumatoid arthritis.类风湿关节炎中滑膜组织对治疗的反应。
Open Rheumatol J. 2011;5:115-22. doi: 10.2174/1874312901105010115. Epub 2011 Dec 30.
2
Standardisation of synovial tissue infiltrate analysis: how far have we come? How much further do we need to go?滑膜组织浸润分析的标准化:我们已经走了多远?我们还需要走多远?
Ann Rheum Dis. 2006 Jan;65(1):93-100. doi: 10.1136/ard.2005.036905. Epub 2005 Jun 23.
3
Are synovial biopsies of diagnostic value?滑膜活检有诊断价值吗?

本文引用的文献

1
1958 REVISION of diagnostic criteria for rheumatoid arthritis.1958年类风湿性关节炎诊断标准修订版。
Arthritis Rheum. 1959 Feb;2(1):16-20. doi: 10.1002/1529-0131(195902)2:1<16::aid-art1780020104>3.0.co;2-9.
2
In situ localization of lymphocyte subsets in synovial membranes of patients with rheumatoid arthritis with monoclonal antibodies.用单克隆抗体对类风湿关节炎患者滑膜中淋巴细胞亚群进行原位定位。
J Rheumatol. 1982 May-Jun;9(3):359-65.
3
Human lymphocyte markers defined by antibodies derived from somatic cell hybrids. II. A hybridoma secreting antibody against an antigen expressed by human B and null lymphocytes.
Arthritis Res Ther. 2003;5(6):271-8. doi: 10.1186/ar1003. Epub 2003 Oct 2.
4
Intramuscular gold decreases cytokine expression and macrophage numbers in the rheumatoid synovial membrane.肌肉注射金制剂可降低类风湿性滑膜组织中的细胞因子表达及巨噬细胞数量。
Ann Rheum Dis. 1994 May;53(5):315-22. doi: 10.1136/ard.53.5.315.
5
Inhibition of AP-1 binding and transcription by gold and selenium involving conserved cysteine residues in Jun and Fos.金和硒通过涉及Jun和Fos中保守半胱氨酸残基的方式抑制AP-1结合及转录。
Proc Natl Acad Sci U S A. 1995 May 9;92(10):4497-501. doi: 10.1073/pnas.92.10.4497.
6
Representative sample of rheumatoid synovium: a morphometric study.类风湿性滑膜炎代表性样本:一项形态计量学研究。
J Clin Pathol. 1988 Aug;41(8):841-6. doi: 10.1136/jcp.41.8.841.
7
An immunohistological study of CD4+ lymphocyte subsets within inflammatory lesions with special reference to rheumatoid arthritis and inflammatory bowel disease.关于类风湿性关节炎和炎症性肠病,对炎症性病变内CD4 +淋巴细胞亚群的免疫组织学研究。
Immunology. 1988 Nov;65(3):457-63.
8
Effects of disease modifying anti-rheumatic agents on class II antigen expression.改善病情抗风湿药对II类抗原表达的影响。
Agents Actions. 1989 Jan;26(1-2):160-2. doi: 10.1007/BF02126593.
9
Immunohistological features of synovitis in ankylosing spondylitis: a comparison with rheumatoid arthritis.强直性脊柱炎滑膜炎的免疫组织学特征:与类风湿关节炎的比较。
Ann Rheum Dis. 1989 Feb;48(2):92-8. doi: 10.1136/ard.48.2.92.
10
Comparison of serum and synovial fluid concentrations of beta 2-microglobulin and C reactive protein in relation to clinical disease activity and synovial inflammation in rheumatoid arthritis.类风湿关节炎患者血清和滑液中β2-微球蛋白及C反应蛋白浓度与临床疾病活动度和滑膜炎症的比较
Ann Rheum Dis. 1989 Nov;48(11):905-11. doi: 10.1136/ard.48.11.905.
由体细胞杂交产生的抗体所定义的人类淋巴细胞标志物。II. 一种分泌针对人类B淋巴细胞和裸淋巴细胞所表达抗原的抗体的杂交瘤。
Clin Exp Immunol. 1980 Jun;40(3):593-601.
4
Chronic arthritis associated with the presence of intrasynovial rubella virus.与滑膜内风疹病毒存在相关的慢性关节炎。
Ann Rheum Dis. 1983 Feb;42(1):2-13. doi: 10.1136/ard.42.1.2.
5
Distinctive functional characteristics of human "T" lymphocytes defined by E rosetting or a monoclonal anti-T cell antibody.通过E玫瑰花结形成或单克隆抗T细胞抗体所界定的人“T”淋巴细胞的独特功能特性。
Eur J Immunol. 1981 Apr;11(4):329-34. doi: 10.1002/eji.1830110412.
6
An immunohistological analysis of lymphocyte subpopulations and their microenvironment in the synovial membranes of patients with rheumatoid arthritis using monoclonal antibodies.运用单克隆抗体对类风湿性关节炎患者滑膜中的淋巴细胞亚群及其微环境进行免疫组织学分析。
Clin Exp Immunol. 1982 Jul;49(1):22-30.
7
A monoclonal antibody reactive with the human cytotoxic/suppressor T cell subset previously defined by a heteroantiserum termed TH2.一种单克隆抗体,可与人细胞毒性/抑制性T细胞亚群发生反应,该亚群先前由一种名为TH2的异种抗血清所定义。
J Immunol. 1980 Mar;124(3):1301-7.
8
Immunoglobulin negative follicle centre cell lymphoma.免疫球蛋白阴性滤泡中心细胞淋巴瘤
Br J Cancer. 1984 Dec;50(6):735-44. doi: 10.1038/bjc.1984.250.
9
Dissection of immunoregulatory subpopulations of T lymphocytes within the helper and suppressor sublineages in man.人体辅助性和抑制性亚谱系中T淋巴细胞免疫调节亚群的剖析。
J Immunol. 1982 Nov;129(5):1997-2000.
10
Detection of a novel human class II HLA antigen.一种新型人类II类HLA抗原的检测
Nature. 1983;304(5924):358-61. doi: 10.1038/304358a0.