Cao Xi, Hu Ying, Luo Shi, Wang Yuejing, Gong Tao, Sun Xun, Fu Yao, Zhang Zhirong
Key Laboratory of Drug Targeting and Drug Delivery Systems, Ministry of Education, West China School of Pharmacy, Sichuan University, Chengdu 610041, China.
Acta Pharm Sin B. 2019 May;9(3):575-589. doi: 10.1016/j.apsb.2018.12.009. Epub 2018 Dec 26.
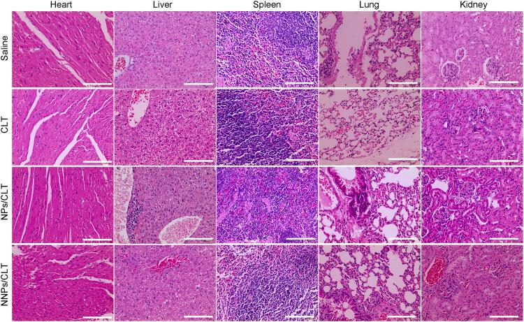
Due to the critical correlation between inflammation and carcinogenesis, a therapeutic candidate with anti-inflammatory activity may find application in cancer therapy. Here, we report the therapeutic efficacy of celastrol as a promising candidate compound for treatment of pancreatic carcinoma naïve neutrophil membrane-coated poly(ethylene glycol) methyl ether--poly(lactic--glycolic acid) (PEG-PLGA) nanoparticles. Neutrophil membrane-coated nanoparticles (NNPs) are well demonstrated to overcome the blood pancreas barrier to achieve pancreas-specific drug delivery . Using tumor-bearing mice xenograft model, NNPs showed selective accumulations at the tumor site following systemic administration as compared to nanoparticles without neutrophil membrane coating. In both orthotopic and ectopic tumor models, celastrol-loaded NNPs demonstrated greatly enhanced tumor inhibition which significantly prolonged the survival of tumor bearing mice and minimizing liver metastases. Overall, these results suggest that celastrol-loaded NNPs represent a viable and effective treatment option for pancreatic carcinoma.
由于炎症与致癌作用之间存在关键关联,具有抗炎活性的治疗候选物可能在癌症治疗中得到应用。在此,我们报告了雷公藤红素作为一种有前景的候选化合物用于治疗胰腺癌的治疗效果,该化合物负载于中性粒细胞膜包被的聚(乙二醇)甲醚 - 聚(乳酸 - 乙醇酸)(PEG - PLGA)纳米颗粒中。中性粒细胞膜包被的纳米颗粒(NNPs)已被充分证明可克服血胰屏障以实现胰腺特异性药物递送。使用荷瘤小鼠异种移植模型,与未包被中性粒细胞膜的纳米颗粒相比,全身给药后NNPs在肿瘤部位显示出选择性聚集。在原位和异位肿瘤模型中,负载雷公藤红素的NNPs均表现出显著增强的肿瘤抑制作用,这显著延长了荷瘤小鼠的生存期并使肝转移最小化。总体而言,这些结果表明负载雷公藤红素的NNPs是胰腺癌的一种可行且有效的治疗选择。