Suppr超能文献

角豆(Ceratonia siliqua L.)果实水醇提取物减轻雄性小鼠铅的生殖毒性:关于精子参数、性激素、氧化应激生物标志物以及……的表达的证据

Carob (Ceratonia siliqua L.) fruit hydro-alcoholic extract alleviates reproductive toxicity of lead in male mice: Evidence on sperm parameters, sex hormones, oxidative stress biomarkers and expression of and .

作者信息

Soleimanzadeh Ali, Kian Mehdi, Moradi Sajjad, Mahmoudi Soraya

机构信息

Department of Theriogenology, Faculty of Veterinary Medicine, Urmia University, Urmia, Iran.

Department of Pathobiology, Faculty of Veterinary medicine, Urmia University, Urmia, Iran.

出版信息

Avicenna J Phytomed. 2020 Jan-Feb;10(1):35-49.

Abstract

OBJECTIVE

Carob  is an evergreen tree with fruits that have potent antioxidant activity. The aim of this study was to investigate alleviative effects of carob fruit hydro-alcoholic extract (CFHAE) against reproductive toxicity induced by lead (Pb) in male mice.

MATERIALS AND METHODS

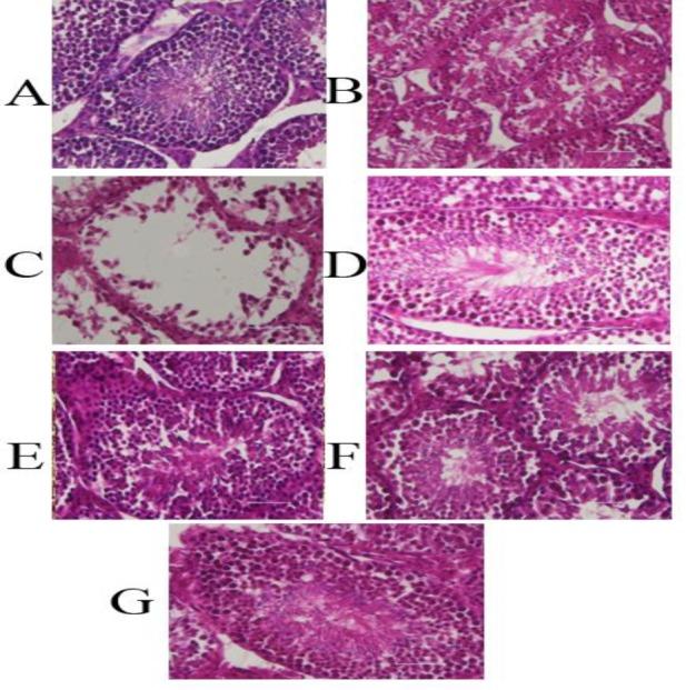
Forty-two NMRI adult male mice were randomly categorized into 7 groups (N=6). Group I was the control group and received no treatment. Group II was the sham group and received 0.2 ml distilled water per day. Group III (Pb group) received Pb acetate 1000 ppm/kg/day. Groups IV and V received CFHAE 500 and 1000 mg/kg/day, respectively. Groups VI and VII received both Pb 1000 ppm/kg/day and CFHAE at doses of 500 and 1000 mg/kg/day, respectively at the same time. The groups were treated by gavage. After 35 days, sperm parameters (count, motility, morphology, viability, DNA damage, and teratozoospermia index), total antioxidant capacity (TAC), reduced glutathione content (GSH), antioxidant enzymes (SOD, CAT, and GPx) activity, MDA levels, and sex hormones (FSH, LH, and testosterone) concentrations in serum, testicular expression of and genes and histopathological alterations were evaluated.

RESULTS

Our findings revealed that co-administration of CFHAE with Pb significantly (p<0.05 to p<0.01) improved sperm parameters, elevated sex hormones, TAC, GSH content, and antioxidant enzymes activity of serum, decreased serum MDA levels, and down-regulated testicular expression of and genes compared with Pb group. Also, CFHAE ameliorated histopathological alterations in testis tissue caused by Pb.

CONCLUSION

CFHAE can alleviate reproductive toxicity following Pb exposure in male mice.

摘要

目的

角豆树是一种常绿乔木,其果实具有强大的抗氧化活性。本研究旨在探讨角豆树果实水醇提取物(CFHAE)对雄性小鼠铅(Pb)诱导的生殖毒性的缓解作用。

材料与方法

42只成年NMRI雄性小鼠随机分为7组(每组n = 6)。第一组为对照组,不接受任何处理。第二组为假手术组,每天接受0.2 ml蒸馏水。第三组(铅组)接受1000 ppm/kg/天的醋酸铅。第四组和第五组分别接受500和1000 mg/kg/天的CFHAE。第六组和第七组同时分别接受1000 ppm/kg/天的铅和500及1000 mg/kg/天的CFHAE。各组通过灌胃给药。35天后,评估精子参数(数量、活力、形态、存活率、DNA损伤和畸形精子指数)、总抗氧化能力(TAC)、还原型谷胱甘肽含量(GSH)、抗氧化酶(SOD、CAT和GPx)活性、丙二醛(MDA)水平以及血清中性激素(FSH、LH和睾酮)浓度、睾丸中相关基因的表达以及组织病理学改变。

结果

我们的研究结果显示,与铅组相比,CFHAE与铅联合给药显著(p < 0.05至p < 0.01)改善了精子参数,提高了性激素、TAC、GSH含量以及血清抗氧化酶活性,降低了血清MDA水平,并下调了睾丸中相关基因的表达。此外,CFHAE改善了铅引起的睾丸组织病理学改变。

结论

CFHAE可以减轻雄性小鼠铅暴露后的生殖毒性。

https://cdn.ncbi.nlm.nih.gov/pmc/blobs/2595/6941692/0454c04d6098/AJP-10-035-g001.jpg

文献检索

告别复杂PubMed语法,用中文像聊天一样搜索,搜遍4000万医学文献。AI智能推荐,让科研检索更轻松。

立即免费搜索

文件翻译

保留排版,准确专业,支持PDF/Word/PPT等文件格式,支持 12+语言互译。

免费翻译文档

深度研究

AI帮你快速写综述,25分钟生成高质量综述,智能提取关键信息,辅助科研写作。

立即免费体验