Suppr超能文献

小鼠感染鼠麻风杆菌期间迟发型超敏反应的发展。

Development of delayed-type hypersensitivity during Mycobacterium lepraemurium infection in mice.

作者信息

Poulter L W, Lefford M J

出版信息

Infect Immun. 1977 Aug;17(2):439-46. doi: 10.1128/iai.17.2.439-446.1977.

Abstract

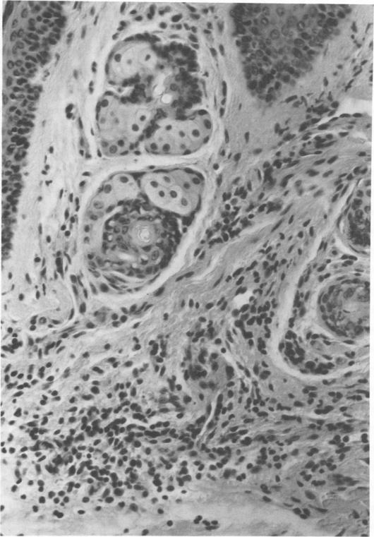
Various preparations of Mycobacterium lepraemurium were used to elicit delayed-type hypersensitivity in the footpad of mice infected with this organism. With a sonicated preparation of the mycobacterium, a significant increase in footpad swelling was elicited in mice infected with M. lepraemurium 5 weeks previously, but not in BCG-infected animals or uninfected controls. This footpad reaction was shown to peak at 24 h and to be associated with an infiltration of mononuclear cells. The kinetics of footpad swelling, its association with lymphoproliferation, and its dependence on T lymphocytes were each examined. The results support the hypothesis that this is a delayed-type hypersensitivity reaction. The ability to transfer this reactivity to normal mice with cells but not serum offers further confirmation that this hypersensitivity is dependent on cell-mediated immunological mechanisms rather than humoral antibody. The relevance of this to the study of the immunological response of mice to murine leprosy is discussed.

摘要

使用多种鼠麻风分枝杆菌制剂在感染该病原体的小鼠足垫中引发迟发型超敏反应。用该分枝杆菌的超声破碎制剂,在5周前感染鼠麻风分枝杆菌的小鼠中引发了足垫肿胀的显著增加,但在卡介苗感染的动物或未感染的对照中未出现这种情况。这种足垫反应在24小时达到峰值,并与单核细胞浸润有关。分别检查了足垫肿胀的动力学、其与淋巴细胞增殖的关联以及其对T淋巴细胞的依赖性。结果支持这是一种迟发型超敏反应的假设。用细胞而非血清将这种反应性转移到正常小鼠的能力进一步证实了这种超敏反应依赖于细胞介导的免疫机制而非体液抗体。讨论了这与小鼠对鼠麻风免疫反应研究的相关性。

https://cdn.ncbi.nlm.nih.gov/pmc/blobs/6b49/421140/bb2d362a64fd/iai00212-0205-a.jpg

文献AI研究员

20分钟写一篇综述,助力文献阅读效率提升50倍。

立即体验

用中文搜PubMed

大模型驱动的PubMed中文搜索引擎

马上搜索

文档翻译

学术文献翻译模型,支持多种主流文档格式。

立即体验