• 文献检索
  • 文档翻译
  • 深度研究
  • 学术资讯
  • Suppr Zotero 插件Zotero 插件
  • 邀请有礼
  • 套餐&价格
  • 历史记录
应用&插件
Suppr Zotero 插件Zotero 插件浏览器插件Mac 客户端Windows 客户端微信小程序
定价
高级版会员购买积分包购买API积分包
服务
文献检索文档翻译深度研究API 文档MCP 服务
关于我们
关于 Suppr公司介绍联系我们用户协议隐私条款
关注我们

Suppr 超能文献

核心技术专利:CN118964589B侵权必究
粤ICP备2023148730 号-1Suppr @ 2026

文献检索

告别复杂PubMed语法,用中文像聊天一样搜索,搜遍4000万医学文献。AI智能推荐,让科研检索更轻松。

立即免费搜索

文件翻译

保留排版,准确专业,支持PDF/Word/PPT等文件格式,支持 12+语言互译。

免费翻译文档

深度研究

AI帮你快速写综述,25分钟生成高质量综述,智能提取关键信息,辅助科研写作。

立即免费体验

一种基于芘的具有大斯托克斯位移的比率型荧光探针,用于在活细胞中选择性检测过氧化氢。

A pyrene-based ratiometric fluorescent probe with a large Stokes shift for selective detection of hydrogen peroxide in living cells.

作者信息

Chen Qingxin, Cheng Ke, Wang Wanhe, Yang Liu, Xie Yusheng, Feng Ling, Zhang Jie, Zhang Huatang, Sun Hongyan

机构信息

Department of Chemistry and Center of Super-Diamond and Advanced Films, City University of Hong Kong, Hong Kong, China.

Key Laboratory of Biochip Technology, Biotech and Health Centre, City University of Hong Kong Shenzhen Research Institute, Shenzhen, 518057, China.

出版信息

J Pharm Anal. 2020 Oct;10(5):490-497. doi: 10.1016/j.jpha.2020.07.003. Epub 2020 Aug 4.

DOI:10.1016/j.jpha.2020.07.003
PMID:33133733
原文链接:https://pmc.ncbi.nlm.nih.gov/articles/PMC7591780/
Abstract

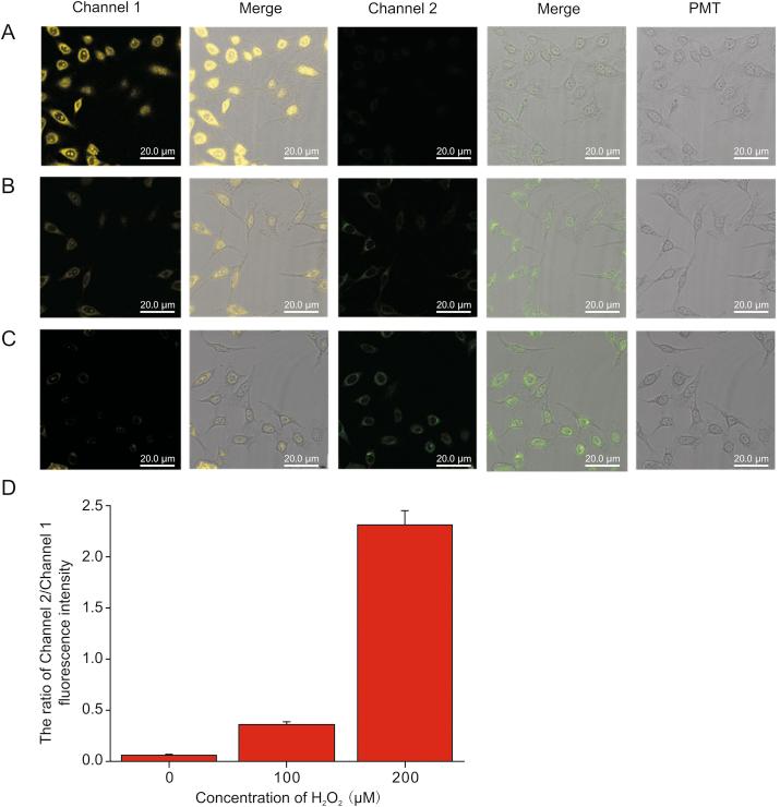
Hydrogen peroxide (HO) plays a significant role in regulating a variety of biological processes. Dysregulation of HO can lead to various diseases. Although numerous fluorescent imaging probes for HO have been reported, the development of HO ratiometric fluorescent probe with large Stokes shift remains rather limited. Such probes have shown distinct advantages, such as minimized interference from environment and improved signal-to noise ratio. In this work, we reported a new pyrene-based compound as HO fluorescent probe in vitro. The probe demonstrated ratiometric detection behavior, large Stokes shift and large emission shift. In addition, the probe showed high sensitivity and selectivity towards HO in vitro. Based on these excellent properties, we successfully applied to the visualization of exogenous and endogenous HO in living cells. Cell imaging study also showed that our probe was localized in the mitochondria. We envision that the probe can provide a useful tool for unmasking the biological roles of mitochondrial HO in living systems.

摘要

过氧化氢(HO)在调节多种生物过程中发挥着重要作用。HO调节异常会导致各种疾病。尽管已经报道了许多用于HO的荧光成像探针,但具有大斯托克斯位移的HO比率荧光探针的开发仍然相当有限。这类探针具有明显的优势,如环境干扰最小化和信噪比提高。在这项工作中,我们报道了一种新型芘基化合物作为体外HO荧光探针。该探针表现出比率检测行为、大斯托克斯位移和大发射位移。此外,该探针在体外对HO表现出高灵敏度和选择性。基于这些优异性能,我们成功地将其应用于活细胞中外源和内源HO的可视化。细胞成像研究还表明,我们的探针定位于线粒体。我们设想该探针可为揭示线粒体HO在生命系统中的生物学作用提供有用工具。

https://cdn.ncbi.nlm.nih.gov/pmc/blobs/b776/7591780/8479b2c57866/gr6.jpg
https://cdn.ncbi.nlm.nih.gov/pmc/blobs/b776/7591780/c972d89fd402/fx1.jpg
https://cdn.ncbi.nlm.nih.gov/pmc/blobs/b776/7591780/1a954029f121/sc1.jpg
https://cdn.ncbi.nlm.nih.gov/pmc/blobs/b776/7591780/0db3623008fd/sc2.jpg
https://cdn.ncbi.nlm.nih.gov/pmc/blobs/b776/7591780/c7e27809cae5/gr1.jpg
https://cdn.ncbi.nlm.nih.gov/pmc/blobs/b776/7591780/a566644b86a8/gr2.jpg
https://cdn.ncbi.nlm.nih.gov/pmc/blobs/b776/7591780/986b223139c4/gr3.jpg
https://cdn.ncbi.nlm.nih.gov/pmc/blobs/b776/7591780/e8298a5298f8/gr4.jpg
https://cdn.ncbi.nlm.nih.gov/pmc/blobs/b776/7591780/dfeb7eeaa559/gr5.jpg
https://cdn.ncbi.nlm.nih.gov/pmc/blobs/b776/7591780/8479b2c57866/gr6.jpg
https://cdn.ncbi.nlm.nih.gov/pmc/blobs/b776/7591780/c972d89fd402/fx1.jpg
https://cdn.ncbi.nlm.nih.gov/pmc/blobs/b776/7591780/1a954029f121/sc1.jpg
https://cdn.ncbi.nlm.nih.gov/pmc/blobs/b776/7591780/0db3623008fd/sc2.jpg
https://cdn.ncbi.nlm.nih.gov/pmc/blobs/b776/7591780/c7e27809cae5/gr1.jpg
https://cdn.ncbi.nlm.nih.gov/pmc/blobs/b776/7591780/a566644b86a8/gr2.jpg
https://cdn.ncbi.nlm.nih.gov/pmc/blobs/b776/7591780/986b223139c4/gr3.jpg
https://cdn.ncbi.nlm.nih.gov/pmc/blobs/b776/7591780/e8298a5298f8/gr4.jpg
https://cdn.ncbi.nlm.nih.gov/pmc/blobs/b776/7591780/dfeb7eeaa559/gr5.jpg
https://cdn.ncbi.nlm.nih.gov/pmc/blobs/b776/7591780/8479b2c57866/gr6.jpg

相似文献

1
A pyrene-based ratiometric fluorescent probe with a large Stokes shift for selective detection of hydrogen peroxide in living cells.一种基于芘的具有大斯托克斯位移的比率型荧光探针,用于在活细胞中选择性检测过氧化氢。
J Pharm Anal. 2020 Oct;10(5):490-497. doi: 10.1016/j.jpha.2020.07.003. Epub 2020 Aug 4.
2
A "turn-on" fluorescent probe with high selectivity and large stokes shift for the detection of hydrogen peroxide and its bioimaging applications.一种对过氧化氢具有高选择性和大斯托克斯位移的“开启”型荧光探针及其在生物成像中的应用。
Spectrochim Acta A Mol Biomol Spectrosc. 2022 Jan 15;265:120320. doi: 10.1016/j.saa.2021.120320. Epub 2021 Aug 26.
3
A novel near-infrared fluorescent probe for visualization of intracellular hydrogen peroxide.一种用于可视化细胞内过氧化氢的新型近红外荧光探针。
Front Chem. 2022 Oct 21;10:1025723. doi: 10.3389/fchem.2022.1025723. eCollection 2022.
4
A novel methylenemalononitrile-BODIPY-based fluorescent probe for highly selective detection of hydrogen peroxide in living cells.一种新型的亚甲基丙二腈-BODIPY 基荧光探针,可用于活细胞中过氧化氢的高选择性检测。
Eur J Med Chem. 2021 Dec 15;226:113828. doi: 10.1016/j.ejmech.2021.113828. Epub 2021 Sep 6.
5
A near-infrared fluorescent probe based FRET for ratiometric sensing of HO and viscosity in live cells.一种基于近红外荧光探针的荧光共振能量转移技术用于活细胞中过氧化氢和粘度的比率传感。
Talanta. 2024 Aug 1;275:126135. doi: 10.1016/j.talanta.2024.126135. Epub 2024 Apr 24.
6
An ESIPT-based ratiometric fluorescent probe for detecting HO in water environment and biosystems.基于 ESIPT 的比率型荧光探针用于检测水环境和生物体系中的 HO。
Sci Total Environ. 2023 Apr 1;867:161609. doi: 10.1016/j.scitotenv.2023.161609. Epub 2023 Jan 13.
7
Development of a new ratiometric probe with near-infrared fluorescence and a large Stokes shift for detection of gasotransmitter CO in living cells.一种用于检测活细胞中气体递质一氧化碳(CO)的具有近红外荧光和大斯托克斯位移的新型比率探针的研制。
Spectrochim Acta A Mol Biomol Spectrosc. 2020 Feb 15;227:117657. doi: 10.1016/j.saa.2019.117657. Epub 2019 Oct 20.
8
HO-Activated NIR-II Fluorescent Probe with a Large Stokes Shift for High-Contrast Imaging in Drug-Induced Liver Injury Mice.HO 激活的 NIR-II 荧光探针,具有大斯托克斯位移,可用于药物性肝损伤小鼠的高对比度成像。
Anal Chem. 2022 Aug 16;94(32):11321-11328. doi: 10.1021/acs.analchem.2c02052. Epub 2022 Aug 7.
9
Construction of a lysosome-targetable ratiometric fluorescent probe for HO tracing and imaging in living cells and an inflamed model.构建一种可靶向溶酶体的比率荧光探针,用于在活细胞和炎症模型中追踪和成像HO。
RSC Adv. 2021 Jul 7;11(39):24032-24037. doi: 10.1039/d1ra04026j. eCollection 2021 Jul 6.
10
Rational design of a selective and sensitive "turn-on" fluorescent probe for monitoring and imaging hydrogen peroxide in living cells.用于监测和成像活细胞中过氧化氢的选择性和灵敏“开启”荧光探针的合理设计。
RSC Adv. 2021 Oct 29;11(56):35093-35098. doi: 10.1039/d1ra06620j. eCollection 2021 Oct 28.

引用本文的文献

1
Amphiphilic Styrene-Based Pyrene Derivatives: Tunable Aggregation Luminescence and Their Photo-Induced Dimerization Behavior.两亲性苯乙烯基芘衍生物:可调谐聚集发光及其光诱导二聚行为
Molecules. 2025 Apr 11;30(8):1719. doi: 10.3390/molecules30081719.
2
A pyrene-based fluorescent probe for HS detection and cellular imaging.一种用于检测硫化氢和细胞成像的芘基荧光探针。
Photochem Photobiol Sci. 2025 Mar;24(3):405-415. doi: 10.1007/s43630-025-00695-x. Epub 2025 Mar 1.
3
Diverse Fluorescent Probe Concepts for Detection and Monitoring of Reactive Oxygen Species.

本文引用的文献

1
A Novel ESIPT Phthalimide-Based Fluorescent Probe for Quantitative Detection of HO.一种用于定量检测羟基自由基的新型基于激发态分子内质子转移的邻苯二甲酰亚胺荧光探针。
ACS Omega. 2019 Sep 19;4(14):16242-16246. doi: 10.1021/acsomega.9b02594. eCollection 2019 Oct 1.
2
A selective cascade reaction-based probe for colorimetric and ratiometric fluorescence detection of benzoyl peroxide in food and living cells.基于选择性级联反应的探针用于食品和活细胞中过氧苯甲酰的比色和比率荧光检测。
J Mater Chem B. 2019 Oct 14;7(38):5775-5781. doi: 10.1039/c9tb00889f. Epub 2019 Sep 11.
3
A Doubly-Quenched Fluorescent Probe for Low-Background Detection of Mitochondrial HO.
用于检测和监测活性氧物种的多种荧光探针概念
Chem Asian J. 2025 Apr 3;20(7):e202401524. doi: 10.1002/asia.202401524. Epub 2025 Feb 20.
4
Colorimetric and Fluorometric Determination of Fluoride in Tetrahydrofuran and Dimethyl Sulfoxide Using a 4-Hydroxypyrene Probe.使用4-羟基芘探针比色法和荧光法测定四氢呋喃和二甲基亚砜中的氟化物
J Anal Methods Chem. 2024 Jul 26;2024:5566082. doi: 10.1155/2024/5566082. eCollection 2024.
5
Design, Synthesis of Hydrogen Peroxide Response AIE Fluorescence Probes Based on Imidazo [1,2-a] Pyridine.基于咪唑并[1,2-a]吡啶的过氧化氢响应型聚集诱导发光荧光探针的设计与合成。
Molecules. 2024 Feb 16;29(4):882. doi: 10.3390/molecules29040882.
6
Mitochondrial Targeting and Imaging with Small Organic Conjugated Fluorophores: A Review.小分子有机共轭荧光染料靶向线粒体及其成像:综述
Chemistry. 2022 Dec 27;28(72):e202202366. doi: 10.1002/chem.202202366. Epub 2022 Oct 26.
7
White light employing luminescent engineered large (mega) Stokes shift molecules: a review.采用发光工程化大(兆)斯托克斯位移分子的白光:综述
RSC Adv. 2021 Apr 12;11(22):13409-13445. doi: 10.1039/d1ra00129a. eCollection 2021 Apr 7.
一种双淬火荧光探针,用于低背景检测线粒体 HO.
Anal Chem. 2019 May 21;91(10):6902-6909. doi: 10.1021/acs.analchem.9b01294. Epub 2019 May 9.
4
A simple boronic acid-based fluorescent probe for selective detection of hydrogen peroxide in solutions and living cells.一种基于简单硼酸的荧光探针,可选择性检测溶液和活细胞中的过氧化氢。
Bioorg Chem. 2018 Dec;81:362-366. doi: 10.1016/j.bioorg.2018.08.036. Epub 2018 Sep 4.
5
Design of a ratiometric two-photon probe for imaging of hypochlorous acid (HClO) in wounded tissues.用于创伤组织中次氯酸(HClO)成像的比率型双光子探针的设计。
Chem Sci. 2018 May 18;9(28):6035-6040. doi: 10.1039/c8sc01697f. eCollection 2018 Jul 28.
6
Ratiometric Two-Photon Fluorescent Probe for Detecting and Imaging Hypochlorite.比率型双光子荧光探针用于检测和成像次氯酸根。
Anal Chem. 2018 Aug 7;90(15):9510-9514. doi: 10.1021/acs.analchem.8b02195. Epub 2018 Jul 24.
7
N-Heterocyclic Carbene Boranes as Reactive Oxygen Species-Responsive Materials: Application to the Two-Photon Imaging of Hypochlorous Acid in Living Cells and Tissues.氮杂环卡宾硼烷作为活性氧响应性材料:在活细胞和组织中亚氯酸的双光子成像中的应用。
Angew Chem Int Ed Engl. 2018 Feb 5;57(6):1567-1571. doi: 10.1002/anie.201711188. Epub 2018 Jan 9.
8
Dual Mechanism of an Intramolecular Charge Transfer (ICT)-FRET-Based Fluorescent Probe for the Selective Detection of Hydrogen Peroxide.基于分子内电荷转移(ICT)-荧光共振能量转移(FRET)的双机制荧光探针用于选择性检测过氧化氢。
Chem Asian J. 2017 Dec 14;12(24):3187-3194. doi: 10.1002/asia.201701382. Epub 2017 Nov 28.
9
Tetrazole-Based Probes for Integrated Phenotypic Screening, Affinity-Based Proteome Profiling, and Sensitive Detection of a Cancer Biomarker.基于四唑的探针用于综合表型筛选、基于亲和力的蛋白质组分析以及癌症生物标志物的灵敏检测。
Angew Chem Int Ed Engl. 2017 Nov 20;56(47):15044-15048. doi: 10.1002/anie.201709584. Epub 2017 Oct 23.
10
Reversible Ratiometric Fluorescent Probe for Sensing Bisulfate/HO and Its Application in Zebrafish.用于检测亚硫酸氢根/HO 的可逆比率荧光探针及其在斑马鱼中的应用。
Anal Chem. 2017 Aug 1;89(15):8079-8083. doi: 10.1021/acs.analchem.7b01580. Epub 2017 Jul 12.