• 文献检索
  • 文档翻译
  • 深度研究
  • 学术资讯
  • Suppr Zotero 插件Zotero 插件
  • 邀请有礼
  • 套餐&价格
  • 历史记录
应用&插件
Suppr Zotero 插件Zotero 插件浏览器插件Mac 客户端Windows 客户端微信小程序
定价
高级版会员购买积分包购买API积分包
服务
文献检索文档翻译深度研究API 文档MCP 服务
关于我们
关于 Suppr公司介绍联系我们用户协议隐私条款
关注我们

Suppr 超能文献

核心技术专利:CN118964589B侵权必究
粤ICP备2023148730 号-1Suppr @ 2026

文献检索

告别复杂PubMed语法,用中文像聊天一样搜索,搜遍4000万医学文献。AI智能推荐,让科研检索更轻松。

立即免费搜索

文件翻译

保留排版,准确专业,支持PDF/Word/PPT等文件格式,支持 12+语言互译。

免费翻译文档

深度研究

AI帮你快速写综述,25分钟生成高质量综述,智能提取关键信息,辅助科研写作。

立即免费体验

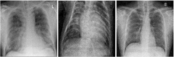
用于从胸部 X 光图像中检测 COVID-19 的轻量化深度学习模型。

Lightweight deep learning models for detecting COVID-19 from chest X-ray images.

机构信息

Department of Computing Science, University of Aberdeen, AB24 3UE, Aberdeen, UK.

Department of Computing Science, University of Aberdeen, AB24 3UE, Aberdeen, UK.

出版信息

Comput Biol Med. 2021 Mar;130:104181. doi: 10.1016/j.compbiomed.2020.104181. Epub 2020 Dec 22.

DOI:10.1016/j.compbiomed.2020.104181
PMID:33360271
原文链接:https://pmc.ncbi.nlm.nih.gov/articles/PMC7831681/
Abstract

Deep learning methods have already enjoyed an unprecedented success in medical imaging problems. Similar success has been evidenced when it comes to the detection of COVID-19 from medical images, therefore deep learning approaches are considered good candidates for detecting this disease, in collaboration with radiologists and/or physicians. In this paper, we propose a new approach to detect COVID-19 via exploiting a conditional generative adversarial network to generate synthetic images for augmenting the limited amount of data available. Additionally, we propose two deep learning models following a lightweight architecture, commensurating with the overall amount of data available. Our experiments focused on both binary classification for COVID-19 vs Normal cases and multi-classification that includes a third class for bacterial pneumonia. Our models achieved a competitive performance compared to other studies in literature and also a ResNet8 model. Our best performing binary model achieved 98.7% accuracy, 100% sensitivity and 98.3% specificity, while our three-class model achieved 98.3% accuracy, 99.3% sensitivity and 98.1% specificity. Moreover, via adopting a testing protocol proposed in literature, our models proved to be more robust and reliable in COVID-19 detection than a baseline ResNet8, making them good candidates for detecting COVID-19 from posteroanterior chest X-ray images.

摘要

深度学习方法在医学影像问题中已经取得了前所未有的成功。在从医学图像中检测 COVID-19 方面,也取得了类似的成功,因此深度学习方法被认为是与放射科医生和/或医生合作检测这种疾病的良好候选方法。在本文中,我们提出了一种新的方法,通过利用条件生成对抗网络来生成合成图像来增强可用的有限数量的数据,从而检测 COVID-19。此外,我们还提出了两种遵循轻量级架构的深度学习模型,与可用数据的总量相匹配。我们的实验重点是 COVID-19 与正常病例的二进制分类以及包括细菌性肺炎的第三类的多分类。与文献中的其他研究相比,我们的模型也与 ResNet8 模型相比,表现出了有竞争力的性能。我们表现最好的二进制模型达到了 98.7%的准确率、100%的敏感性和 98.3%的特异性,而我们的三分类模型达到了 98.3%的准确率、99.3%的敏感性和 98.1%的特异性。此外,通过采用文献中提出的测试方案,我们的模型在 COVID-19 检测方面比基线 ResNet8 更稳健和可靠,使它们成为从前后位胸部 X 光图像中检测 COVID-19 的良好候选方法。

https://cdn.ncbi.nlm.nih.gov/pmc/blobs/5e04/7831681/1c03c86b189a/gr9_lrg.jpg
https://cdn.ncbi.nlm.nih.gov/pmc/blobs/5e04/7831681/59ed2c20a0b1/gr1_lrg.jpg
https://cdn.ncbi.nlm.nih.gov/pmc/blobs/5e04/7831681/8fa3655995d6/gr2_lrg.jpg
https://cdn.ncbi.nlm.nih.gov/pmc/blobs/5e04/7831681/0dd458bf5f43/gr3_lrg.jpg
https://cdn.ncbi.nlm.nih.gov/pmc/blobs/5e04/7831681/645663dae17f/gr4_lrg.jpg
https://cdn.ncbi.nlm.nih.gov/pmc/blobs/5e04/7831681/f8ad8b27a19e/gr5_lrg.jpg
https://cdn.ncbi.nlm.nih.gov/pmc/blobs/5e04/7831681/9fe13fecdbdd/gr6_lrg.jpg
https://cdn.ncbi.nlm.nih.gov/pmc/blobs/5e04/7831681/5c226d0be4f0/gr7_lrg.jpg
https://cdn.ncbi.nlm.nih.gov/pmc/blobs/5e04/7831681/506845fe465a/gr8_lrg.jpg
https://cdn.ncbi.nlm.nih.gov/pmc/blobs/5e04/7831681/1c03c86b189a/gr9_lrg.jpg
https://cdn.ncbi.nlm.nih.gov/pmc/blobs/5e04/7831681/59ed2c20a0b1/gr1_lrg.jpg
https://cdn.ncbi.nlm.nih.gov/pmc/blobs/5e04/7831681/8fa3655995d6/gr2_lrg.jpg
https://cdn.ncbi.nlm.nih.gov/pmc/blobs/5e04/7831681/0dd458bf5f43/gr3_lrg.jpg
https://cdn.ncbi.nlm.nih.gov/pmc/blobs/5e04/7831681/645663dae17f/gr4_lrg.jpg
https://cdn.ncbi.nlm.nih.gov/pmc/blobs/5e04/7831681/f8ad8b27a19e/gr5_lrg.jpg
https://cdn.ncbi.nlm.nih.gov/pmc/blobs/5e04/7831681/9fe13fecdbdd/gr6_lrg.jpg
https://cdn.ncbi.nlm.nih.gov/pmc/blobs/5e04/7831681/5c226d0be4f0/gr7_lrg.jpg
https://cdn.ncbi.nlm.nih.gov/pmc/blobs/5e04/7831681/506845fe465a/gr8_lrg.jpg
https://cdn.ncbi.nlm.nih.gov/pmc/blobs/5e04/7831681/1c03c86b189a/gr9_lrg.jpg

相似文献

1
Lightweight deep learning models for detecting COVID-19 from chest X-ray images.用于从胸部 X 光图像中检测 COVID-19 的轻量化深度学习模型。
Comput Biol Med. 2021 Mar;130:104181. doi: 10.1016/j.compbiomed.2020.104181. Epub 2020 Dec 22.
2
Explainable COVID-19 Detection Based on Chest X-rays Using an End-to-End RegNet Architecture.基于端到端 RegNet 架构的基于胸部 X 光的可解释 COVID-19 检测。
Viruses. 2023 Jun 6;15(6):1327. doi: 10.3390/v15061327.
3
Generative adversarial network based data augmentation for CNN based detection of Covid-19.基于生成对抗网络的数据增强在基于 CNN 的新冠病毒检测中的应用。
Sci Rep. 2022 Nov 10;12(1):19186. doi: 10.1038/s41598-022-23692-x.
4
COVID-19 Hierarchical Classification Using a Deep Learning Multi-Modal.使用深度学习多模态的COVID-19分层分类
Sensors (Basel). 2024 Apr 20;24(8):2641. doi: 10.3390/s24082641.
5
Deep Learning Algorithm for COVID-19 Classification Using Chest X-Ray Images.基于胸部 X 光图像的 COVID-19 分类深度学习算法。
Comput Math Methods Med. 2021 Nov 9;2021:9269173. doi: 10.1155/2021/9269173. eCollection 2021.
6
A deep learning approach using effective preprocessing techniques to detect COVID-19 from chest CT-scan and X-ray images.一种使用有效预处理技术从胸部 CT 扫描和 X 射线图像中检测 COVID-19 的深度学习方法。
Comput Biol Med. 2021 Dec;139:105014. doi: 10.1016/j.compbiomed.2021.105014. Epub 2021 Nov 4.
7
An Efficient Deep Learning Model to Detect COVID-19 Using Chest X-ray Images.利用胸部 X 光图像检测 COVID-19 的高效深度学习模型。
Int J Environ Res Public Health. 2022 Feb 11;19(4):2013. doi: 10.3390/ijerph19042013.
8
Automated detection of COVID-19 cases from chest X-ray images using deep neural network and XGBoost.基于深度学习神经网络和 XGBoost 的胸部 X 光图像新冠病毒自动检测。
Radiography (Lond). 2022 Aug;28(3):732-738. doi: 10.1016/j.radi.2022.03.011. Epub 2022 Mar 28.
9
UBNet: Deep learning-based approach for automatic X-ray image detection of pneumonia and COVID-19 patients.UBNet:基于深度学习的方法,用于自动检测 X 射线图像中的肺炎和 COVID-19 患者。
J Xray Sci Technol. 2022;30(1):57-71. doi: 10.3233/XST-211005.
10
Auto informing COVID-19 detection result from x-ray/CT images based on deep learning.基于深度学习的 X 射线/CT 图像 COVID-19 自动检测结果告知。
Rev Sci Instrum. 2021 Aug 1;92(8):084102. doi: 10.1063/5.0059829.

引用本文的文献

1
Loop-Mediated Isothermal Amplification-Integrated CRISPR Methods for Infectious Disease Diagnosis at Point of Care.用于即时护理传染病诊断的环介导等温扩增集成CRISPR方法
ACS Omega. 2023 Nov 7;8(46):43357-43373. doi: 10.1021/acsomega.3c04422. eCollection 2023 Nov 21.
2
LCSB-inception: Reliable and effective light-chroma separated branches for Covid-19 detection from chest X-ray images.LCSB-inception:从胸部 X 光图像中可靠且有效地检测新冠病毒的光-色分离分支。
Comput Biol Med. 2022 Nov;150:106195. doi: 10.1016/j.compbiomed.2022.106195. Epub 2022 Oct 14.
3
An evaluation of lightweight deep learning techniques in medical imaging for high precision COVID-19 diagnostics.

本文引用的文献

1
Automatic detection of coronavirus disease (COVID-19) using X-ray images and deep convolutional neural networks.使用X射线图像和深度卷积神经网络自动检测冠状病毒病(COVID-19)。
Pattern Anal Appl. 2021;24(3):1207-1220. doi: 10.1007/s10044-021-00984-y. Epub 2021 May 9.
2
A critic evaluation of methods for COVID-19 automatic detection from X-ray images.对从X射线图像中自动检测COVID-19的方法的批判性评估。
Inf Fusion. 2021 Dec;76:1-7. doi: 10.1016/j.inffus.2021.04.008. Epub 2021 Apr 30.
3
Vulnerability of deep neural networks for detecting COVID-19 cases from chest X-ray images to universal adversarial attacks.
用于高精度COVID-19诊断的医学成像中的轻量级深度学习技术评估。
Healthc Anal (N Y). 2022 Nov;2:100096. doi: 10.1016/j.health.2022.100096. Epub 2022 Aug 23.
4
A comprehensive review of analyzing the chest X-ray images to detect COVID-19 infections using deep learning techniques.一篇关于使用深度学习技术分析胸部X光图像以检测新冠病毒感染的综合综述。
Soft comput. 2023 May 27:1-22. doi: 10.1007/s00500-023-08561-7.
5
Automatic diagnosis of COVID-19 from CT images using CycleGAN and transfer learning.使用循环生成对抗网络(CycleGAN)和迁移学习从CT图像中自动诊断新型冠状病毒肺炎(COVID-19)
Appl Soft Comput. 2023 Sep;144:110511. doi: 10.1016/j.asoc.2023.110511. Epub 2023 Jun 13.
6
Deep learning attention-guided radiomics for COVID-19 chest radiograph classification.用于COVID-19胸部X光片分类的深度学习注意力引导放射组学
Quant Imaging Med Surg. 2023 Feb 1;13(2):572-584. doi: 10.21037/qims-22-531. Epub 2022 Nov 21.
7
A fuzzy fine-tuned model for COVID-19 diagnosis.用于 COVID-19 诊断的模糊微调模型。
Comput Biol Med. 2023 Feb;153:106483. doi: 10.1016/j.compbiomed.2022.106483. Epub 2023 Jan 4.
8
A novel deep neural network model based Xception and genetic algorithm for detection of COVID-19 from X-ray images.一种基于Xception和遗传算法的新型深度神经网络模型,用于从X射线图像中检测新型冠状病毒肺炎。
Ann Oper Res. 2022 Dec 25:1-25. doi: 10.1007/s10479-022-05151-y.
9
Biphasic majority voting-based comparative COVID-19 diagnosis using chest X-ray images.基于双相多数投票的使用胸部X光图像的COVID-19比较诊断
Expert Syst Appl. 2023 Apr 15;216:119430. doi: 10.1016/j.eswa.2022.119430. Epub 2022 Dec 21.
10
LWSNet - a novel deep-learning architecture to segregate Covid-19 and pneumonia from x-ray imagery.LWSNet——一种用于从X光图像中区分新冠肺炎和肺炎的新型深度学习架构。
Multimed Tools Appl. 2023;82(14):21801-21823. doi: 10.1007/s11042-022-14247-3. Epub 2022 Dec 3.
深度神经网络在从胸部 X 光图像检测 COVID-19 病例方面对通用对抗攻击的脆弱性。
PLoS One. 2020 Dec 17;15(12):e0243963. doi: 10.1371/journal.pone.0243963. eCollection 2020.
4
COVID-Net: a tailored deep convolutional neural network design for detection of COVID-19 cases from chest X-ray images.COVID-Net:一种针对胸部 X 光图像中 COVID-19 病例检测的定制化深度卷积神经网络设计。
Sci Rep. 2020 Nov 11;10(1):19549. doi: 10.1038/s41598-020-76550-z.
5
COVID-19 detection using deep learning models to exploit Social Mimic Optimization and structured chest X-ray images using fuzzy color and stacking approaches.利用深度学习模型进行 COVID-19 检测,利用模糊颜色和堆叠方法挖掘社会模拟优化和结构化胸部 X 射线图像。
Comput Biol Med. 2020 Jun;121:103805. doi: 10.1016/j.compbiomed.2020.103805. Epub 2020 May 6.
6
Prediction models for diagnosis and prognosis of covid-19: systematic review and critical appraisal.COVID-19 诊断和预后预测模型:系统评价和批判性评估。
BMJ. 2020 Apr 7;369:m1328. doi: 10.1136/bmj.m1328.
7
Identifying Medical Diagnoses and Treatable Diseases by Image-Based Deep Learning.基于图像的深度学习识别医学诊断和可治疗疾病。
Cell. 2018 Feb 22;172(5):1122-1131.e9. doi: 10.1016/j.cell.2018.02.010.