Suppr超能文献

基于人工智能的彩色眼底照片中黄斑膜的检测。

Artificial intelligence-based detection of epimacular membrane from color fundus photographs.

机构信息

Department of Ophthalmology, Beijing Tisnghua Changgung Hospital, School of Clinical Medicine, Tsinghua University, Beijing, China.

Beijing Eaglevision Technology Co., Ltd, Beijing, China.

出版信息

Sci Rep. 2021 Sep 29;11(1):19291. doi: 10.1038/s41598-021-98510-x.

Abstract

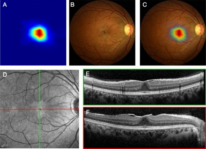
Epiretinal membrane (ERM) is a common ophthalmological disorder of high prevalence. Its symptoms include metamorphopsia, blurred vision, and decreased visual acuity. Early diagnosis and timely treatment of ERM is crucial to preventing vision loss. Although optical coherence tomography (OCT) is regarded as a de facto standard for ERM diagnosis due to its intuitiveness and high sensitivity, ophthalmoscopic examination or fundus photographs still have the advantages of price and accessibility. Artificial intelligence (AI) has been widely applied in the health care industry for its robust and significant performance in detecting various diseases. In this study, we validated the use of a previously trained deep neural network based-AI model in ERM detection based on color fundus photographs. An independent test set of fundus photographs was labeled by a group of ophthalmologists according to their corresponding OCT images as the gold standard. Then the test set was interpreted by other ophthalmologists and AI model without knowing their OCT results. Compared with manual diagnosis based on fundus photographs alone, the AI model had comparable accuracy (AI model 77.08% vs. integrated manual diagnosis 75.69%, χ = 0.038, P = 0.845, McNemar's test), higher sensitivity (75.90% vs. 63.86%, χ = 4.500, P = 0.034, McNemar's test), under the cost of lower but reasonable specificity (78.69% vs. 91.80%, χ = 6.125, P = 0.013, McNemar's test). Thus our AI model can serve as a possible alternative for manual diagnosis in ERM screening.

摘要

视网膜前膜 (ERM) 是一种常见的眼科高发疾病。其症状包括视物变形、视力模糊和视力下降。早期诊断和及时治疗 ERM 对于防止视力丧失至关重要。尽管光学相干断层扫描 (OCT) 因其直观性和高灵敏度而被视为 ERM 诊断的事实上的标准,但眼底镜检查或眼底照片仍然具有价格和可及性的优势。人工智能 (AI) 在医疗保健行业中得到了广泛应用,因为它在检测各种疾病方面具有强大而显著的性能。在这项研究中,我们验证了使用基于先前训练的深度神经网络的 AI 模型在基于彩色眼底照片的 ERM 检测中的应用。一组眼科医生根据相应的 OCT 图像对独立的眼底照片测试集进行了标记,作为金标准。然后,由其他眼科医生和 AI 模型对测试集进行解释,而不知道他们的 OCT 结果。与仅基于眼底照片的人工诊断相比,AI 模型具有相当的准确性(AI 模型 77.08%对综合人工诊断 75.69%,χ=0.038,P=0.845,McNemar 检验),更高的敏感性(75.90%对 63.86%,χ=4.500,P=0.034,McNemar 检验),但特异性略低但合理(78.69%对 91.80%,χ=6.125,P=0.013,McNemar 检验)。因此,我们的 AI 模型可以作为 ERM 筛查中人工诊断的一种可能替代方法。

https://cdn.ncbi.nlm.nih.gov/pmc/blobs/3b21/8481557/b0bb72870fdc/41598_2021_98510_Fig1_HTML.jpg

文献AI研究员

20分钟写一篇综述,助力文献阅读效率提升50倍。

立即体验

用中文搜PubMed

大模型驱动的PubMed中文搜索引擎

马上搜索

文档翻译

学术文献翻译模型,支持多种主流文档格式。

立即体验