Suppr超能文献

维生素B在阿霉素诱导的大鼠心脏毒性中的保护作用:聚焦于心脏的血流动力学、氧化还原和凋亡标志物

Protective Role of Vitamin B in Doxorubicin-Induced Cardiotoxicity in Rats: Focus on Hemodynamic, Redox, and Apoptotic Markers in Heart.

作者信息

Rankovic Marina, Draginic Nevena, Jeremic Jovana, Samanovic Andjela Milojevic, Stojkov Svetlana, Mitrovic Slobodanka, Jeremic Nevena, Radonjic Tanja, Srejovic Ivan, Bolevich Sergey, Svistunov Andrey, Jakovljevic Vladimir, Turnic Tamara Nikolic

机构信息

Department of Pharmacy, Faculty of Medical Sciences, University of Kragujevac, Kragujevac, Serbia.

Department of Human Pathology, I.M. Sechenov First Moscow State Medical University, Moscow, Russia.

出版信息

Front Physiol. 2021 Sep 22;12:690619. doi: 10.3389/fphys.2021.690619. eCollection 2021.

Abstract

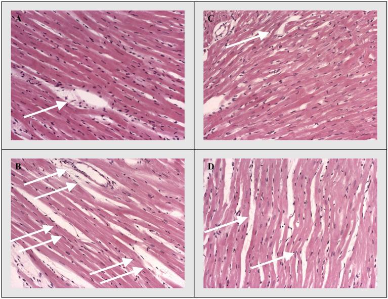
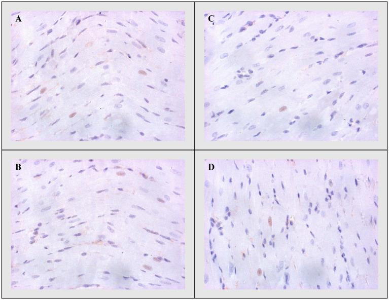
Up until now, the specific mechanisms involved in doxorubicin (DOX)-induced cardiotoxicity have not been fully elucidated. Since thiamine deficiency is associated with myocardial dysfunction and it may lead to cardiomyopathy, we aimed to investigate whether thiamine (Vitamin B) treatment provides cardioprotection and modulates DOX mediated subchronic cardiotoxicity as well as to determine possible mechanisms of its effects. The study involved 48 Wistar albino rats divided into four groups: healthy non-treated rats and healthy rats treated with thiamine and DOX rats without treatment and DOX rats treated with thiamine. DOX was applied as a single i.p.injection (15mg/kg), while thiamine treatment lasted 7days (25mg/kg/dayi.p.). Before and after the treatment hemodynamic changes were monitored by echocardiography. When the protocol was completed, animals were sacrificed and rat hearts were isolated in order to evaluate parameters of cardiac oxidative stress [superoxide anion radical-O , hydrogen peroxide-HO, nitric oxide-NO, index of lipid peroxidation-thiobarbituric acid (TBA) reactive substances (TBARS), superoxide dismutase - SOD, catalase (CAT), and reduced glutathione-GSH] and apoptosis (Bax, Bcl-2, caspases). DOX treatment significantly reduced the ejection fraction, while thiamine treatment led to its minor increase in the DOX-treated group. In that sense, heart oxidative stress markers were significantly increased in DOX-treated rats, while therapeutic dose of thiamine decreased the levels of free radicals. Our study demonstrated the promising ameliorative effects of thiamine against DOX-induced cardiotoxicity through modulation of oxidative stress, suppression of apoptosis, and possibility to improve myocardial performance and morphometric structure of rats` hearts.

摘要

到目前为止,阿霉素(DOX)诱导心脏毒性的具体机制尚未完全阐明。由于硫胺素缺乏与心肌功能障碍有关,且可能导致心肌病,我们旨在研究硫胺素(维生素B)治疗是否能提供心脏保护作用并调节DOX介导的亚慢性心脏毒性,以及确定其作用的可能机制。该研究涉及48只Wistar白化大鼠,分为四组:健康未治疗大鼠、用硫胺素治疗的健康大鼠、未治疗的DOX大鼠和用硫胺素治疗的DOX大鼠。DOX通过单次腹腔注射(15mg/kg)给药,而硫胺素治疗持续7天(25mg/kg/天腹腔注射)。治疗前后通过超声心动图监测血流动力学变化。当实验方案完成后,处死动物并分离大鼠心脏,以评估心脏氧化应激参数[超氧阴离子自由基 - O 、过氧化氢 - HO、一氧化氮 - NO、脂质过氧化指标 - 硫代巴比妥酸(TBA)反应性物质(TBARS)、超氧化物歧化酶 - SOD、过氧化氢酶(CAT)和还原型谷胱甘肽 - GSH]以及细胞凋亡(Bax、Bcl - 2、半胱天冬酶)。DOX治疗显著降低了射血分数,而硫胺素治疗导致DOX治疗组射血分数略有增加。从这个意义上说,DOX治疗的大鼠心脏氧化应激标志物显著增加,而硫胺素治疗剂量降低了自由基水平。我们的研究表明,硫胺素通过调节氧化应激、抑制细胞凋亡以及改善大鼠心脏的心肌性能和形态结构,对DOX诱导的心脏毒性具有显著的改善作用。

https://cdn.ncbi.nlm.nih.gov/pmc/blobs/fa9e/8494423/7c560983e44c/fphys-12-690619-g001.jpg

文献检索

告别复杂PubMed语法,用中文像聊天一样搜索,搜遍4000万医学文献。AI智能推荐,让科研检索更轻松。

立即免费搜索

文件翻译

保留排版,准确专业,支持PDF/Word/PPT等文件格式,支持 12+语言互译。

免费翻译文档

深度研究

AI帮你快速写综述,25分钟生成高质量综述,智能提取关键信息,辅助科研写作。

立即免费体验