Suppr超能文献

原发性乳腺癌转移至甲状腺表现为弥漫性甲状腺肿:一例报告并文献复习

Metastasis to the thyroid gland from primary breast cancer presenting as diffuse goiter: A case report and review of literature.

作者信息

Wen Wen, Jiang Heng, Wen Hsin-Yu, Peng Yu-Lan

机构信息

Department of Ultrasound, West China Hospital, Sichuan University, Chengdu 610041, Sichuan Province, China.

College of Medicine, University of Nebraska Medical Center, Omaha, NE 68133, United States.

出版信息

World J Clin Cases. 2022 Jan 21;10(3):1106-1115. doi: 10.12998/wjcc.v10.i3.1106.

Abstract

BACKGROUND

Metastasis to the thyroid gland (TM) from primary breast cancer is uncommon and usually presents as thyroid nodules; however, diffuse goiter without thyroid nodules is the first sign of TM in rare cases. Skip metastases (SMs) to the lymph nodes in breast cancer, defined as discontiguous higher-level metastases in the absence of lower levels of contiguous metastases, have been reported in the contralateral cervical area of the primary tumor site in rare cases.

CASE SUMMARY

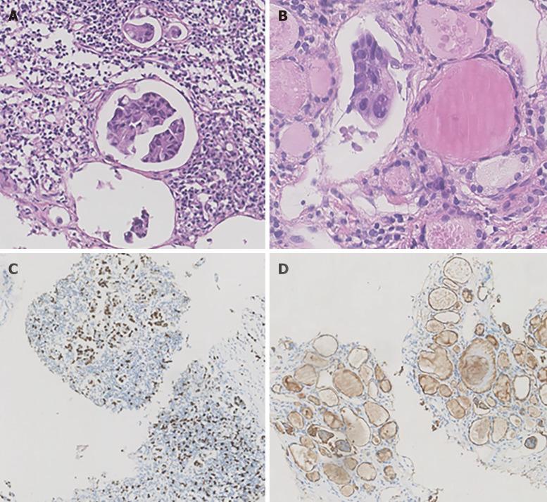
A 49-year-old previously healthy Chinese woman was diagnosed with right lateral invasive ductal carcinoma and underwent neoadjuvant chemotherapy treatment and bilateral mastectomy with axillary lymph node dissection. No malignancy of the left breast or axillary or distant metastases were identified preoperatively. However, enlarged left cervical lymph nodes were detected 36 mo after surgery, and rapidly enlarging thyroid glands without nodules were detected 42 mo after surgery. Fine-needle aspiration cytology was performed on the left cervical lymph nodes and left lobe of the thyroid, which were both revealed to contain metastases from the primary breast cancer. Additionally, the immunostaining profiles changed in the process of metastases. The patient was discharged with the NP (vinorelbine and cisplatin) regimen for subsequent treatment, and stable disease was determined when the curative effect was evaluated.

CONCLUSION

Diffuse goiter may be the first sign of TM, and enlarged lymph nodes in the contralateral cervical area may be SMs of primary breast cancer.

摘要

背景

原发性乳腺癌转移至甲状腺(TM)并不常见,通常表现为甲状腺结节;然而,在罕见情况下,无甲状腺结节的弥漫性甲状腺肿是TM的首发症状。乳腺癌的跳跃转移(SMs)至淋巴结,定义为在无较低水平连续性转移的情况下出现不连续的较高水平转移,在罕见情况下已报道于原发性肿瘤部位的对侧颈部区域。

病例摘要

一名49岁既往健康的中国女性被诊断为右侧浸润性导管癌,接受了新辅助化疗以及双侧乳房切除术和腋窝淋巴结清扫术。术前未发现左侧乳房恶性肿瘤或腋窝或远处转移。然而,术后36个月检测到左侧颈部淋巴结肿大,术后42个月检测到甲状腺迅速肿大且无结节。对左侧颈部淋巴结和甲状腺左叶进行了细针穿刺细胞学检查,结果均显示含有原发性乳腺癌转移灶。此外,转移过程中免疫染色谱发生了变化。患者出院时接受NP(长春瑞滨和顺铂)方案进行后续治疗,评估疗效时确定病情稳定。

结论

弥漫性甲状腺肿可能是TM的首发症状,对侧颈部区域淋巴结肿大可能是原发性乳腺癌的SMs。

https://cdn.ncbi.nlm.nih.gov/pmc/blobs/b890/8790461/5c96a9bfd93e/WJCC-10-1106-g001.jpg

文献AI研究员

20分钟写一篇综述,助力文献阅读效率提升50倍。

立即体验

用中文搜PubMed

大模型驱动的PubMed中文搜索引擎

马上搜索

文档翻译

学术文献翻译模型,支持多种主流文档格式。

立即体验