• 文献检索
  • 文档翻译
  • 深度研究
  • 学术资讯
  • Suppr Zotero 插件Zotero 插件
  • 邀请有礼
  • 套餐&价格
  • 历史记录
应用&插件
Suppr Zotero 插件Zotero 插件浏览器插件Mac 客户端Windows 客户端微信小程序
定价
高级版会员购买积分包购买API积分包
服务
文献检索文档翻译深度研究API 文档MCP 服务
关于我们
关于 Suppr公司介绍联系我们用户协议隐私条款
关注我们

Suppr 超能文献

核心技术专利:CN118964589B侵权必究
粤ICP备2023148730 号-1Suppr @ 2026

文献检索

告别复杂PubMed语法,用中文像聊天一样搜索,搜遍4000万医学文献。AI智能推荐,让科研检索更轻松。

立即免费搜索

文件翻译

保留排版,准确专业,支持PDF/Word/PPT等文件格式,支持 12+语言互译。

免费翻译文档

深度研究

AI帮你快速写综述,25分钟生成高质量综述,智能提取关键信息,辅助科研写作。

立即免费体验

1型糖尿病无糖尿病视网膜病变儿童的眼脉搏振幅和眼后段结构参数变化

Changes in ocular pulse amplitude and posterior ocular structure parameters in type 1 diabetic children without diabetic retinopathy.

作者信息

Asik Abdulvahit, Bolu Semih, Direkci Ilke, Aydemir Emre, Aydemir Gozde Aksoy

机构信息

Department of Pediatrics, Adıyaman University Education and Research Hospital, Adıyaman, Turkey.

Department of Pediatric Endocrinology, Adıyaman University Education and Research Hospital, Adıyaman, Turkey.

出版信息

Ther Adv Ophthalmol. 2022 Jul 7;14:25158414221101710. doi: 10.1177/25158414221101710. eCollection 2022 Jan-Dec.

DOI:10.1177/25158414221101710
PMID:35833008
原文链接:https://pmc.ncbi.nlm.nih.gov/articles/PMC9272198/
Abstract

BACKGROUND

It is important to determine changes in posterior ocular structures in the early period before retinopathy develops in pediatric patients with type 1 diabetes mellitus (DM).

OBJECTIVE

To evaluate inner plexiform layer (IPL), ganglion cell layer (GCL), and retinal nerve fiber layer (RNFL) thicknesses, as well as the relationship between choroidal thickness (CT) and ocular pulse amplitude (OPA) in type 1 diabetic children without diabetic retinopathy (DR).

DESIGN

A prospective observational study.

METHODS

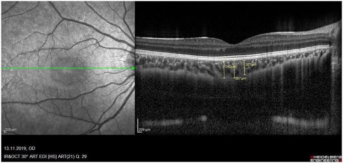
Group 1 ( = 44) consisted of pediatric patients with type 1 DM without DR, and Group 2 ( = 65) of pediatric control subjects. Both intraocular pressure (IOP) and OPA were measured using a dynamic contour tonometer. CT, IPL, GCL, and RNFL were all measured using spectral domain optical coherence tomography (OCT).

RESULTS

The mean IOP and OPA values were 16.67 ± 2.34 and 1.85 ± 0.34, respectively, in group 1, and 15.14 ± 2.17 and 1.65 ± 0.25 in Group 2 ( = 0.001 for both). The mean subfoveal CT value was 294.30 ± 67.61 μm in group 1 and 394.42 ± 69.65 μm in Group 2 ( < 0.001). The mean GCL and RNFL values were 1.09 ± 0.11 and 96.46 ± 11.69, respectively, in group 1, and 1.14 ± 0.09 and 101.73 ± 9.33 in Group 2 ( = 0.005 and  = 0.008, respectively).

CONCLUSIONS

IOP and OPA values were higher, and CT, GCL, and RNFL values were lower in children with type 1 DM during the early stages than in the healthy control group. These findings suggest that CT may be a marker of retinal involvement in children with type 1 DM without DR.

摘要

背景

在1型糖尿病(DM)患儿视网膜病变发生前的早期阶段,确定眼后段结构的变化非常重要。

目的

评估1型糖尿病且无糖尿病视网膜病变(DR)患儿的内网状层(IPL)、神经节细胞层(GCL)和视网膜神经纤维层(RNFL)厚度,以及脉络膜厚度(CT)与眼脉搏振幅(OPA)之间的关系。

设计

一项前瞻性观察研究。

方法

第1组(n = 44)由1型DM且无DR的患儿组成,第2组(n = 65)为儿科对照受试者。使用动态轮廓眼压计测量眼压(IOP)和OPA。使用光谱域光学相干断层扫描(OCT)测量CT、IPL、GCL和RNFL。

结果

第1组的平均IOP和OPA值分别为16.67±2.34和1.85±0.34,第2组为15.14±2.17和1.65±0.25(两者P均 = 0.001)。第1组的平均黄斑下CT值为294.30±67.61μm,第2组为394.42±69.65μm(P < 0.001)。第1组的平均GCL和RNFL值分别为1.09±0.11和96.46±11.69,第2组为1.14±0.09和101.73±9.33(P分别 = 0.005和P = 0.008)。

结论

1型DM患儿早期的IOP和OPA值较高,而CT、GCL和RNFL值低于健康对照组。这些发现表明,CT可能是1型DM且无DR患儿视网膜受累的一个标志物。

https://cdn.ncbi.nlm.nih.gov/pmc/blobs/45ac/9272198/0c7d446e07ec/10.1177_25158414221101710-fig2.jpg
https://cdn.ncbi.nlm.nih.gov/pmc/blobs/45ac/9272198/f199272508a9/10.1177_25158414221101710-fig1.jpg
https://cdn.ncbi.nlm.nih.gov/pmc/blobs/45ac/9272198/0c7d446e07ec/10.1177_25158414221101710-fig2.jpg
https://cdn.ncbi.nlm.nih.gov/pmc/blobs/45ac/9272198/f199272508a9/10.1177_25158414221101710-fig1.jpg
https://cdn.ncbi.nlm.nih.gov/pmc/blobs/45ac/9272198/0c7d446e07ec/10.1177_25158414221101710-fig2.jpg

相似文献

1
Changes in ocular pulse amplitude and posterior ocular structure parameters in type 1 diabetic children without diabetic retinopathy.1型糖尿病无糖尿病视网膜病变儿童的眼脉搏振幅和眼后段结构参数变化
Ther Adv Ophthalmol. 2022 Jul 7;14:25158414221101710. doi: 10.1177/25158414221101710. eCollection 2022 Jan-Dec.
2
Evaluation of eye health in children with type 1 diabetes mellitus and celiac disease.评估 1 型糖尿病和乳糜泻患儿的眼部健康。
Niger J Clin Pract. 2022 Nov;25(11):1785-1791. doi: 10.4103/njcp.njcp_1985_21.
3
Pilot Study of Eyesight Characteristics and Thickness of the Retinal Nerve Fiber and Ganglion Cell-inner Plexiform Layers in Adolescent Patients with Type one Diabetes Mellitus on an Insulin Pump.胰岛素泵治疗的 1 型糖尿病青少年患者的视力特征和视网膜神经纤维及神经节细胞内丛状层厚度的初步研究。
Curr Pharm Des. 2018;24(27):3264-3275. doi: 10.2174/1381612824666180924125516.
4
Evaluation of Macular Thickness, Retinal Nerve Fiber Layer and Ganglion Cell Layer Thickness in Patients among Type 2 Diabetes Mellitus Using Optical Coherence Tomography.使用光学相干断层扫描技术评估2型糖尿病患者的黄斑厚度、视网膜神经纤维层厚度和神经节细胞层厚度
J Pharm Bioallied Sci. 2021 Nov;13(Suppl 2):S1055-S1061. doi: 10.4103/jpbs.jpbs_165_21. Epub 2021 Nov 10.
5
Ocular pulse amplitude and retina nerve fiber layer thickness in migraine patients without aura.无先兆偏头痛患者的眼动脉搏动幅度和视网膜神经纤维层厚度
BMC Ophthalmol. 2016 Jan 4;16:1. doi: 10.1186/s12886-015-0180-2.
6
Changes in ocular pulse amplitude and choroidal thickness in childhood obesity patients with and without insulin resistance.有胰岛素抵抗和无胰岛素抵抗的儿童肥胖患者的眼动脉搏动幅度和脉络膜厚度变化
Eur J Ophthalmol. 2022 Jul;32(4):2018-2025. doi: 10.1177/11206721211039337. Epub 2021 Aug 12.
7
Evaluation of ocular pulse amplitude and choroidal thickness in diabetic macular edema.糖尿病性黄斑水肿患者眼动脉搏动幅度及脉络膜厚度的评估
Eye (Lond). 2016 Mar;30(3):369-74. doi: 10.1038/eye.2015.232. Epub 2015 Nov 13.
8
Repeatability of peripapillary retinal nerve fiber layer and inner retinal thickness among two spectral domain optical coherence tomography devices.两种光谱域光学相干断层扫描设备测量视乳头周围视网膜神经纤维层及视网膜内层厚度的可重复性
Invest Ophthalmol Vis Sci. 2014 Sep 16;55(10):6536-46. doi: 10.1167/iovs.14-15072.
9
Ratiometric analysis of optical coherence tomography-measured in vivo retinal layer thicknesses for the detection of early diabetic retinopathy.用于检测早期糖尿病视网膜病变的光学相干断层扫描测量的体内视网膜层厚度的比率分析。
J Biophotonics. 2017 Nov;10(11):1430-1441. doi: 10.1002/jbio.201600282. Epub 2017 Jun 21.
10
Effects of cigarette smoking on choroidal and retinal thickness and ocular pulse amplitude.吸烟对脉络膜和视网膜厚度以及眼动脉搏动幅度的影响。
Cutan Ocul Toxicol. 2015;34(3):217-21. doi: 10.3109/15569527.2014.950380. Epub 2014 Sep 8.

引用本文的文献

1
A retinal imaging system for combined measurement of optic nerve head vascular pulsation and stimulated vasodilation in humans.一种视网膜成像系统,用于联合测量人类视神经乳头血管搏动和刺激血管扩张。
Sci Rep. 2023 Oct 10;13(1):17149. doi: 10.1038/s41598-023-44390-2.

本文引用的文献

1
Neurodegeneration in diabetic retinopathy: does it really matter?糖尿病性视网膜病变中的神经退行性变:它真的重要吗?
Diabetologia. 2018 Sep;61(9):1902-1912. doi: 10.1007/s00125-018-4692-1. Epub 2018 Jul 20.
2
Retinal Ganglion Cell Loss in Children With Type 1 Diabetes Mellitus Without Diabetic Retinopathy.1型糖尿病且无糖尿病视网膜病变儿童的视网膜神经节细胞丢失
Ophthalmic Surg Lasers Imaging Retina. 2017 Jun 1;48(6):473-477. doi: 10.3928/23258160-20170601-05.
3
Circumpapillary retinal nerve fiber layer thickness, anterior lamina cribrosa depth, and lamina cribrosa thickness in neovascular glaucoma secondary to proliferative diabetic retinopathy: a cross-sectional study.
增殖性糖尿病视网膜病变继发新生血管性青光眼中的视乳头周围视网膜神经纤维层厚度、筛板前深度和筛板厚度:一项横断面研究
BMC Ophthalmol. 2017 Apr 26;17(1):57. doi: 10.1186/s12886-017-0456-9.
4
Review on Dynamic Contour Tonometry and Ocular Pulse Amplitude.动态轮廓眼压测量法与眼动脉搏动幅度综述
Ophthalmic Res. 2015;55(2):91-8. doi: 10.1159/000441796. Epub 2015 Dec 10.
5
Evaluation of ocular pulse amplitude and choroidal thickness in diabetic macular edema.糖尿病性黄斑水肿患者眼动脉搏动幅度及脉络膜厚度的评估
Eye (Lond). 2016 Mar;30(3):369-74. doi: 10.1038/eye.2015.232. Epub 2015 Nov 13.
6
Evaluation of subfoveal choroidal thickness in children with type 1 diabetes mellitus: an EDI-OCT study.1型糖尿病患儿黄斑中心凹下脉络膜厚度的评估:一项增强深度成像光学相干断层扫描(EDI-OCT)研究
Semin Ophthalmol. 2014 Jan;29(1):27-31. doi: 10.3109/08820538.2013.838279. Epub 2013 Nov 19.
7
Aging is not a disease: distinguishing age-related macular degeneration from aging.衰老是一种疾病:区分年龄相关性黄斑变性与衰老。
Prog Retin Eye Res. 2013 Nov;37:68-89. doi: 10.1016/j.preteyeres.2013.07.003. Epub 2013 Aug 9.
8
Type 1 diabetes mellitus.1型糖尿病
Pediatr Rev. 2013 May;34(5):203-15. doi: 10.1542/pir.34-5-203.
9
Choroidal thinning in diabetes type 1 detected by 3-dimensional 1060 nm optical coherence tomography.1060nm 三维光相干断层扫描检测 1 型糖尿病脉络膜变薄。
Invest Ophthalmol Vis Sci. 2012 Oct 3;53(11):6803-9. doi: 10.1167/iovs.12-10314.
10
Enhanced depth imaging optical coherence tomography in type 2 diabetes.2 型糖尿病的增强深度成像光学相干断层扫描。
Invest Ophthalmol Vis Sci. 2012 Sep 7;53(10):6017-24. doi: 10.1167/iovs.12-9692.