Department of Neurosurgery, Xiangya Hospital, Central South University, No.87, Xiangya Road, Changsha, 410008, Hunan, China.
National Clinical Research Center for Geriatric Disorders, Xiangya Hospital, Central South University, Changsha, 410008, China.
J Exp Clin Cancer Res. 2023 Mar 17;42(1):64. doi: 10.1186/s13046-023-02642-z.
Tumor treating fields (TTF) is the latest treatment for GBM. Circular RNA (circRNA) has been demonstrated to play critical roles in tumorigenesis. However, the molecular mechanism of TTF remained largely unknown and the role of circRNA in TTF was not reported. The aim of this study was to elucidate the role and mechanism of circMMD in TTF treatment of GBM.
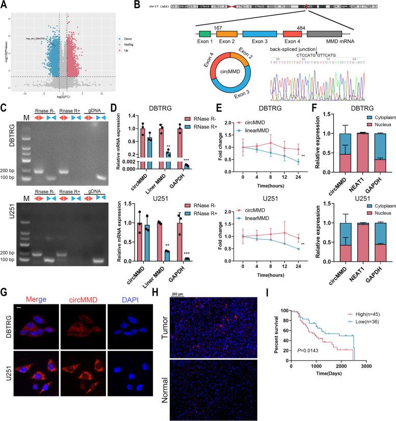
Divergent primer was designed to verify the existence of circMMD in GBM cells. The prognostic role of circMMD was explored in glioma specimens. The knockdown and overexpressed plasmids were used to evaluate the effect of circMMD on GBM cell proliferation and TTF efficacy. RNA pull-down and RNA immunoprecipitation were performed to identify binding proteins of circMMD. Subcutaneous and intracranial tumor models were established to validate findings in vivo.
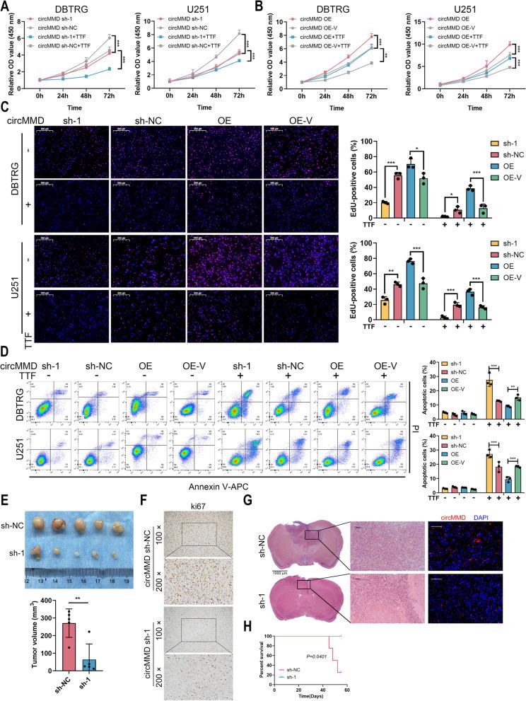
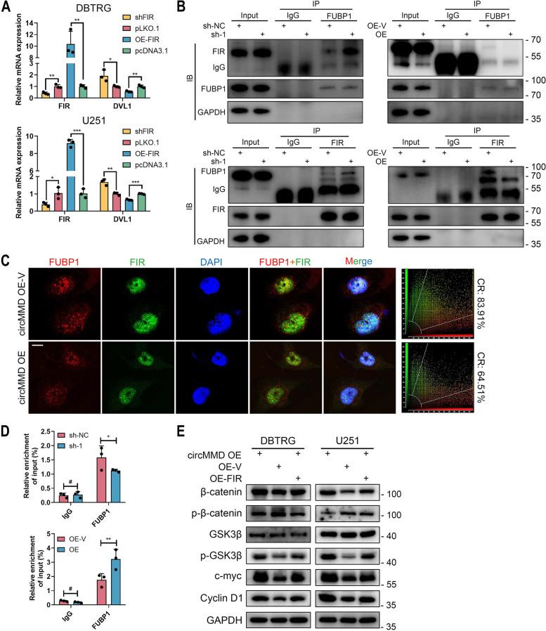
The expression of circMMD was elevated in GBM and its high expression indicated poor prognoses. TTF intervention could reduce circMMD synthesis, which suppressed GBM proliferation and increased TTF-mediated apoptosis. The reduction of circMMD promoted the interaction between FUBP1 and FIR, which decreased DVL1 transcription. Meanwhile, decreased circMMD would promote the activity of miR-15b-5p to degrade FZD6. Finally, the diminished expression of DVL1 and FZD6 expression suppressed the activation of Wnt/β-catenin pathway.
Our study revealed a novel mechanism of TTF that TTF-mediated reduction of circMMD could inhibit Wnt/β-catenin pathway to suppress GBM proliferation.
肿瘤治疗电场(TTF)是胶质母细胞瘤(GBM)的最新治疗方法。环状 RNA(circRNA)已被证明在肿瘤发生中发挥关键作用。然而,TTF 的分子机制在很大程度上尚不清楚,circRNA 在 TTF 中的作用尚未报道。本研究旨在阐明 circMMD 在 TTF 治疗 GBM 中的作用和机制。
设计了分歧引物来验证 circMMD 在 GBM 细胞中的存在。在神经胶质瘤标本中探讨了 circMMD 的预后作用。使用敲低和过表达质粒来评估 circMMD 对 GBM 细胞增殖和 TTF 疗效的影响。进行 RNA 下拉和 RNA 免疫沉淀实验以鉴定 circMMD 的结合蛋白。建立皮下和颅内肿瘤模型以在体内验证研究结果。
circMMD 在 GBM 中的表达上调,其高表达表明预后不良。TTF 干预可减少 circMMD 的合成,从而抑制 GBM 增殖并增加 TTF 介导的细胞凋亡。circMMD 的减少促进了 FUBP1 和 FIR 之间的相互作用,从而降低了 DVL1 的转录。同时,circMMD 的减少会促进 miR-15b-5p 降解 FZD6。最后,DVL1 和 FZD6 表达的减少抑制了 Wnt/β-catenin 通路的激活。
本研究揭示了 TTF 的一种新机制,即 TTF 介导的 circMMD 减少可抑制 Wnt/β-catenin 通路来抑制 GBM 增殖。