Suppr超能文献

牛奶外泌体:新一代抗癌药物和治疗性核酸传递载体。

Milk Exosomes: Next-Generation Agents for Delivery of Anticancer Drugs and Therapeutic Nucleic Acids.

机构信息

SB RAS Institute of Chemical Biology and Fundamental Medicine, 630090 Novosibirsk, Russia.

Faculty of Natural Sciences, Novosibirsk State University, 630090 Novosibirsk, Russia.

出版信息

Int J Mol Sci. 2023 Jun 15;24(12):10194. doi: 10.3390/ijms241210194.

Abstract

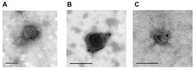
Exosomes are nanovesicles 40-120 nm in diameter secreted by almost all cell types and providing humoral intercellular interactions. Given the natural origin and high biocompatibility, the potential for loading various anticancer molecules and therapeutic nucleic acids inside, and the surface modification possibility for targeted delivery, exosomes are considered to be a promising means of delivery to cell cultures and experimental animal organisms. Milk is a unique natural source of exosomes available in semi-preparative and preparative quantities. Milk exosomes are highly resistant to the harsh conditions of the gastrointestinal tract. In vitro studies have demonstrated that milk exosomes have an affinity to epithelial cells, are digested by cells by endocytosis mechanism, and can be used for oral delivery. With milk exosome membranes containing hydrophilic and hydrophobic components, exosomes can be loaded with hydrophilic and lipophilic drugs. This review covers a number of scalable protocols for isolating and purifying exosomes from human, cow, and horse milk. Additionally, it considers passive and active methods for drug loading into exosomes, as well as methods for modifying and functionalizing the surface of milk exosomes with specific molecules for more efficient and specific delivery to target cells. In addition, the review considers various approaches to visualize exosomes and determine cellular localization and bio-distribution of loaded drug molecules in tissues. In conclusion, we outline new challenges for studying milk exosomes, a new generation of targeted delivery agents.

摘要

外泌体是直径为 40-120nm 的纳米囊泡,几乎由所有细胞类型分泌,并提供体液细胞间相互作用。鉴于其天然来源和高度的生物相容性,能够在内部装载各种抗癌分子和治疗性核酸,并具有针对靶向递药的表面修饰可能性,因此外泌体被认为是一种有前途的细胞培养和实验动物生物递药手段。牛奶是一种独特的天然外泌体来源,可提供半制备和制备数量。牛奶外泌体对胃肠道的恶劣条件具有高度抗性。体外研究表明,牛奶外泌体对上皮细胞具有亲和力,通过内吞作用机制被细胞消化,并可用于口服递药。由于牛奶外泌体膜含有亲水性和疏水性成分,因此可以将亲水性和疏水性药物装载到外泌体中。本综述涵盖了从人、牛和马奶中分离和纯化外泌体的多个可扩展方案。此外,还考虑了将药物被动和主动加载到外泌体中的方法,以及用特定分子修饰和功能化牛奶外泌体表面以更有效地将药物递送到靶细胞的方法。此外,还考虑了各种可视化外泌体的方法以及确定组织中载药分子的细胞定位和生物分布的方法。总之,我们概述了研究新一代靶向递药剂——牛奶外泌体的新挑战。

https://cdn.ncbi.nlm.nih.gov/pmc/blobs/0594/10298983/14b8a01f3d7a/ijms-24-10194-g001.jpg

文献检索

告别复杂PubMed语法,用中文像聊天一样搜索,搜遍4000万医学文献。AI智能推荐,让科研检索更轻松。

立即免费搜索

文件翻译

保留排版,准确专业,支持PDF/Word/PPT等文件格式,支持 12+语言互译。

免费翻译文档

深度研究

AI帮你快速写综述,25分钟生成高质量综述,智能提取关键信息,辅助科研写作。

立即免费体验