Suppr超能文献

石榴汁浓缩物的抗氧化、抗炎、抗菌和抗癌活性。

Antioxidant, Anti-Inflammatory, Antimicrobial, and Anticancer Activities of Pomegranate Juice Concentrate.

机构信息

Research & Innovation Hub, Alamein International University (AIU), Alamein City 5060310, Egypt.

Bioprocess Development Department, Genetic Engineering and Biotechnology Research Institute, City of Scientific Research and Technological Applications (SRTA City), New Borg El Arab P.O. Box 21934, Egypt.

出版信息

Nutrients. 2023 Jun 11;15(12):2709. doi: 10.3390/nu15122709.

Abstract

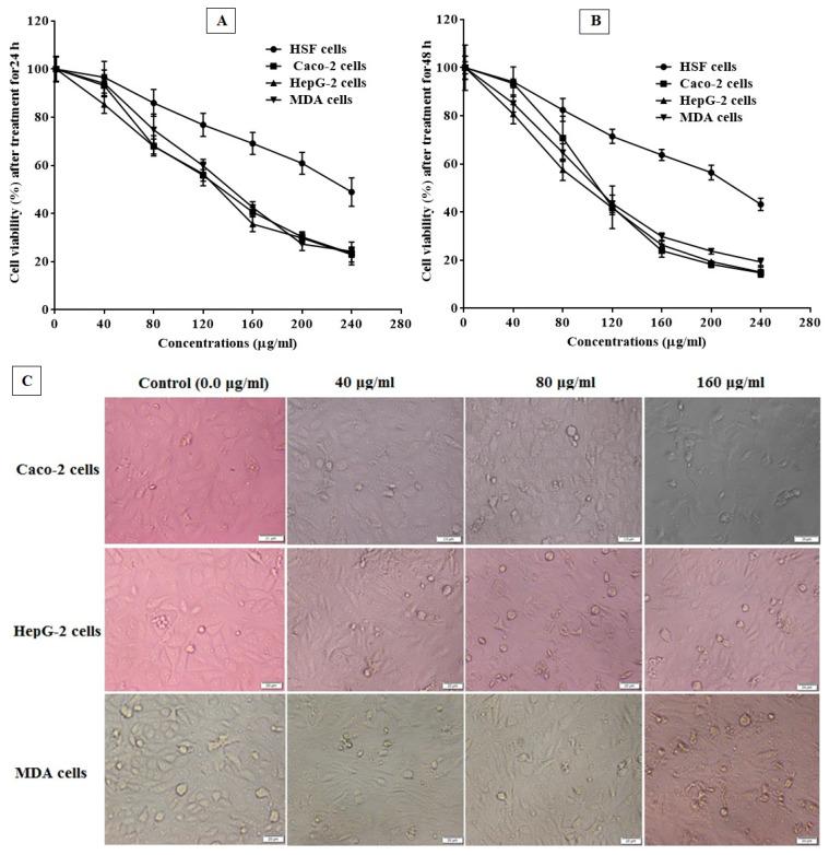
Pomegranate juice concentrate (PJC) is a rich source of polyphenols, which exhibit significant antioxidant activity and potential health benefits for disease prevention and therapy. In this study, the polyphenolic profile of PJC was investigated for the first time, and it was found that PJC can inhibit oxidative damage to bovine serum albumin (BSA) and deoxyribonucleic acid (DNA), as well as acetylcholinesterase, α-amylase, and tyrosinase activities. The primary polyphenols identified in PJC were 4-Hydroxy-3-Methoxybenzoate, epicatechin, catechin, rutin, ferulic acid, P-coumaric acid, and cinnamic acid. Additionally, PJC demonstrated potent antibacterial effects against human pathogens such as and and dose-dependently reduced the proliferation of colorectal, breast, and hepatic cancer cells via apoptosis. Furthermore, PJC blocked B-cell lymphoma 2 (BCl-2) and the expression of a potent cyclin-dependent kinase inhibitor (P21) and enhanced tumor protein (P53) expression, compared to both untreated cells and cells treated with fluoropyrimidine 5-fluorouracil (5-FU). As a result, PJC may be a beneficial ingredient in the formulation of emerging natural-compound-based chemotherapy and functional foods and could be utilized by the food, nutraceutical, and pharmaceutical industries.

摘要

石榴汁浓缩物(PJC)是多酚的丰富来源,具有显著的抗氧化活性,对预防和治疗疾病具有潜在的健康益处。在这项研究中,首次研究了 PJC 的多酚谱,结果发现 PJC 可以抑制牛血清白蛋白(BSA)和脱氧核糖核酸(DNA)的氧化损伤,以及乙酰胆碱酯酶、α-淀粉酶和酪氨酸酶的活性。PJC 中鉴定的主要多酚是 4-羟基-3-甲氧基苯甲酸、表儿茶素、儿茶素、芦丁、阿魏酸、对香豆酸和肉桂酸。此外,PJC 对人类病原体如 和 具有强大的抗菌作用,并通过细胞凋亡剂量依赖性地降低结直肠、乳腺和肝癌细胞的增殖。此外,与未处理的细胞和用氟嘧啶 5-氟尿嘧啶(5-FU)处理的细胞相比,PJC 阻断了 B 细胞淋巴瘤 2(BCl-2)和一种有效的细胞周期蛋白依赖性激酶抑制剂(P21)的表达,并增强了肿瘤蛋白(P53)的表达。因此,PJC 可能是新兴天然化合物化疗和功能性食品配方中的有益成分,并可被食品、营养保健品和制药行业利用。

https://cdn.ncbi.nlm.nih.gov/pmc/blobs/8f2c/10301233/ccc924b35edd/nutrients-15-02709-g001.jpg

文献检索

告别复杂PubMed语法,用中文像聊天一样搜索,搜遍4000万医学文献。AI智能推荐,让科研检索更轻松。

立即免费搜索

文件翻译

保留排版,准确专业,支持PDF/Word/PPT等文件格式,支持 12+语言互译。

免费翻译文档

深度研究

AI帮你快速写综述,25分钟生成高质量综述,智能提取关键信息,辅助科研写作。

立即免费体验