Suppr超能文献

男性系统性硬化症——解读伊拉斯谟综合征之谜

Systemic Sclerosis in Males-Deciphering the Enigma of Erasmus Syndrome.

作者信息

Sharma Reena K, Gupta Mudita

机构信息

From the Department of Dermatology, Venereology and Leprosy, Dr. Rajendra Prasad Government Medical College, Kangra, Himachal Pradesh, India.

Department of Dermatology, Indira Gandhi Medical College, Shimla, Himachal Pradesh, India.

出版信息

Indian J Dermatol. 2024 Jan-Feb;69(1):48-56. doi: 10.4103/ijd.ijd_531_23. Epub 2024 Feb 27.

Abstract

BACKGROUND

Systemic sclerosis is an autoimmune connective tissue disease characterized by fibrosis in skin and internal organs. Chronic exposure to silica may not only lead to silicosis of lungs but also systemic sclerosis. Systemic sclerosis is relatively commoner in females; however, occupational exposure to silica in males makes them vulnerable to silica--associated systemic sclerosis (Erasmus syndrome).

OBJECTIVE

To describe the clinico-epidemiological aspects of systemic sclerosis in males in a retrospective cohort study.

MATERIALS AND METHODS

The data were analysed retrospectively for demographic profile and clinical characteristics including examination findings, laboratory investigations, and treatments of all male patients diagnosed with systemic sclerosis with or without silica exposure, managed from January 2018 to December 2021.

RESULTS

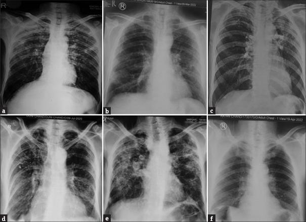
Eight out of twelve patients were having silica exposure in the form of stone cutting, cement exposure, and working with concrete. The average age was 55 ± 10.72 years with average smoking exposure of around 24.4 ± 12.8 pack years. Skin thickening was reported by all patients with an average modified Rodnan score of 18.33/51 in diffuse and 7/51 in limited cutaneous systemic sclerosis. Raynaud's phenomenon and sclerodactyly were universal findings, while 9 (75%) patients had digital pitted scars. Antinuclear antibodies were present in all patients and specific antibodies substantiated the clinical assessment in almost all patients. Interstitial lung disease was the most common systemic finding present in 11 (91%) patients and tuberculosis was diagnosed in 2 (25%) cases with silica exposure. Gastrointestinal and cardiac system involvement was seen in 5 (41.6%) and 4 (33.3%) patients, respectively.

CONCLUSION

Systemic sclerosis in males against the gender predilection indicates the role of occupational exposure. Silicosis and systemic sclerosis synergistically add to lung damage, and at the same time, these patients are more prone to infections like tuberculosis.

摘要

背景

系统性硬化症是一种自身免疫性结缔组织疾病,其特征为皮肤和内脏器官纤维化。长期接触二氧化硅不仅可能导致矽肺,还可能引发系统性硬化症。系统性硬化症在女性中相对更为常见;然而,男性因职业接触二氧化硅,使其易患与二氧化硅相关的系统性硬化症(伊拉斯谟综合征)。

目的

在一项回顾性队列研究中描述男性系统性硬化症的临床流行病学特征。

材料与方法

对2018年1月至2021年12月期间诊治的所有诊断为系统性硬化症的男性患者(无论是否接触二氧化硅)的人口统计学资料和临床特征进行回顾性分析,包括检查结果、实验室检查及治疗情况。

结果

12例患者中有8例有接触二氧化硅的情况,形式包括石材切割、接触水泥以及从事混凝土作业。平均年龄为55±10.72岁,平均吸烟史约为24.4±12.8包年。所有患者均有皮肤增厚,弥漫性皮肤系统性硬化症患者的平均改良Rodnan评分为18.33/51,局限性皮肤系统性硬化症患者为7/51。雷诺现象和指端硬化是普遍存在的表现,9例(75%)患者有指端凹陷性瘢痕。所有患者均存在抗核抗体,几乎所有患者的特异性抗体均证实了临床评估结果。间质性肺病是最常见的系统性表现,11例(91%)患者出现,2例(25%)接触二氧化硅的患者被诊断为肺结核。分别有5例(41.6%)和4例(33.3%)患者出现胃肠道和心脏系统受累。

结论

男性系统性硬化症与性别偏好相悖,提示职业暴露的作用。矽肺和系统性硬化症协同加重肺部损害,同时,这些患者更容易感染如肺结核等疾病。

https://cdn.ncbi.nlm.nih.gov/pmc/blobs/af5c/10986861/8c6a3d9ef794/IJD-69-48-g001.jpg

文献AI研究员

20分钟写一篇综述,助力文献阅读效率提升50倍。

立即体验

用中文搜PubMed

大模型驱动的PubMed中文搜索引擎

马上搜索

文档翻译

学术文献翻译模型,支持多种主流文档格式。

立即体验