Suppr超能文献

使用混合 ViT 和 GRU 模型与可解释 AI 在孟加拉国南部进行 MRI 脑部肿瘤检测和分类。

Brain tumor detection and classification in MRI using hybrid ViT and GRU model with explainable AI in Southern Bangladesh.

机构信息

Shaanxi Int'l Innovation Center for Transportation-Energy-Information Fusion and Sustainability, Chang'an University, Xi'an, 710064, China.

Department of Biomedical Engineering, Islamic University, 7003, Kushtia, Bangladesh.

出版信息

Sci Rep. 2024 Oct 1;14(1):22797. doi: 10.1038/s41598-024-71893-3.

Abstract

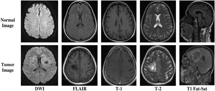
Brain tumor, a leading cause of uncontrolled cell growth in the central nervous system, presents substantial challenges in medical diagnosis and treatment. Early and accurate detection is essential for effective intervention. This study aims to enhance the detection and classification of brain tumors in Magnetic Resonance Imaging (MRI) scans using an innovative framework combining Vision Transformer (ViT) and Gated Recurrent Unit (GRU) models. We utilized primary MRI data from Bangabandhu Sheikh Mujib Medical College Hospital (BSMMCH) in Faridpur, Bangladesh. Our hybrid ViT-GRU model extracts essential features via ViT and identifies relationships between these features using GRU, addressing class imbalance and outperforming existing diagnostic methods. We extensively processed the dataset, and then trained the model using various optimizers (SGD, Adam, AdamW) and evaluated through rigorous 10-fold cross-validation. Additionally, we incorporated Explainable Artificial Intelligence (XAI) techniques-Attention Map, SHAP, and LIME-to enhance the interpretability of the model's predictions. For the primary dataset BrTMHD-2023, the ViT-GRU model achieved precision, recall, and F1-score metrics of 97%. The highest accuracies obtained with SGD, Adam, and AdamW optimizers were 81.66%, 96.56%, and 98.97%, respectively. Our model outperformed existing Transfer Learning models by 1.26%, as validated through comparative analysis and cross-validation. The proposed model also shows excellent performances with another Brain Tumor Kaggle Dataset outperforming the existing research done on the same dataset with 96.08% accuracy. The proposed ViT-GRU framework significantly improves the detection and classification of brain tumors in MRI scans. The integration of XAI techniques enhances the model's transparency and reliability, fostering trust among clinicians and facilitating clinical application. Future work will expand the dataset and apply findings to real-time diagnostic devices, advancing the field.

摘要

脑肿瘤是中枢神经系统中不受控制的细胞生长的主要原因,在医学诊断和治疗方面带来了巨大的挑战。早期、准确的检测对于有效干预至关重要。本研究旨在利用结合视觉转换器 (ViT) 和门控循环单元 (GRU) 模型的创新框架,提高磁共振成像 (MRI) 扫描中脑肿瘤的检测和分类。我们利用来自孟加拉国法里德布尔的班加班杜谢赫·穆吉布医学大学医院 (BSMMCH) 的主要 MRI 数据。我们的混合 ViT-GRU 模型通过 ViT 提取重要特征,并使用 GRU 识别这些特征之间的关系,解决了类不平衡问题,并优于现有的诊断方法。我们对数据集进行了广泛的处理,然后使用各种优化器(SGD、Adam、AdamW)对模型进行训练,并通过严格的 10 倍交叉验证进行评估。此外,我们还采用了可解释人工智能 (XAI) 技术——注意力图、SHAP 和 LIME——来提高模型预测的可解释性。对于主要数据集 BrTMHD-2023,ViT-GRU 模型达到了 97%的精度、召回率和 F1 分数。SGD、Adam 和 AdamW 优化器获得的最高准确率分别为 81.66%、96.56%和 98.97%。通过比较分析和交叉验证,我们的模型比现有的迁移学习模型提高了 1.26%。该模型还在另一个脑肿瘤 Kaggle 数据集上表现出色,其准确率为 96.08%,优于在同一数据集上进行的现有研究。所提出的 ViT-GRU 框架显著提高了 MRI 扫描中脑肿瘤的检测和分类。XAI 技术的集成提高了模型的透明度和可靠性,在临床医生中建立了信任,并促进了临床应用。未来的工作将扩大数据集,并将研究结果应用于实时诊断设备,推动该领域的发展。

https://cdn.ncbi.nlm.nih.gov/pmc/blobs/49de/11445444/186d2fa6ef5d/41598_2024_71893_Fig1_HTML.jpg

文献AI研究员

20分钟写一篇综述,助力文献阅读效率提升50倍。

立即体验

用中文搜PubMed

大模型驱动的PubMed中文搜索引擎

马上搜索

文档翻译

学术文献翻译模型,支持多种主流文档格式。

立即体验