Suppr超能文献

格罗斯小鼠白血病病毒的体外致白血病性及细胞转化机制:病毒亚群分析

Leukemogenicity and cell transformation mechanisms in vitro by Gross murine leukemia virus: analysis of virus subpopulations.

作者信息

Hamada K, Yanagihara K, Kamiya K, Seyama T, Yokoro K

出版信息

J Virol. 1981 Apr;38(1):327-35. doi: 10.1128/JVI.38.1.327-335.1981.

Abstract

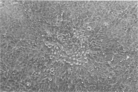
The leukemogenic activity of Gross murine leukemia virus adapted to rats was tested in W/Fu rats and NIH/Swiss mice. All animals infected with this virus developed thymic and nonthymic T-cell leukemia with a short latency period. It was observed that cell-free extracts from thymic lymphoma tissue of mice and rats, induced by either Gross murine leukemia virus or Gross murine leukemia virus adapted to rats, consisted of both small-plaque-forming and large-plaque-forming viruses, as determined by the XC plaque test. MCF-type virus was found in these virus complexes. Transformed cell foci were induced in SC-1 cell layers by double infection of the cloned MCF-type virus and an ecotropic virus. SC-1 cells containing transformed cell foci were shown to be tumorigenic upon inoculation into nude mice. The formation of transformed cell foci in mink lung cells was also observed after double infection with the cloned MCF-type virus and a xenotropic virus. The possible mechanism of leukemogenesis by endogenous viruses is discussed.

摘要

在W/Fu大鼠和NIH/Swiss小鼠中测试了适应大鼠的格罗斯小鼠白血病病毒的致白血病活性。所有感染该病毒的动物都在短潜伏期内发生了胸腺和非胸腺T细胞白血病。据观察,由格罗斯小鼠白血病病毒或适应大鼠的格罗斯小鼠白血病病毒诱导的小鼠和大鼠胸腺淋巴瘤组织的无细胞提取物,通过XC空斑试验确定,由小空斑形成病毒和大空斑形成病毒组成。在这些病毒复合物中发现了MCF型病毒。通过克隆的MCF型病毒和嗜亲性病毒的双重感染,在SC-1细胞层中诱导出转化细胞灶。含有转化细胞灶的SC-1细胞接种到裸鼠后显示具有致瘤性。在用克隆的MCF型病毒和异嗜性病毒双重感染后,也观察到貂肺细胞中转化细胞灶的形成。讨论了内源性病毒致白血病的可能机制。

https://cdn.ncbi.nlm.nih.gov/pmc/blobs/a379/171155/9f22e2718715/jvirol00004-0337-a.jpg

文献AI研究员

20分钟写一篇综述,助力文献阅读效率提升50倍。

立即体验

用中文搜PubMed

大模型驱动的PubMed中文搜索引擎

马上搜索

文档翻译

学术文献翻译模型,支持多种主流文档格式。

立即体验