• 文献检索
  • 文档翻译
  • 深度研究
  • 学术资讯
  • Suppr Zotero 插件Zotero 插件
  • 邀请有礼
  • 套餐&价格
  • 历史记录
应用&插件
Suppr Zotero 插件Zotero 插件浏览器插件Mac 客户端Windows 客户端微信小程序
定价
高级版会员购买积分包购买API积分包
服务
文献检索文档翻译深度研究API 文档MCP 服务
关于我们
关于 Suppr公司介绍联系我们用户协议隐私条款
关注我们

Suppr 超能文献

核心技术专利:CN118964589B侵权必究
粤ICP备2023148730 号-1Suppr @ 2026

文献检索

告别复杂PubMed语法,用中文像聊天一样搜索,搜遍4000万医学文献。AI智能推荐,让科研检索更轻松。

立即免费搜索

文件翻译

保留排版,准确专业,支持PDF/Word/PPT等文件格式,支持 12+语言互译。

免费翻译文档

深度研究

AI帮你快速写综述,25分钟生成高质量综述,智能提取关键信息,辅助科研写作。

立即免费体验

Human papovavirus in Papanicolaou smears of urinary sediment detected by transmission electron microscopy.

作者信息

Coleman D V, Russell W J, Hodgson J, Pe T, Mowbray J F

出版信息

J Clin Pathol. 1977 Nov;30(11):1015-20. doi: 10.1136/jcp.30.11.1015.

DOI:10.1136/jcp.30.11.1015
PMID:73550
原文链接:https://pmc.ncbi.nlm.nih.gov/articles/PMC476627/
Abstract

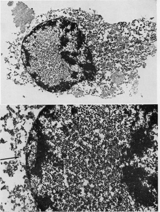
A technique is described whereby inclusion-bearing cells identified by light microscopy in stained smears of urinary sediment were reprocessed for examination in the electron microscope. The nuclei of the abnormal cells were found to contain numerous virus particles, 35 nm in diameter, which morphologically resembled papovaviruses. The technique was applied in this case to identify further the virus producing the cytopathic changes in the Papanicolaou smear. It could be particularly valuable for retrospective studies of mounted cytological or histological material when suitable specimens are no longer available for virological investigation.

摘要
https://cdn.ncbi.nlm.nih.gov/pmc/blobs/f740/476627/deb190b6206e/jclinpath00169-0022-a.jpg
https://cdn.ncbi.nlm.nih.gov/pmc/blobs/f740/476627/5188cab6ec12/jclinpath00169-0020-a.jpg
https://cdn.ncbi.nlm.nih.gov/pmc/blobs/f740/476627/fb7dfb4cf6d5/jclinpath00169-0020-b.jpg
https://cdn.ncbi.nlm.nih.gov/pmc/blobs/f740/476627/85ba98913b89/jclinpath00169-0021-a.jpg
https://cdn.ncbi.nlm.nih.gov/pmc/blobs/f740/476627/deb190b6206e/jclinpath00169-0022-a.jpg
https://cdn.ncbi.nlm.nih.gov/pmc/blobs/f740/476627/5188cab6ec12/jclinpath00169-0020-a.jpg
https://cdn.ncbi.nlm.nih.gov/pmc/blobs/f740/476627/fb7dfb4cf6d5/jclinpath00169-0020-b.jpg
https://cdn.ncbi.nlm.nih.gov/pmc/blobs/f740/476627/85ba98913b89/jclinpath00169-0021-a.jpg
https://cdn.ncbi.nlm.nih.gov/pmc/blobs/f740/476627/deb190b6206e/jclinpath00169-0022-a.jpg

相似文献

1
Human papovavirus in Papanicolaou smears of urinary sediment detected by transmission electron microscopy.
J Clin Pathol. 1977 Nov;30(11):1015-20. doi: 10.1136/jcp.30.11.1015.
2
Intermediate size papovavirus particles in pregnancy urine.
J Gen Virol. 1981 Feb;52(Pt 2):359-62. doi: 10.1099/0022-1317-52-2-359.
3
Electron microscopy of cells showing viral cytopathic effects in Papanicolaou smears.对巴氏涂片中有病毒致细胞病变效应的细胞进行电子显微镜检查。
Acta Cytol. 1983 Nov-Dec;27(6):605-13.
4
Electronmicroscopical characterisation of simian papovavirus SA12.
J Med Microbiol. 1977 Nov;10(4):477-8. doi: 10.1099/00222615-10-4-477.
5
New human papovavirus (B.K.) isolated from urine after renal transplantation.肾移植后从尿液中分离出新型人乳头多瘤病毒(B.K.)
Lancet. 1971 Jun 19;1(7712):1253-7. doi: 10.1016/s0140-6736(71)91776-4.
6
Isolation and characterization of a papovavirus from human urine.从人尿中分离和鉴定一种乳头多瘤空泡病毒。
Proc Soc Exp Biol Med. 1974 Jun;146(2):481-7. doi: 10.3181/00379727-146-38131.
7
Solid-phase immune electron microscopy-double-antibody technique for rapid detection of papovaviruses.
J Clin Microbiol. 1982 Mar;15(3):517-21. doi: 10.1128/jcm.15.3.517-521.1982.
8
Hemorrhagic cystitis after bone marrow transplantation: importance of a thin sectioning technique on urinary sediments for diagnosis.
Bone Marrow Transplant. 1991 Feb;7(2):107-11.
9
[Focal epithelial hyperplasia. 1st French case. Demonstration of a papovavirus by electron microscopy].
Rev Stomatol Chir Maxillofac. 1976 Mar;77(2):318-21.
10
Isolation of papovavirus from brain tumor and urine of a patient with Wiskott-Aldrich syndrome.从一名患有维斯科特-奥尔德里奇综合征患者的脑肿瘤和尿液中分离出乳头多瘤空泡病毒。
J Natl Cancer Inst. 1974 Nov;53(5):1205-7. doi: 10.1093/jnci/53.5.1205.

引用本文的文献

1
Diagnosis of childhood BK virus cystitis by electron microscopy and PCR.通过电子显微镜和聚合酶链反应诊断儿童BK病毒膀胱炎
J Clin Pathol. 1993 Aug;46(8):773-5. doi: 10.1136/jcp.46.8.773.
2
Method for the removal of selected cells from cytological smear preparations for transmission electron microscopy.用于透射电子显微镜检查的从细胞学涂片制备物中去除选定细胞的方法。
J Clin Pathol. 1981 Dec;34(12):1355-7. doi: 10.1136/jcp.34.12.1355.
3
Amyloid P-component is a constituent of normal human glomerular basement membrane.淀粉样P成分是正常人肾小球基底膜的组成成分。

本文引用的文献

1
POLYOMA-LIKE VIRIONS IN HUMAN DEMYELINATING BRAIN DISEASE.人类脱髓鞘性脑病中的多瘤病毒样病毒颗粒
Can Med Assoc J. 1965 Aug 28;93(9):379-86.
2
PARTICLES RESEMBLING PAPOVA VIRUSES IN HUMAN CEREBRAL DEMYELINATING DISEASE.人类脑脱髓鞘疾病中类似乳头多瘤空泡病毒的颗粒
Science. 1965 Jun 11;148(3676):1477-9. doi: 10.1126/science.148.3676.1477.
3
Experience with a three-hour electron microscopy biopsy service.三小时电子显微镜活检服务的经验。
J Exp Med. 1980 Nov 1;152(5):1162-74. doi: 10.1084/jem.152.5.1162.
4
Serial urinary and cervical cytological studies in women undergoing renal transplantation.肾移植女性患者的系列尿液及宫颈细胞学研究。
J Clin Pathol. 1980 Oct;33(10):990-2. doi: 10.1136/jcp.33.10.990.
5
Reprocessing of haematoxylin- and eosin-stained histological sections for ultrastructural study and localization of viral particles in skin specimens.
Arch Dermatol Res. 1982;273(3-4):349-52. doi: 10.1007/BF00409266.
6
Diagnostic virology using electron microscopic techniques.运用电子显微镜技术的诊断病毒学
Adv Virus Res. 1982;27:1-69. doi: 10.1016/s0065-3527(08)60432-7.
7
Transmission electron microscopy of percutaneous fine needle aspirates from lung: a study of 70 cases.
Thorax. 1987 Apr;42(4):296-301. doi: 10.1136/thx.42.4.296.
8
DNA hybridisation of cervical scrapes: comparison with cytological findings in Papanicolaou smears.宫颈刮片的DNA杂交:与巴氏涂片细胞学检查结果的比较
J Clin Pathol. 1988 Mar;41(3):296-9. doi: 10.1136/jcp.41.3.296.
9
Canine hemorrhagic enteritis: detection of viral particles by electron microscopy.犬出血性肠炎:通过电子显微镜检测病毒颗粒
Arch Virol. 1979;61(1-2):1-11. doi: 10.1007/BF01320586.
10
Cytological diagnosis of virus-infected cells in Papanicolaou smears and its application in clinical practice.巴氏涂片检查中病毒感染细胞的细胞学诊断及其在临床实践中的应用。
J Clin Pathol. 1979 Nov;32(11):1075-89. doi: 10.1136/jcp.32.11.1075.
J Clin Pathol. 1974 Jun;27(6):505-10. doi: 10.1136/jcp.27.6.505.
4
Human polyomavirus infection in renal allograft recipients.肾移植受者中的人多瘤病毒感染
Br Med J. 1973 Aug 18;3(5876):371-5. doi: 10.1136/bmj.3.5876.371.
5
Exfoliative cytopathologic studies in organ transplantation. I. The cytologic diagnosis of cytomegalic inclusion disease in the urine of renal allograft recipients.
Am J Clin Pathol. 1969 Sep;52(3):340-4. doi: 10.1093/ajcp/52.3.340.
6
Cultivation of papova-like virus from human brain with progressive multifocal leucoencephalopathy.从患有进行性多灶性白质脑病的人脑组织中培养出乳头多瘤空泡病毒。
Lancet. 1971 Jun 19;1(7712):1257-60. doi: 10.1016/s0140-6736(71)91777-6.
7
New human papovavirus (B.K.) isolated from urine after renal transplantation.肾移植后从尿液中分离出新型人乳头多瘤病毒(B.K.)
Lancet. 1971 Jun 19;1(7712):1253-7. doi: 10.1016/s0140-6736(71)91776-4.