Suppr超能文献

心外膜干细胞龛中的心肌细胞前体细胞和 telocytes:电子显微镜图像。

Cardiomyocyte precursors and telocytes in epicardial stem cell niche: electron microscope images.

机构信息

Victor Babes National Institute of Pathology, Bucharest, Romania.

出版信息

J Cell Mol Med. 2010 Apr;14(4):871-7. doi: 10.1111/j.1582-4934.2010.01060.x. Epub 2010 Mar 26.

Abstract

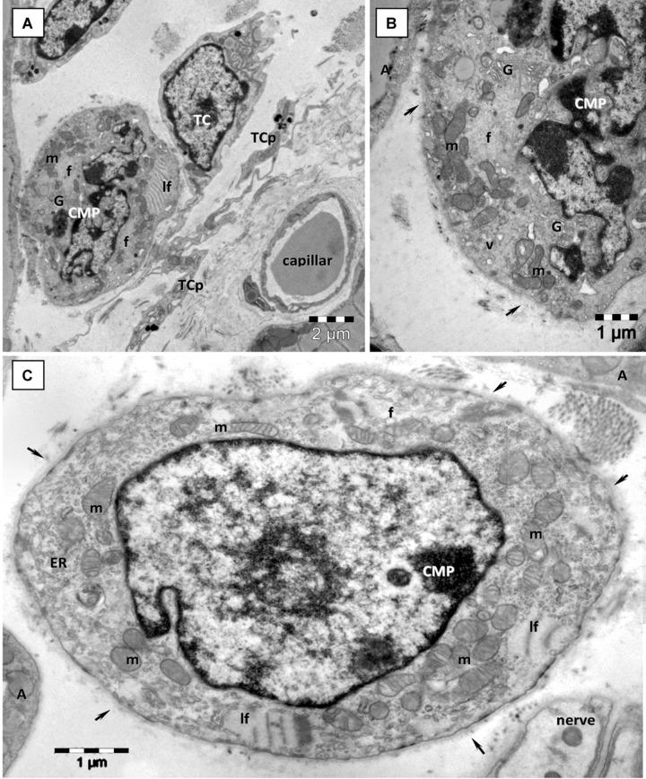
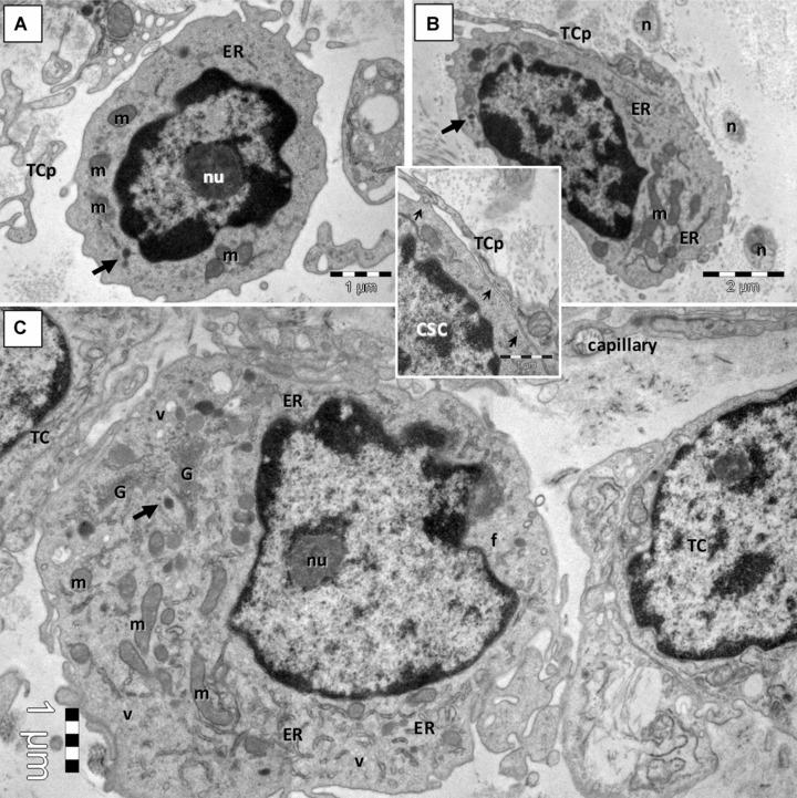
A highly heterogeneous population of stem and progenitor cells has been described by light immunohistochemistry in the mammalian adult heart, but the ultrastructural identity of cardiac stem cells remains unknown. Using electron microscopy, we demonstrate the presence of cells with stem features in the adult mouse heart. These putative cardiac stem cells are small (6-10 microm), round cells, with an irregular shaped nucleus, large nucleolus, few endoplasmic reticulum cisternae and mitochondria, but numerous ribosomes. Stem cells located in the epicardial stem cell niche undergo mitosis and apoptosis. Cells with intermediate features between stem cells and cardiomyocyte progenitors have also been seen. Moreover, electron microscopy showed that cardiomyocyte progenitors were added to the peripheral working cardiomyocytes. Telocytes make a supportive interstitial network for stem cells and progenitors in the stem cell niche. This study enhances the hypothesis of a unique type of cardiac stem cell and progenitors in different stages of differentiation. In our opinion, stem cells, cardiomyocyte progenitors and telocytes sustain a continuous cardiac renewal process in the adult mammalian heart.

摘要

已经通过哺乳动物成人心内的光免疫组织化学描述了具有高度异质性的干细胞和祖细胞群体,但心脏干细胞的超微结构特征仍然未知。我们使用电子显微镜证明了成年小鼠心脏中存在具有干细胞特征的细胞。这些推定的心脏干细胞体积小(6-10 微米),呈圆形,细胞核形状不规则,核仁大,内质网池和线粒体较少,但核糖体丰富。位于心外膜干细胞巢中的干细胞经历有丝分裂和细胞凋亡。也观察到了在干细胞和心肌祖细胞之间具有中间特征的细胞。此外,电子显微镜显示,心肌祖细胞被添加到周边工作心肌细胞中。原纤维细胞为干细胞巢中的干细胞和祖细胞形成支持性的间质网络。这项研究增强了在不同分化阶段存在独特类型的心脏干细胞和祖细胞的假说。在我们看来,干细胞、心肌祖细胞和原纤维细胞维持着成年哺乳动物心脏的持续更新过程。

https://cdn.ncbi.nlm.nih.gov/pmc/blobs/9378/3823118/e8139c65a8b3/jcmm0014-0871-f1.jpg

文献AI研究员

20分钟写一篇综述,助力文献阅读效率提升50倍。

立即体验

用中文搜PubMed

大模型驱动的PubMed中文搜索引擎

马上搜索

文档翻译

学术文献翻译模型,支持多种主流文档格式。

立即体验