• 文献检索
  • 文档翻译
  • 深度研究
  • 学术资讯
  • Suppr Zotero 插件Zotero 插件
  • 邀请有礼
  • 套餐&价格
  • 历史记录
应用&插件
Suppr Zotero 插件Zotero 插件浏览器插件Mac 客户端Windows 客户端微信小程序
定价
高级版会员购买积分包购买API积分包
服务
文献检索文档翻译深度研究API 文档MCP 服务
关于我们
关于 Suppr公司介绍联系我们用户协议隐私条款
关注我们

Suppr 超能文献

核心技术专利:CN118964589B侵权必究
粤ICP备2023148730 号-1Suppr @ 2026

文献检索

告别复杂PubMed语法,用中文像聊天一样搜索,搜遍4000万医学文献。AI智能推荐,让科研检索更轻松。

立即免费搜索

文件翻译

保留排版,准确专业,支持PDF/Word/PPT等文件格式,支持 12+语言互译。

免费翻译文档

深度研究

AI帮你快速写综述,25分钟生成高质量综述,智能提取关键信息,辅助科研写作。

立即免费体验

使用 MEG 测量功能连接:方法学及与 fcMRI 的比较。

Measuring functional connectivity using MEG: methodology and comparison with fcMRI.

机构信息

Sir Peter Mansfield Magnetic Resonance Centre, School of Physics and Astronomy, University of Nottingham, University Park, Nottingham, UK.

出版信息

Neuroimage. 2011 Jun 1;56(3):1082-104. doi: 10.1016/j.neuroimage.2011.02.054. Epub 2011 Feb 23.

DOI:10.1016/j.neuroimage.2011.02.054
PMID:21352925
原文链接:https://pmc.ncbi.nlm.nih.gov/articles/PMC3224862/
Abstract

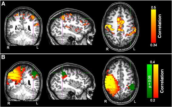
Functional connectivity (FC) between brain regions is thought to be central to the way in which the brain processes information. Abnormal connectivity is thought to be implicated in a number of diseases. The ability to study FC is therefore a key goal for neuroimaging. Functional connectivity (fc) MRI has become a popular tool to make connectivity measurements but the technique is limited by its indirect nature. A multimodal approach is therefore an attractive means to investigate the electrodynamic mechanisms underlying hemodynamic connectivity. In this paper, we investigate resting state FC using fcMRI and magnetoencephalography (MEG). In fcMRI, we exploit the advantages afforded by ultra high magnetic field. In MEG we apply envelope correlation and coherence techniques to source space projected MEG signals. We show that beamforming provides an excellent means to measure FC in source space using MEG data. However, care must be taken when interpreting these measurements since cross talk between voxels in source space can potentially lead to spurious connectivity and this must be taken into account in all studies of this type. We show good spatial agreement between FC measured independently using MEG and fcMRI; FC between sensorimotor cortices was observed using both modalities, with the best spatial agreement when MEG data are filtered into the β band. This finding helps to reduce the potential confounds associated with each modality alone: while it helps reduce the uncertainties in spatial patterns generated by MEG (brought about by the ill posed inverse problem), addition of electrodynamic metric confirms the neural basis of fcMRI measurements. Finally, we show that multiple MEG based FC metrics allow the potential to move beyond what is possible using fcMRI, and investigate the nature of electrodynamic connectivity. Our results extend those from previous studies and add weight to the argument that neural oscillations are intimately related to functional connectivity and the BOLD response.

摘要

功能连接(FC)被认为是大脑处理信息的核心方式。异常的连接被认为与许多疾病有关。因此,研究 FC 的能力是神经影像学的一个关键目标。功能连接(fc)MRI 已成为一种流行的工具来进行连接测量,但该技术受到其间接性质的限制。因此,多模态方法是研究血流动力学连接背后的电磁动力学机制的一种有吸引力的手段。在本文中,我们使用 fcMRI 和脑磁图(MEG)研究静息状态 FC。在 fcMRI 中,我们利用超高磁场的优势。在 MEG 中,我们应用包络相关和相干技术来处理源空间投影的 MEG 信号。我们表明,波束形成提供了一种极好的方法,可以使用 MEG 数据在源空间中测量 FC。然而,在解释这些测量值时必须小心,因为源空间中的体素之间的串扰可能会导致虚假的连接,在这种类型的所有研究中都必须考虑到这一点。我们表明,使用 MEG 和 fcMRI 独立测量的 FC 之间具有良好的空间一致性;两种模态都观察到感觉运动皮质之间的 FC,当 MEG 数据被过滤到β频带时,空间一致性最佳。这一发现有助于减少每种模态单独存在的潜在混淆:虽然它有助于减少 MEG 产生的空间模式的不确定性(由不适定的逆问题引起),但添加电磁度量法确认了 fcMRI 测量的神经基础。最后,我们表明,多个基于 MEG 的 FC 指标有可能超越使用 fcMRI 可能实现的功能,并研究电磁连接的性质。我们的结果扩展了以前的研究结果,并为神经振荡与功能连接和 BOLD 反应密切相关的论点增加了份量。

https://cdn.ncbi.nlm.nih.gov/pmc/blobs/b07b/3224862/732fcbecfeac/gr7.jpg
https://cdn.ncbi.nlm.nih.gov/pmc/blobs/b07b/3224862/4534ed198291/gra1.jpg
https://cdn.ncbi.nlm.nih.gov/pmc/blobs/b07b/3224862/0dc1fa36469c/gra2.jpg
https://cdn.ncbi.nlm.nih.gov/pmc/blobs/b07b/3224862/0c793966ed0e/gra3.jpg
https://cdn.ncbi.nlm.nih.gov/pmc/blobs/b07b/3224862/85e3b41b4777/gra4.jpg
https://cdn.ncbi.nlm.nih.gov/pmc/blobs/b07b/3224862/d0c1db97082f/gra5.jpg
https://cdn.ncbi.nlm.nih.gov/pmc/blobs/b07b/3224862/80d5d9ef6796/gra6.jpg
https://cdn.ncbi.nlm.nih.gov/pmc/blobs/b07b/3224862/c6a6e0ee6df7/gra7.jpg
https://cdn.ncbi.nlm.nih.gov/pmc/blobs/b07b/3224862/9702d201180d/gr1.jpg
https://cdn.ncbi.nlm.nih.gov/pmc/blobs/b07b/3224862/fce2a821e8d5/gr2.jpg
https://cdn.ncbi.nlm.nih.gov/pmc/blobs/b07b/3224862/c48123b2aab3/gr3.jpg
https://cdn.ncbi.nlm.nih.gov/pmc/blobs/b07b/3224862/ee9fb113e657/gr4.jpg
https://cdn.ncbi.nlm.nih.gov/pmc/blobs/b07b/3224862/13be3bd653cf/gr5.jpg
https://cdn.ncbi.nlm.nih.gov/pmc/blobs/b07b/3224862/8403c59b560e/gr6.jpg
https://cdn.ncbi.nlm.nih.gov/pmc/blobs/b07b/3224862/732fcbecfeac/gr7.jpg
https://cdn.ncbi.nlm.nih.gov/pmc/blobs/b07b/3224862/4534ed198291/gra1.jpg
https://cdn.ncbi.nlm.nih.gov/pmc/blobs/b07b/3224862/0dc1fa36469c/gra2.jpg
https://cdn.ncbi.nlm.nih.gov/pmc/blobs/b07b/3224862/0c793966ed0e/gra3.jpg
https://cdn.ncbi.nlm.nih.gov/pmc/blobs/b07b/3224862/85e3b41b4777/gra4.jpg
https://cdn.ncbi.nlm.nih.gov/pmc/blobs/b07b/3224862/d0c1db97082f/gra5.jpg
https://cdn.ncbi.nlm.nih.gov/pmc/blobs/b07b/3224862/80d5d9ef6796/gra6.jpg
https://cdn.ncbi.nlm.nih.gov/pmc/blobs/b07b/3224862/c6a6e0ee6df7/gra7.jpg
https://cdn.ncbi.nlm.nih.gov/pmc/blobs/b07b/3224862/9702d201180d/gr1.jpg
https://cdn.ncbi.nlm.nih.gov/pmc/blobs/b07b/3224862/fce2a821e8d5/gr2.jpg
https://cdn.ncbi.nlm.nih.gov/pmc/blobs/b07b/3224862/c48123b2aab3/gr3.jpg
https://cdn.ncbi.nlm.nih.gov/pmc/blobs/b07b/3224862/ee9fb113e657/gr4.jpg
https://cdn.ncbi.nlm.nih.gov/pmc/blobs/b07b/3224862/13be3bd653cf/gr5.jpg
https://cdn.ncbi.nlm.nih.gov/pmc/blobs/b07b/3224862/8403c59b560e/gr6.jpg
https://cdn.ncbi.nlm.nih.gov/pmc/blobs/b07b/3224862/732fcbecfeac/gr7.jpg

相似文献

1
Measuring functional connectivity using MEG: methodology and comparison with fcMRI.使用 MEG 测量功能连接:方法学及与 fcMRI 的比较。
Neuroimage. 2011 Jun 1;56(3):1082-104. doi: 10.1016/j.neuroimage.2011.02.054. Epub 2011 Feb 23.
2
Multimodal description of whole brain connectivity: A comparison of resting state MEG, fMRI, and DWI.全脑连接性的多模态描述:静息态脑磁图、功能磁共振成像和扩散加权成像的比较
Hum Brain Mapp. 2016 Jan;37(1):20-34. doi: 10.1002/hbm.22995. Epub 2015 Oct 27.
3
A wavelet-based method for measuring the oscillatory dynamics of resting-state functional connectivity in MEG.基于小波的方法测量静息状态功能磁共振连接的振荡动力学。
Neuroimage. 2011 May 1;56(1):69-77. doi: 10.1016/j.neuroimage.2011.01.046. Epub 2011 Jan 21.
4
Quantifying the Test-Retest Reliability of Magnetoencephalography Resting-State Functional Connectivity.量化脑磁图静息态功能连接的重测信度
Brain Connect. 2016 Jul;6(6):448-60. doi: 10.1089/brain.2015.0416. Epub 2016 Jun 24.
5
The impact of MEG source reconstruction method on source-space connectivity estimation: A comparison between minimum-norm solution and beamforming.MEG 源重建方法对源空间连接估计的影响:最小范数解和波束形成的比较。
Neuroimage. 2017 Aug 1;156:29-42. doi: 10.1016/j.neuroimage.2017.04.038. Epub 2017 May 4.
6
Mapping the topological organisation of beta oscillations in motor cortex using MEG.利用 MEG 绘制运动皮层中β振荡的拓扑组织。
Neuroimage. 2018 Nov 1;181:831-844. doi: 10.1016/j.neuroimage.2018.06.041. Epub 2018 Jun 28.
7
Using variance information in magnetoencephalography measures of functional connectivity.利用脑磁图功能连接测量中的方差信息。
Neuroimage. 2013 Feb 15;67:203-12. doi: 10.1016/j.neuroimage.2012.11.011. Epub 2012 Nov 17.
8
Examining resting-state functional connectivity in first-episode schizophrenia with 7T fMRI and MEG.使用 7T fMRI 和 MEG 检查首发精神分裂症的静息态功能连接。
Neuroimage Clin. 2019;24:101959. doi: 10.1016/j.nicl.2019.101959. Epub 2019 Jul 23.
9
Reliability of Magnetoencephalography and High-Density Electroencephalography Resting-State Functional Connectivity Metrics.静息态功能磁共振和高密度脑电图连接性测量的可靠性。
Brain Connect. 2019 Sep;9(7):539-553. doi: 10.1089/brain.2019.0662. Epub 2019 Jun 26.
10
Frequency-dependent functional connectivity within resting-state networks: an atlas-based MEG beamformer solution.静息态网络中频率依赖性功能连接:基于图谱的脑磁图波束形成解决方案。
Neuroimage. 2012 Feb 15;59(4):3909-21. doi: 10.1016/j.neuroimage.2011.11.005. Epub 2011 Nov 9.

引用本文的文献

1
Altered neuromagnetic activity under visual stimuli in migraine: a multi-frequency magnetoencephalography study.偏头痛患者在视觉刺激下神经磁活动的改变:一项多频脑磁图研究。
Front Neurol. 2025 Jul 30;16:1567150. doi: 10.3389/fneur.2025.1567150. eCollection 2025.
2
Demonstrating equivalence across magnetoencephalography scanner platforms using neural fingerprinting.使用神经指纹识别技术证明不同脑磁图扫描仪平台之间的等效性。
Imaging Neurosci (Camb). 2025 May 21;3. doi: 10.1162/IMAG.a.10. eCollection 2025.
3
Predicting brain age across the adult lifespan with spontaneous oscillations and functional coupling in resting brain networks captured with magnetoencephalography.

本文引用的文献

1
β-Band correlates of the fMRI BOLD response.β 带与 fMRI BOLD 响应的相关性。
Hum Brain Mapp. 2011 Feb;32(2):182-97. doi: 10.1002/hbm.21016.
2
Comparison of functional connectivity in default mode and sensorimotor networks at 3 and 7T.3T 和 7T 下默认模式和感觉运动网络功能连接的比较。
MAGMA. 2010 Dec;23(5-6):339-49. doi: 10.1007/s10334-010-0220-0. Epub 2010 Jul 13.
3
Temporal dynamics of spontaneous MEG activity in brain networks.脑网络中自发性 MEG 活动的时间动态。
利用脑磁图记录的静息脑网络中的自发振荡和功能耦合预测成年期的脑龄。
Imaging Neurosci (Camb). 2024 Jun 17;2. doi: 10.1162/imag_a_00195. eCollection 2024.
4
Bayesian inference of frequency-specific functional connectivity in MEG imaging using a spectral graph model.使用谱图模型对脑磁图成像中频率特异性功能连接性进行贝叶斯推断。
Imaging Neurosci (Camb). 2024 Oct 10;2. doi: 10.1162/imag_a_00307. eCollection 2024.
5
Online functional connectivity analysis of large all-to-all networks in MNE Scan.MNE Scan中大型全对全网络的在线功能连接性分析。
Imaging Neurosci (Camb). 2024 Sep 25;2. doi: 10.1162/imag_a_00296. eCollection 2024.
6
Test-retest reliability of the human connectome: An OPM-MEG study.人类连接组的重测信度:一项基于OPM-MEG的研究。
Imaging Neurosci (Camb). 2023 Oct 9;1. doi: 10.1162/imag_a_00020. eCollection 2023.
7
Beyond homogeneity: charting the landscape of heterogeneity in neurodevelopmental and psychiatric electroencephalography.超越同质性:描绘神经发育和精神疾病脑电图中的异质性图景
Transl Psychiatry. 2025 Jul 2;15(1):223. doi: 10.1038/s41398-025-03441-0.
8
Scalable geometric learning with correlation-based functional brain networks.基于相关性的功能性脑网络的可扩展几何学习
Sci Rep. 2025 Jul 2;15(1):22685. doi: 10.1038/s41598-025-07703-1.
9
Characterizing the heterogeneity of neurodegenerative diseases through EEG normative modeling.通过脑电图规范建模来表征神经退行性疾病的异质性。
NPJ Parkinsons Dis. 2025 May 8;11(1):117. doi: 10.1038/s41531-025-00957-6.
10
Modulating Cortico-cortical Networks with Transcranial Alternating Current Stimulation: A Minireview.经颅交流电刺激对皮质-皮质网络的调制:一篇综述
Phys Ther Res. 2025;28(1):1-8. doi: 10.1298/ptr.R0035. Epub 2025 Mar 10.
Proc Natl Acad Sci U S A. 2010 Mar 30;107(13):6040-5. doi: 10.1073/pnas.0913863107. Epub 2010 Mar 16.
4
Large-scale spontaneous fluctuations and correlations in brain electrical activity observed with magnetoencephalography.脑磁图观察到的大脑电活动的大规模自发波动和相关性。
Neuroimage. 2010 May 15;51(1):102-11. doi: 10.1016/j.neuroimage.2010.01.092. Epub 2010 Feb 1.
5
Abnormal neural oscillations and synchrony in schizophrenia.精神分裂症中的异常神经振荡和同步。
Nat Rev Neurosci. 2010 Feb;11(2):100-13. doi: 10.1038/nrn2774.
6
Time-frequency dynamics of resting-state brain connectivity measured with fMRI.静息态功能磁共振成像测量的脑连接的时频动态
Neuroimage. 2010 Mar;50(1):81-98. doi: 10.1016/j.neuroimage.2009.12.011. Epub 2009 Dec 16.
7
Relating BOLD fMRI and neural oscillations through convolution and optimal linear weighting.通过卷积和最优线性加权将 BOLD fMRI 与神经振荡联系起来。
Neuroimage. 2010 Jan 15;49(2):1479-89. doi: 10.1016/j.neuroimage.2009.09.020. Epub 2009 Sep 22.
8
Investigating spatial specificity and data averaging in MEG.研究脑磁图中的空间特异性和数据平均。
Neuroimage. 2010 Jan 1;49(1):525-38. doi: 10.1016/j.neuroimage.2009.07.043. Epub 2009 Jul 25.
9
Robust Bayesian estimation of the location, orientation, and time course of multiple correlated neural sources using MEG.使用 MEG 对多个相关神经源的位置、方向和时程进行稳健的贝叶斯估计。
Neuroimage. 2010 Jan 1;49(1):641-55. doi: 10.1016/j.neuroimage.2009.06.083. Epub 2009 Jul 10.
10
Source connectivity analysis with MEG and EEG.使用脑磁图(MEG)和脑电图(EEG)进行源连接性分析。
Hum Brain Mapp. 2009 Jun;30(6):1857-65. doi: 10.1002/hbm.20745.