• 文献检索
  • 文档翻译
  • 深度研究
  • 学术资讯
  • Suppr Zotero 插件Zotero 插件
  • 邀请有礼
  • 套餐&价格
  • 历史记录
应用&插件
Suppr Zotero 插件Zotero 插件浏览器插件Mac 客户端Windows 客户端微信小程序
定价
高级版会员购买积分包购买API积分包
服务
文献检索文档翻译深度研究API 文档MCP 服务
关于我们
关于 Suppr公司介绍联系我们用户协议隐私条款
关注我们

Suppr 超能文献

核心技术专利:CN118964589B侵权必究
粤ICP备2023148730 号-1Suppr @ 2026

文献检索

告别复杂PubMed语法,用中文像聊天一样搜索,搜遍4000万医学文献。AI智能推荐,让科研检索更轻松。

立即免费搜索

文件翻译

保留排版,准确专业,支持PDF/Word/PPT等文件格式,支持 12+语言互译。

免费翻译文档

深度研究

AI帮你快速写综述,25分钟生成高质量综述,智能提取关键信息,辅助科研写作。

立即免费体验

蜂胶-蜂蜜香脂在治疗实验性烧伤创面中的生物学活性。

Biological activity of propolis-honey balm in the treatment of experimentally-evoked burn wounds.

机构信息

Department of Anesthesiology and Intensive Care School of Medicine, Medical University of Silesia in Katowice, Medyków 14, 40-752 Katowice, Poland.

出版信息

Molecules. 2013 Nov 21;18(11):14397-413. doi: 10.3390/molecules181114397.

DOI:10.3390/molecules181114397
PMID:24284491
原文链接:https://pmc.ncbi.nlm.nih.gov/articles/PMC6270475/
Abstract

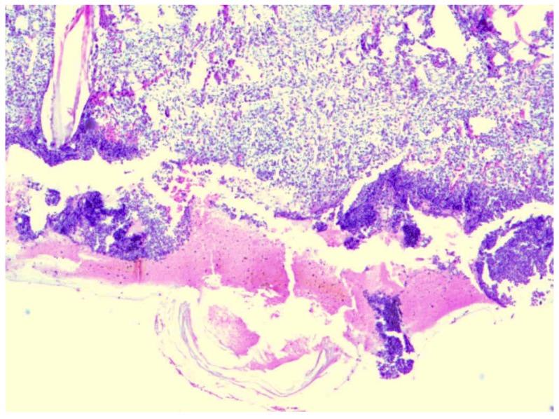
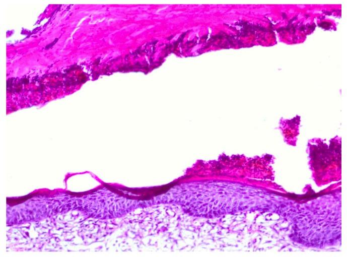
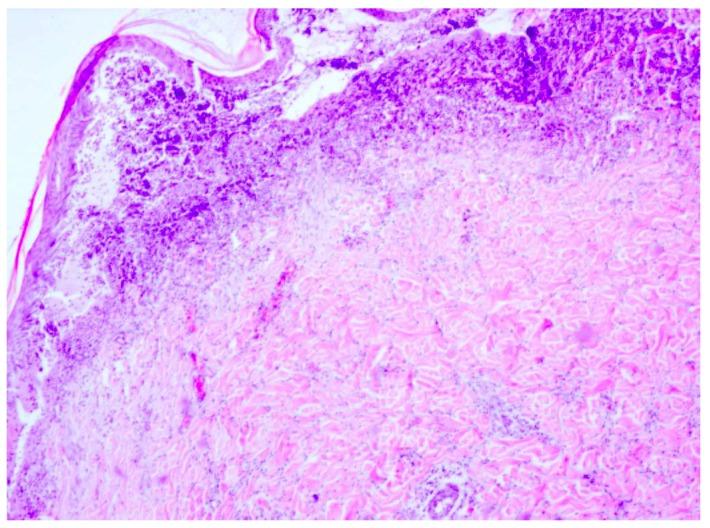
Medicines of biogenic origin with micro-organic, regenerative and analgesic properties are becoming more and more significant in the treatment of burn wounds. These properties are found in apitherapeutics such as propolis and honey--products collected and processed by a honey bee. Their effect on the course of the healing processes is multidirectional. The aim of the study was a histopathological and biochemical analysis of the processes of scar formation in experimentally evoked burn wounds in white pigs treated with the 1% and 3% Sepropol balms containing standardized extracts of propolis and honey. The results were compared with the therapeutic effects obtained with dermazin cream (1% silver sulfadiazine). The level of collagen was determined in the wounds treated with 1% and 3% Sepropol and compared with the collagen level in healthy skin and wounds treated with dermazin. Granulation and regenerated epithelium formation times were compared, with the 3% Sepropol being by far the most effective. The 3% Sepropol also increased the collagen level to 116% with the control sub-groups scoring between 80% and 98%. The results show the healing process of burn wounds in pigs treated with the Sepropol balm starts earlier and has a faster course than the standard dermazin therapy.

摘要

具有生物源、微生物、再生和镇痛特性的药物在烧伤治疗中的作用越来越重要。这些特性存在于蜂胶和蜂蜜等蜂产品中,这些产品是由蜜蜂采集和加工的。它们对愈合过程的影响是多方面的。本研究的目的是分析在白猪实验性烧伤伤口中,使用含有标准化蜂胶和蜂蜜提取物的 1%和 3%Sepropol 香脂治疗后,瘢痕形成过程的组织病理学和生化变化,并与 Dermazin 乳膏(1%磺胺嘧啶银)的治疗效果进行比较。在接受 1%和 3%Sepropol 治疗的伤口中测定了胶原蛋白的水平,并与健康皮肤和接受 Dermazin 治疗的伤口中的胶原蛋白水平进行了比较。比较了肉芽组织和再生上皮形成的时间,发现 3%Sepropol 的效果最为显著。3%Sepropol 还将胶原蛋白水平提高到 116%,而对照组的得分在 80%至 98%之间。结果表明,与标准的 Dermazin 治疗相比,用 Sepropol 香脂治疗的猪的烧伤伤口愈合过程开始得更早,进展得更快。

https://cdn.ncbi.nlm.nih.gov/pmc/blobs/1141/6270475/cd4bf79e77ae/molecules-18-14397-g009.jpg
https://cdn.ncbi.nlm.nih.gov/pmc/blobs/1141/6270475/39fcc41ac676/molecules-18-14397-g001.jpg
https://cdn.ncbi.nlm.nih.gov/pmc/blobs/1141/6270475/2142862b6877/molecules-18-14397-g002.jpg
https://cdn.ncbi.nlm.nih.gov/pmc/blobs/1141/6270475/a2089966a4b2/molecules-18-14397-g003.jpg
https://cdn.ncbi.nlm.nih.gov/pmc/blobs/1141/6270475/9bd7662c075a/molecules-18-14397-g004.jpg
https://cdn.ncbi.nlm.nih.gov/pmc/blobs/1141/6270475/adb8aeba5e5e/molecules-18-14397-g005.jpg
https://cdn.ncbi.nlm.nih.gov/pmc/blobs/1141/6270475/28b7360a3a3a/molecules-18-14397-g006.jpg
https://cdn.ncbi.nlm.nih.gov/pmc/blobs/1141/6270475/fc7173af1de6/molecules-18-14397-g007.jpg
https://cdn.ncbi.nlm.nih.gov/pmc/blobs/1141/6270475/2422e3631ed7/molecules-18-14397-g008.jpg
https://cdn.ncbi.nlm.nih.gov/pmc/blobs/1141/6270475/cd4bf79e77ae/molecules-18-14397-g009.jpg
https://cdn.ncbi.nlm.nih.gov/pmc/blobs/1141/6270475/39fcc41ac676/molecules-18-14397-g001.jpg
https://cdn.ncbi.nlm.nih.gov/pmc/blobs/1141/6270475/2142862b6877/molecules-18-14397-g002.jpg
https://cdn.ncbi.nlm.nih.gov/pmc/blobs/1141/6270475/a2089966a4b2/molecules-18-14397-g003.jpg
https://cdn.ncbi.nlm.nih.gov/pmc/blobs/1141/6270475/9bd7662c075a/molecules-18-14397-g004.jpg
https://cdn.ncbi.nlm.nih.gov/pmc/blobs/1141/6270475/adb8aeba5e5e/molecules-18-14397-g005.jpg
https://cdn.ncbi.nlm.nih.gov/pmc/blobs/1141/6270475/28b7360a3a3a/molecules-18-14397-g006.jpg
https://cdn.ncbi.nlm.nih.gov/pmc/blobs/1141/6270475/fc7173af1de6/molecules-18-14397-g007.jpg
https://cdn.ncbi.nlm.nih.gov/pmc/blobs/1141/6270475/2422e3631ed7/molecules-18-14397-g008.jpg
https://cdn.ncbi.nlm.nih.gov/pmc/blobs/1141/6270475/cd4bf79e77ae/molecules-18-14397-g009.jpg

相似文献

1
Biological activity of propolis-honey balm in the treatment of experimentally-evoked burn wounds.蜂胶-蜂蜜香脂在治疗实验性烧伤创面中的生物学活性。
Molecules. 2013 Nov 21;18(11):14397-413. doi: 10.3390/molecules181114397.
2
Electrospinning of honey and propolis for wound care.用于伤口护理的蜂蜜和蜂胶静电纺丝。
Biotechnol Bioeng. 2023 May;120(5):1229-1240. doi: 10.1002/bit.28341. Epub 2023 Feb 13.
3
Comparison of propolis skin cream to silver sulfadiazine: a naturopathic alternative to antibiotics in treatment of minor burns.蜂胶护肤霜与磺胺嘧啶银的比较:一种治疗轻度烧伤的抗生素天然替代疗法。
J Altern Complement Med. 2002 Feb;8(1):77-83. doi: 10.1089/107555302753507203.
4
The incorporation of Brazilian propolis into collagen-based dressing films improves dermal burn healing.巴西蜂胶掺入基于胶原的敷贴膜中可促进皮肤烧伤愈合。
J Ethnopharmacol. 2013 May 20;147(2):419-25. doi: 10.1016/j.jep.2013.03.031. Epub 2013 Mar 27.
5
Propolis modulates fibronectin expression in the matrix of thermal injury.蜂胶调节热损伤基质中纤连蛋白的表达。
Biomed Res Int. 2014;2014:748101. doi: 10.1155/2014/748101. Epub 2014 Mar 11.
6
Antiseptics for burns.烧伤用防腐剂
Cochrane Database Syst Rev. 2017 Jul 12;7(7):CD011821. doi: 10.1002/14651858.CD011821.pub2.
7
Biological Activity of Propolis Ointment with the Addition of 1% Nanosilver in the Treatment of Experimentally-Evoked Burn Wounds.添加1%纳米银的蜂胶软膏对实验性烧伤创面的治疗作用
Polymers (Basel). 2021 Jul 14;13(14):2312. doi: 10.3390/polym13142312.
8
Gelatin-based membrane containing usnic acid-loaded liposome improves dermal burn healing in a porcine model.含松萝酸脂质体的明胶基膜可改善猪模型的皮肤烧伤愈合。
Int J Pharm. 2016 Nov 20;513(1-2):473-482. doi: 10.1016/j.ijpharm.2016.09.040. Epub 2016 Sep 12.
9
Histopathological Evaluation of the Healing Process of Standardized Skin Burns in Rabbits: Assessment of a Natural Product with Honey and Essential Oils.兔标准化皮肤烧伤愈合过程的组织病理学评估:含蜂蜜和精油的天然产物的评估
J Clin Med. 2022 Oct 29;11(21):6417. doi: 10.3390/jcm11216417.
10
[Influence of the plaferon on healing of burned wounds of III - IV degrees].[聚肌胞对Ⅲ - Ⅳ度烧伤创面愈合的影响]
Georgian Med News. 2007 May(146):53-6.

引用本文的文献

1
Development of propolis, hyaluronic acid, and vitamin K nano-emulsion for the treatment of second-degree burns in albino rats.蜂胶、透明质酸和维生素 K 纳米乳剂的开发用于治疗白化病大鼠的二度烧伤。
BMC Complement Med Ther. 2024 Feb 16;24(1):92. doi: 10.1186/s12906-024-04377-6.
2
The Impact of Soil pH on Heavy Metals Uptake and Photosynthesis Efficiency in , , .土壤 pH 值对 、 、 中重金属吸收和光合作用效率的影响。
Molecules. 2022 Jul 22;27(15):4671. doi: 10.3390/molecules27154671.
3
Propolis and Its Gastroprotective Effects on NSAID-Induced Gastric Ulcer Disease: A Systematic Review.

本文引用的文献

1
Propolis standardized extract (EPP-AF®), an innovative chemically and biologically reproducible pharmaceutical compound for treating wounds.蜂胶标准化提取物(EPP-AF®),一种用于治疗伤口的具有创新性、化学成分和生物学均具有重现性的药物化合物。
Int J Biol Sci. 2012;8(4):512-21. doi: 10.7150/ijbs.3641. Epub 2012 Mar 21.
2
Propolis and amnion reepithelialise second-degree burns in rats.蜂胶和羊膜使大鼠二度烧伤表皮再生。
Burns. 2011 Nov;37(7):1192-201. doi: 10.1016/j.burns.2011.05.016. Epub 2011 Jul 7.
3
A new prenylated flavanoid with antibacterial activity from propolis collected in Egypt.
蜂胶及其对 NSAID 诱导的胃溃疡疾病的胃保护作用:系统评价。
Nutrients. 2021 Sep 11;13(9):3169. doi: 10.3390/nu13093169.
4
Biological Activity of Propolis Ointment with the Addition of 1% Nanosilver in the Treatment of Experimentally-Evoked Burn Wounds.添加1%纳米银的蜂胶软膏对实验性烧伤创面的治疗作用
Polymers (Basel). 2021 Jul 14;13(14):2312. doi: 10.3390/polym13142312.
5
Preclinical approaches in vulvovaginal candidiasis treatment with mucoadhesive thermoresponsive systems containing propolis.含蜂胶的黏膜粘附性温敏系统治疗外阴阴道念珠菌病的临床前方法。
PLoS One. 2020 Dec 11;15(12):e0243197. doi: 10.1371/journal.pone.0243197. eCollection 2020.
6
Attenuation of carrageenan-induced hind paw edema and plasma TNF-α level by Philippine stingless bee (Tetragonula biroi Friese) propolis.菲律宾无刺蜂(Tetragonula biroi Friese)蜂胶对角叉菜胶诱导的后爪水肿及血浆 TNF-α 水平的抑制作用。
Exp Anim. 2021 May 13;70(2):185-193. doi: 10.1538/expanim.20-0118. Epub 2020 Nov 25.
7
The Estimation of Blood Paramagnetic Center Changes during Burns Management with Biodegradable Propolis-Nanofiber Dressing.应用可生物降解的蜂胶-纳米纤维敷贴治疗烧伤过程中血顺磁中心变化的评估。
Oxid Med Cell Longev. 2020 Jun 28;2020:3675603. doi: 10.1155/2020/3675603. eCollection 2020.
8
Migration Rate Inhibition of Breast Cancer Cells Treated by Caffeic Acid and Caffeic Acid Phenethyl Ester: An In Vitro Comparison Study.咖啡酸和咖啡酸苯乙酯抑制乳腺癌细胞迁移的体外比较研究。
Nutrients. 2017 Oct 19;9(10):1144. doi: 10.3390/nu9101144.
9
Evaluation of the expression of VIII factor and VEGF in the regeneration of non-vital teeth in dogs using propolis.使用蜂胶对犬失活牙再生中VIII因子和血管内皮生长因子表达的评估。
Iran J Basic Med Sci. 2017 Feb;20(2):172-177. doi: 10.22038/ijbms.2017.8243.
10
Preparation and evaluation of a hair wax containing propolis and seed oil for hair growth.含蜂胶和籽油的头发生长用发蜡的制备与评价
Adv Biomed Res. 2016 Nov 28;5:182. doi: 10.4103/2277-9175.190985. eCollection 2016.
从埃及采集的蜂胶中分离出一种具有抗菌活性的新型异戊烯基化黄酮类化合物。
Nat Prod Commun. 2010 Jan;5(1):43-5.
4
Topical 'Sydney' propolis protects against UV-radiation-induced inflammation, lipid peroxidation and immune suppression in mouse skin.局部用“悉尼”蜂胶可预防 UV 辐射引起的小鼠皮肤炎症、脂质过氧化和免疫抑制。
Int Arch Allergy Immunol. 2010;152(2):87-97. doi: 10.1159/000265530. Epub 2009 Dec 16.
5
Antimicrobial activity of propolis extract against Staphylococcus coagulase positive and Malassezia pachydermatis of canine otitis.蜂胶提取物对犬耳炎凝固酶阳性葡萄球菌和马拉色菌的抗菌活性。
Vet Microbiol. 2010 May 19;142(3-4):432-4. doi: 10.1016/j.vetmic.2009.09.070. Epub 2009 Oct 20.
6
Honey in the treatment of burns: a systematic review and meta-analysis of its efficacy.蜂蜜治疗烧伤:对其疗效的系统评价和荟萃分析
N Z Med J. 2009 May 22;122(1295):47-60.
7
Functional properties of honey, propolis, and royal jelly.蜂蜜、蜂胶和蜂王浆的功能特性。
J Food Sci. 2008 Nov;73(9):R117-24. doi: 10.1111/j.1750-3841.2008.00966.x.
8
Effect of the water extracts of propolis on stimulation and inhibition of different cells.蜂胶水提取物对不同细胞的刺激和抑制作用。
Cytotechnology. 2007 May;54(1):49-56. doi: 10.1007/s10616-007-9067-2. Epub 2007 Apr 11.
9
Honey as a topical treatment for wounds.蜂蜜作为伤口的局部治疗方法。
Cochrane Database Syst Rev. 2008 Oct 8(4):CD005083. doi: 10.1002/14651858.CD005083.pub2.
10
Brazilian propolis: correlation between chemical composition and antimicrobial activity.巴西蜂胶:化学成分与抗菌活性的相关性。
Evid Based Complement Alternat Med. 2008 Sep;5(3):317-24. doi: 10.1093/ecam/nem058.