Suppr超能文献

天然产物柠檬醛可对稻瘟病菌的菌丝细胞壁造成显著损伤。

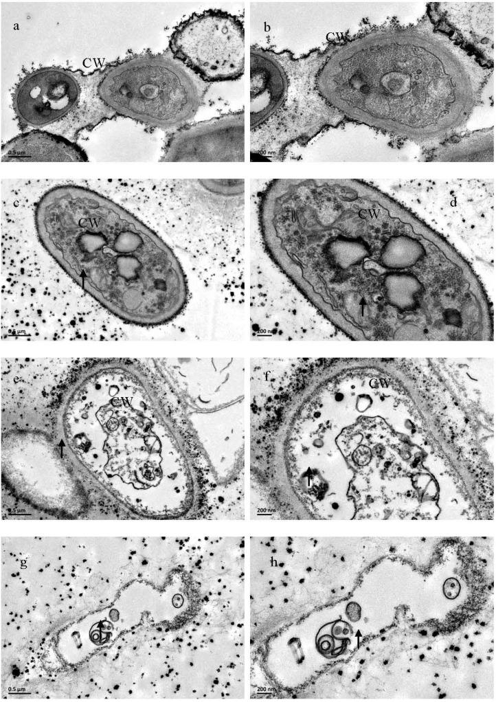
The natural product citral can cause significant damage to the hyphal cell walls of Magnaporthe grisea.

作者信息

Li Rong-Yu, Wu Xiao-Mao, Yin Xian-Hui, Liang Jing-Nan, Li Ming

机构信息

Institute of Crop Protection, Guizhou University, Guiyang 550025, China.

Instrument Center of Institute of Microbiology Chinese Academy of Sciences, Institute of Microbiology, Chinese Academy of Science, Beijing 100101, China.

出版信息

Molecules. 2014 Jul 15;19(7):10279-90. doi: 10.3390/molecules190710279.

Abstract

In order to find a natural alternative to the synthetic fungicides currently used against the devastating rice blast fungus, Magnaporthe grisea, this study explored the antifungal potential of citral and its mechanism of action. It was found that citral not only inhibited hyphal growth of M. grisea, but also caused a series of marked hyphal morphological and structural alterations. Specifically, citral was tested for antifungal activity against M. grisea in vitro and was found to significantly inhibit colony development and mycelial growth with IC50 and IC90 values of 40.71 and 203.75 μg/mL, respectively. Furthermore, citral reduced spore germination and germ tube length in a concentration-dependent manner. Following exposure to citral, the hyphal cell surface became wrinkled with folds and cell breakage that were observed under scanning electron microscopy (SEM). There was damage to hyphal cell walls and membrane structures, loss of villous-like material outside of the cell wall, thinning of the cell wall, and discontinuities formed in the cell membrane following treatment based on transmission electron microscopy (TEM). This increase in chitinase activity both supports the morphological changes seen in the hyphae, and also suggests a mechanism of action. In conclusion, citral has strong antifungal properties, and treatment with this compound is capable of causing significant damage to the hyphal cell walls of M. grisea.

摘要

为了找到一种天然替代品,以替代目前用于对抗毁灭性稻瘟病菌——稻瘟菌的合成杀菌剂,本研究探索了柠檬醛的抗真菌潜力及其作用机制。研究发现,柠檬醛不仅抑制稻瘟菌的菌丝生长,还会引起一系列明显的菌丝形态和结构变化。具体而言,对柠檬醛针对稻瘟菌的体外抗真菌活性进行了测试,发现其能显著抑制菌落发育和菌丝生长,IC50和IC90值分别为40.71和203.75μg/mL。此外,柠檬醛以浓度依赖的方式降低孢子萌发率和芽管长度。在接触柠檬醛后,扫描电子显微镜(SEM)观察到菌丝细胞表面出现褶皱和细胞破裂。基于透射电子显微镜(TEM)观察发现,处理后的菌丝细胞壁和膜结构受损,细胞壁外绒毛状物质丢失,细胞壁变薄,细胞膜出现间断。几丁质酶活性的增加既支持了在菌丝中观察到的形态变化,也提示了一种作用机制。总之,柠檬醛具有很强的抗真菌特性,用该化合物处理能够对稻瘟菌的菌丝细胞壁造成显著损伤。

https://cdn.ncbi.nlm.nih.gov/pmc/blobs/f677/6272010/8a4667bac4da/molecules-19-10279-g001.jpg

文献AI研究员

20分钟写一篇综述,助力文献阅读效率提升50倍。

立即体验

用中文搜PubMed

大模型驱动的PubMed中文搜索引擎

马上搜索

文档翻译

学术文献翻译模型,支持多种主流文档格式。

立即体验