Suppr超能文献

马齿苋提取物对四氧嘧啶诱导糖尿病大鼠的降血糖和胰腺保护作用。

Hypoglycemic and pancreatic protective effects of Portulaca oleracea extract in alloxan induced diabetic rats.

机构信息

Department of Physiology, Faculty of Medicine for Girls (Cairo), Al-Azhar University, Cairo, Egypt.

Department of Biochemistry Faculty of Pharmacy, Misr International University, Km 28, Cairo-Ismailia road, Cairo PO Box 1, Heliopolis, Cairo, Egypt.

出版信息

BMC Complement Altern Med. 2017 Jan 11;17(1):37. doi: 10.1186/s12906-016-1530-1.

Abstract

BACKGROUND

Diabetes is a major public health concern. In spite of continuous new drug development to treat diabetes, herbal remedies remain a potential adjunct therapy to maintain better glycemic control while also imparting few side-effects. Portulaca oleracea has been traditionally used to manage several diseases due to the anti-oxidant and anti-atherogenic effects it imparts. To better understand the mechanisms associated with potential protective effect of P. oleracea extract against diabetes, alloxan-induced diabetic rats were used in this study.

METHODS

Forty Wistar rats (male, 7-8-wk-old, 140-160 g) were divided into four groups (n = 10/group): Group I (control), Group II (P. oleracea-treated; gavaged with P. oleracea extract daily [at 250 mg/kg] for 4 weeks), Group III (diabetic control; daily IP injection of alloxan [at 75 mg/kg] for 5 days) and Group IV (P. oleracea-pre-treated diabetic; gavaged with P. oleracea extract daily [at 250 mg/kg] for 4 weeks and then daily IP injection of alloxan [at 75 mg/kg] for 5 days). Body weight, food consumption, blood (serum) levels of glucose, C peptide, Hb A1C, insulin, tumor necrosis factor (TNF)-α and interleukin (IL)-6 were determined for all groups.

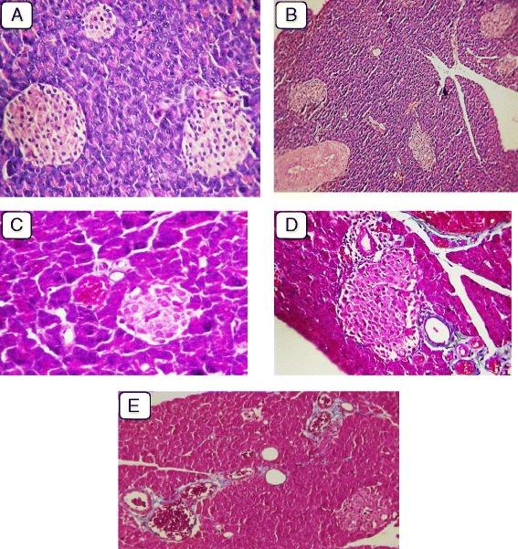
RESULTS

The results indicated that while Hb A1C, serum levels of glucose, TNF-α and IL-6 were all significantly decreased in the P. oleracea-pre-treated diabetic rats, these hosts also had significant increases in C peptide and insulin compared to levels in the counterpart diabetic rats. These results were confirmed by the histopathological assessments which showed marked improvement of the destructive effect on pancreatic islet cells induced by alloxan.

CONCLUSION

P. oleracea extract is a general tissue protective and regeneartive agent, as evidenced by increasing β-cell mass and therefore improved the glucose metabolism. Thus, stimulation of Portulaca oleracea signaling in β- cells may be a novel therapeutic strategy for diabetes prevention.

摘要

背景

糖尿病是一个主要的公共卫生关注点。尽管不断有新的药物开发来治疗糖尿病,但草药仍然是一种潜在的辅助治疗方法,可以更好地控制血糖,同时副作用较少。马齿苋因其具有抗氧化和抗动脉粥样硬化作用,传统上被用于治疗多种疾病。为了更好地了解马齿苋提取物对糖尿病具有潜在保护作用的相关机制,本研究使用了链脲佐菌素诱导的糖尿病大鼠。

方法

将 40 只 Wistar 大鼠(雄性,7-8 周龄,140-160g)分为四组(每组 10 只):I 组(对照组)、II 组(马齿苋处理组;每天灌胃马齿苋提取物[250mg/kg],共 4 周)、III 组(糖尿病对照组;连续 5 天每天腹腔注射链脲佐菌素[75mg/kg])和 IV 组(马齿苋预处理糖尿病组;每天灌胃马齿苋提取物[250mg/kg],共 4 周,然后连续 5 天每天腹腔注射链脲佐菌素[75mg/kg])。测定所有组的体重、食物消耗、血糖(血清)水平、C 肽、HbA1C、胰岛素、肿瘤坏死因子(TNF)-α和白细胞介素(IL)-6。

结果

结果表明,与糖尿病对照组相比,马齿苋预处理糖尿病大鼠的 HbA1C、血清葡萄糖水平、TNF-α和 IL-6 均显著降低,而 C 肽和胰岛素水平显著升高。组织病理学评估也证实了这一点,表明马齿苋提取物预处理显著改善了链脲佐菌素对胰岛细胞的破坏作用。

结论

马齿苋提取物是一种普遍的组织保护和再生剂,这可以从增加β细胞质量和改善葡萄糖代谢得到证明。因此,刺激马齿苋信号在β细胞中的作用可能是预防糖尿病的一种新的治疗策略。

https://cdn.ncbi.nlm.nih.gov/pmc/blobs/e485/5225634/4d40e18f8033/12906_2016_1530_Fig1_HTML.jpg

文献检索

告别复杂PubMed语法,用中文像聊天一样搜索,搜遍4000万医学文献。AI智能推荐,让科研检索更轻松。

立即免费搜索

文件翻译

保留排版,准确专业,支持PDF/Word/PPT等文件格式,支持 12+语言互译。

免费翻译文档

深度研究

AI帮你快速写综述,25分钟生成高质量综述,智能提取关键信息,辅助科研写作。

立即免费体验