Suppr超能文献

无主要临床表现的胡桃夹综合征年轻女性:血尿——病例报告

Young woman with nutcracker syndrome without main clinic manifestation: Hematuria-Case report.

作者信息

Novaes Luis Felipe Couto, da Silva Saguia Leonardo Neves, Di Migueli Carlos Alberto, de Castro Perin Marco Aurélio, Loprete Felipe Alago, Santana Nayara Pereira, Chervin Eli Leiser Nagiel, Sinisgalli Luis Augusto Mello, Gimenez Mario Perez

机构信息

Rede Dor - Hospital São Luiz Unidade Jabaquara, São Paulo, SP 2016, Brazil.

Rede Dor - Hospital São Luiz Unidade Jabaquara, São Paulo, SP 2016, Brazil.

出版信息

Int J Surg Case Rep. 2017;31:225-228. doi: 10.1016/j.ijscr.2017.01.052. Epub 2017 Jan 28.

Abstract

INTRODUCTION

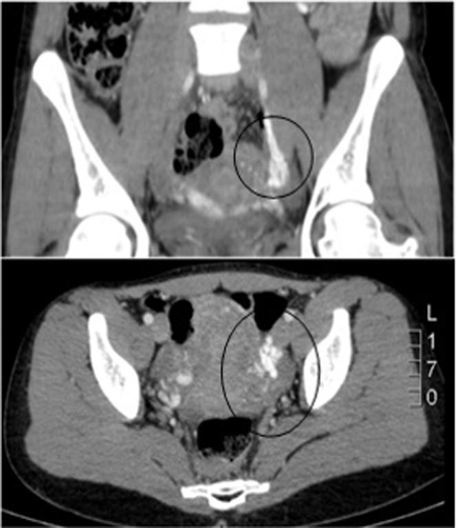
The nutcracker syndrome occurs due to the compression of the left renal vein between the aorta and the superior mesenteric artery. The diagnosis of the syndrome is often difficult and under diagnosed. The main clinical manifestations are hematuria and pelvic or back pain.

PRESENTATION OF CASE

A 25 years old female patient with severe abdominal pain in the lower abdomen without hematuria. Diagnosis with nutcracker syndrome after performing computed tomography. Presented the first episode of pain with 17 years old and was diagnosed at age 25.

DISCUSSION

In the nutcracker syndrome anatomical changes do not generate specific symptoms, causing the disease to be underdiagnosed. In this syndrome, there is increased pressure on the left renal vein, generating several signs and symptoms, and hematuria is one of present. Our patient did not have hematuria. Because of common symptoms, it makes nutcracker syndrome difficult diagnosis, confusing with other diseases, especially with nephrolithiasis. It is usually diagnosed after exclusion of other diseases.

CONCLUSION

The diagnosis of nutcracker syndrome is done after exclusion of other causes of chronic pelvic pain. In most cases, macroscopic and microscopic hematuria are present but was unobserved in this case. Making it more difficult diagnosis.

摘要

引言

胡桃夹综合征是由于左肾静脉在腹主动脉和肠系膜上动脉之间受到压迫所致。该综合征的诊断往往困难且易被漏诊。主要临床表现为血尿以及盆腔或背部疼痛。

病例介绍

一名25岁女性患者,下腹部剧痛,但无血尿。经计算机断层扫描后诊断为胡桃夹综合征。患者17岁时首次出现疼痛症状,25岁时确诊。

讨论

在胡桃夹综合征中,解剖结构改变不会产生特异性症状,导致该病易被漏诊。在此综合征中,左肾静脉压力升高,会产生多种体征和症状,血尿就是其中之一。我们的患者没有血尿。由于症状常见,使得胡桃夹综合征难以诊断,容易与其他疾病混淆,尤其是肾结石。通常在排除其他疾病后才能确诊。

结论

胡桃夹综合征的诊断是在排除其他慢性盆腔疼痛病因之后做出的。在大多数情况下,会出现肉眼血尿和镜下血尿,但本病例中未观察到,这使得诊断更加困难。

https://cdn.ncbi.nlm.nih.gov/pmc/blobs/a479/5304238/e25bd46dd331/gr1.jpg

文献检索

告别复杂PubMed语法,用中文像聊天一样搜索,搜遍4000万医学文献。AI智能推荐,让科研检索更轻松。

立即免费搜索

文件翻译

保留排版,准确专业,支持PDF/Word/PPT等文件格式,支持 12+语言互译。

免费翻译文档

深度研究

AI帮你快速写综述,25分钟生成高质量综述,智能提取关键信息,辅助科研写作。

立即免费体验