• 文献检索
  • 文档翻译
  • 深度研究
  • 学术资讯
  • Suppr Zotero 插件Zotero 插件
  • 邀请有礼
  • 套餐&价格
  • 历史记录
应用&插件
Suppr Zotero 插件Zotero 插件浏览器插件Mac 客户端Windows 客户端微信小程序
定价
高级版会员购买积分包购买API积分包
服务
文献检索文档翻译深度研究API 文档MCP 服务
关于我们
关于 Suppr公司介绍联系我们用户协议隐私条款
关注我们

Suppr 超能文献

核心技术专利:CN118964589B侵权必究
粤ICP备2023148730 号-1Suppr @ 2026

文献检索

告别复杂PubMed语法,用中文像聊天一样搜索,搜遍4000万医学文献。AI智能推荐,让科研检索更轻松。

立即免费搜索

文件翻译

保留排版,准确专业,支持PDF/Word/PPT等文件格式,支持 12+语言互译。

免费翻译文档

深度研究

AI帮你快速写综述,25分钟生成高质量综述,智能提取关键信息,辅助科研写作。

立即免费体验

鉴别诊断:腹膜后纤维化与肿瘤性疾病。

Differential Diagnosis: Retroperitoneal Fibrosis and Oncological Diseases.

作者信息

Sica Antonello, Casale Beniamino, Spada Alessandro, Teresa Di Dato Maria, Sagnelli Caterina, Calogero Armando, Buonavolontà Pietro, Salzano Anna, Martinelli Erika, Saracco Elisabetta, Troiani Teresa, Anna Dodaro Concetta, Tammaro Dario, Luisa De Rimini Maria, Ciardiello Fortunato, Papa Alfonso

机构信息

Department of Precision Medicine, University of Campania Luigi Vanvitelli, Naples, Italy.

Department of Pneumology and Tisiology, AO Dei Colli - V. Monaldi, Naples, Italy.

出版信息

Open Med (Wars). 2019 Dec 26;15:22-26. doi: 10.1515/med-2020-0005. eCollection 2018.

DOI:10.1515/med-2020-0005
PMID:31922016
原文链接:https://pmc.ncbi.nlm.nih.gov/articles/PMC6944454/
Abstract

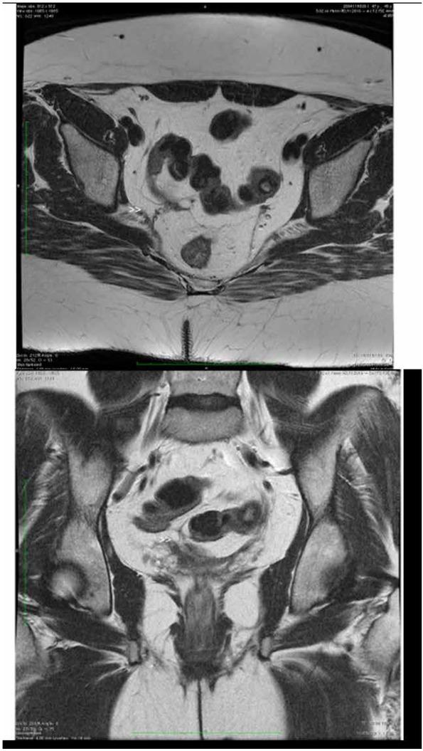
Retroperitoneal fibrosis is a connective disease of the auto-inflammatory/auto-immune type of the retroperitoneum with unknown etiology and pathological mechanism. The manifestations of the pathology can be local or systemic. Amongst the local symptoms, the dull and constant pain in the hips, back or abdomen is the most frequent. We report here a case of a 47-year-old woman, whose pathogenic mechanism could be related to an "IgG4-related disease" disorder as suggested by an increased serum level of this subclass of IgG and the positive immunohistochemistry. The diagnosis is not easy, because this pathology generates masses; adenomegalies with retro peritoneal development, that makes it similar to lymphomas or metastases from ovarian tumors.

摘要

腹膜后纤维化是一种发生于腹膜后的、病因及病理机制不明的自身炎症/自身免疫性结缔组织病。其病理表现可为局部性或全身性。在局部症状中,髋部、背部或腹部的钝痛及持续性疼痛最为常见。我们在此报告一例47岁女性病例,其发病机制可能与“IgG4相关性疾病”紊乱有关,依据是该亚类IgG血清水平升高及免疫组化呈阳性。该疾病诊断并不容易,因为这种病理改变会形成肿块;伴有腹膜后发展的淋巴结肿大,这使其类似于淋巴瘤或卵巢肿瘤转移。

https://cdn.ncbi.nlm.nih.gov/pmc/blobs/06e7/6944454/e4661655740d/med-15-022-g001.jpg
https://cdn.ncbi.nlm.nih.gov/pmc/blobs/06e7/6944454/e4661655740d/med-15-022-g001.jpg
https://cdn.ncbi.nlm.nih.gov/pmc/blobs/06e7/6944454/e4661655740d/med-15-022-g001.jpg

相似文献

1
Differential Diagnosis: Retroperitoneal Fibrosis and Oncological Diseases.鉴别诊断:腹膜后纤维化与肿瘤性疾病。
Open Med (Wars). 2019 Dec 26;15:22-26. doi: 10.1515/med-2020-0005. eCollection 2018.
2
A case of retroperitoneal and mediastinal fibrosis exhibiting elevated levels of IgG4 in the absence of sclerosing pancreatitis (autoimmune pancreatitis).一例无硬化性胰腺炎(自身免疫性胰腺炎)但IgG4水平升高的腹膜后和纵隔纤维化病例。
Hum Pathol. 2006 Feb;37(2):239-43. doi: 10.1016/j.humpath.2005.11.001. Epub 2005 Dec 15.
3
[Retroperitoneal fibrosis with coincidence of fibrosis in mediastinum].[腹膜后纤维化合并纵隔纤维化]
Pol Merkur Lekarski. 2001 Aug;11(62):169-72.
4
Retroperitoneal fibrosis associated with orbital pseudotumor without evidence of IgG4: A case report with review of literature.无IgG4证据的眼眶假瘤相关腹膜后纤维化:一例报告并文献复习
Intractable Rare Dis Res. 2019 Feb;8(1):29-35. doi: 10.5582/irdr.2018.01075.
5
A case of IgG4-related retroperitoneal fibrosis mimicking renal pelvic cancer.1例酷似肾盂癌的IgG4相关性腹膜后纤维化。
Urol Int. 2013;90(3):365-8. doi: 10.1159/000341703. Epub 2012 Sep 4.
6
Case report: IgG4-related renal disease co-existing with retroperitoneal fibrosis.病例报告:IgG4相关性肾病合并腹膜后纤维化。
Transl Androl Urol. 2020 Apr;9(2):794-799. doi: 10.21037/tau.2020.02.06.
7
Idiopathic retroperitoneal fibrosis and its overlap with IgG4-related disease.特发性腹膜后纤维化及其与IgG4相关疾病的重叠
Intern Emerg Med. 2017 Apr;12(3):287-299. doi: 10.1007/s11739-016-1599-z. Epub 2017 Jan 9.
8
[A case report of retroperitoneal fibrosis associated with IgG4-related sclerosing disease].[1例与IgG4相关硬化性疾病相关的腹膜后纤维化病例报告]
Hinyokika Kiyo. 2010 Jul;56(7):371-5.
9
Autoimmune pancreatitis metachronously associated with retroperitoneal fibrosis with IgG4-positive plasma cell infiltration.自身免疫性胰腺炎与伴有IgG4阳性浆细胞浸润的腹膜后纤维化同步发生。
World J Gastroenterol. 2006 May 14;12(18):2955-7. doi: 10.3748/wjg.v12.i18.2955.
10
Imaging appearance of fibrosing diseases of the retroperitoneum: can a definitive diagnosis be made?腹膜后纤维化性疾病的影像学表现:能否做出明确诊断?
Abdom Radiol (NY). 2018 May;43(5):1204-1214. doi: 10.1007/s00261-017-1282-5.

引用本文的文献

1
Multidisciplinary Approach to the Diagnosis and Therapy of Mycosis Fungoides.蕈样肉芽肿诊断与治疗的多学科方法
Healthcare (Basel). 2023 Feb 18;11(4):614. doi: 10.3390/healthcare11040614.
2
Promoting Laparoscopic Anterior Approach for a Very Low Presacral Primary Neuroendocrine Tumor Arising in a Tailgut Cyst.推广腹腔镜前路手术治疗尾肠囊肿起源的极低骶前原发性神经内分泌肿瘤。
Healthcare (Basel). 2022 Apr 26;10(5):805. doi: 10.3390/healthcare10050805.
3
Retroperitoneal Fibrosis: Beware of Lymphoma.腹膜后纤维化:谨防淋巴瘤。

本文引用的文献

1
Use of Rituximab in NHL Malt Type Pregnant in I° Trimester for Two Times.利妥昔单抗在妊娠早期I度的非霍奇金淋巴瘤麦芽型孕妇中的两次使用。
Open Med (Wars). 2019 Nov 12;14:757-760. doi: 10.1515/med-2019-0087. eCollection 2019.
2
Atypical haemolytic-uraemic syndrome in patient with metastatic colorectal cancer treated with fluorouracil and oxaliplatin: a case report and a review of literature.氟尿嘧啶和奥沙利铂治疗转移性结直肠癌患者的非典型溶血性尿毒症综合征:一例报告并文献复习
ESMO Open. 2019 Sep 19;4(5):e000551. doi: 10.1136/esmoopen-2019-000551. eCollection 2019.
3
Cancer- and Non-cancer Related Chronic Pain: From the Physiopathological Basics to Management.
Cureus. 2021 Aug 31;13(8):e17587. doi: 10.7759/cureus.17587. eCollection 2021 Aug.
4
Chronic Chest Pain Control after Trans-Thoracic Biopsy in Mediastinal Lymphomas.纵隔淋巴瘤经胸活检后的慢性胸痛控制
Healthcare (Basel). 2021 May 18;9(5):589. doi: 10.3390/healthcare9050589.
5
How Fear of COVID-19 Can Affect Treatment Choices for Anaplastic Large Cell Lymphomas ALK+ Therapy: A Case Report.对新冠病毒的恐惧如何影响间变性大细胞淋巴瘤ALK+疗法的治疗选择:一例报告
Healthcare (Basel). 2021 Jan 31;9(2):135. doi: 10.3390/healthcare9020135.
6
All-in-One Spinal Cord Stimulation in Lymphoproliferative Diseases.用于淋巴增殖性疾病的一体化脊髓刺激
Front Neurol. 2020 Nov 13;11:550554. doi: 10.3389/fneur.2020.550554. eCollection 2020.
7
Unilateral carpal tunnel syndrome: an unusual presentation of nodular fasciitis.单侧腕管综合征:结节性筋膜炎的一种不常见表现。
BMJ Case Rep. 2020 Nov 30;13(11):e236142. doi: 10.1136/bcr-2020-236142.
8
The impact of the SARS-CoV-2 infection, with special reference to the hematological setting.SARS-CoV-2 感染的影响,特别参考血液学方面。
J Med Virol. 2021 Jan;93(1):223-233. doi: 10.1002/jmv.26197. Epub 2020 Jul 11.
9
An Anecdotal Case Report of Chronic Lymphatic Leukemia with del(11q) Treated with Ibrutinib: Artificial Nourishment and Physical Activity Program.伊布替尼治疗伴有 del(11q)的慢性淋巴细胞白血病的个案报告:人工营养和身体活动方案。
Int J Environ Res Public Health. 2020 Mar 16;17(6):0. doi: 10.3390/ijerph17061929.
10
Endoscopic Treatment and Pulmonary Rehabilitation for Management of Lung Abscess in Elderly Lymphoma Patients.老年淋巴瘤患者肺脓肿的内镜治疗与肺康复管理
Int J Environ Res Public Health. 2020 Feb 5;17(3):997. doi: 10.3390/ijerph17030997.
癌症及非癌症相关慢性疼痛:从生理病理基础到管理
Open Med (Wars). 2019 Oct 17;14:761-766. doi: 10.1515/med-2019-0088. eCollection 2019.
4
A Preliminary Study for Quantitative Assessment with HFUS (High- Frequency Ultrasound) of Nodular Skin Melanoma Breslow Thickness in Adults Before Surgery: Interdisciplinary Team Experience.术前对成人结节性皮肤黑色素瘤 Breslow 厚度进行高频超声定量评估的初步研究:跨学科团队经验
Curr Radiopharm. 2020;13(1):48-55. doi: 10.2174/1874471012666191007121626.
5
Colorectal Cancer in the Elderly Patient: The Role of Neo-adjuvant Therapy.老年患者的结直肠癌:新辅助治疗的作用
Open Med (Wars). 2019 Aug 14;14:607-612. doi: 10.1515/med-2019-0068. eCollection 2019.
6
Familial Polyposis Coli: The Management of Desmoid Tumor Bleeding.家族性结肠息肉病:硬纤维瘤出血的管理
Open Med (Wars). 2019 Jul 19;14:572-576. doi: 10.1515/med-2019-0064. eCollection 2019.
7
Reactivation of hepatitis B virus infection in patients with hemo-lymphoproliferative diseases, and its prevention.血液淋巴增生性疾病患者乙型肝炎病毒再激活及其预防。
World J Gastroenterol. 2019 Jul 14;25(26):3299-3312. doi: 10.3748/wjg.v25.i26.3299.
8
The phylogenetic approach for viral infectious disease evolution and epidemiology: An updating review.病毒传染病进化和流行病学的系统发育方法:更新综述。
J Med Virol. 2019 Oct;91(10):1707-1724. doi: 10.1002/jmv.25526. Epub 2019 Jul 12.
9
Eradication of HCV Infection with the Direct-Acting Antiviral Therapy in Renal Allograft Recipients.肾移植受者应用直接作用抗病毒药物清除 HCV 感染。
Biomed Res Int. 2019 Apr 7;2019:4674560. doi: 10.1155/2019/4674560. eCollection 2019.
10
Donor and Recipient Outcomes following Robotic-Assisted Laparoscopic Living Donor Nephrectomy: A Systematic Review.机器人辅助腹腔镜活体供肾切除术供体和受体结局的系统评价。
Biomed Res Int. 2019 Apr 22;2019:1729138. doi: 10.1155/2019/1729138. eCollection 2019.