• 文献检索
  • 文档翻译
  • 深度研究
  • 学术资讯
  • Suppr Zotero 插件Zotero 插件
  • 邀请有礼
  • 套餐&价格
  • 历史记录
应用&插件
Suppr Zotero 插件Zotero 插件浏览器插件Mac 客户端Windows 客户端微信小程序
定价
高级版会员购买积分包购买API积分包
服务
文献检索文档翻译深度研究API 文档MCP 服务
关于我们
关于 Suppr公司介绍联系我们用户协议隐私条款
关注我们

Suppr 超能文献

核心技术专利:CN118964589B侵权必究
粤ICP备2023148730 号-1Suppr @ 2026

文献检索

告别复杂PubMed语法,用中文像聊天一样搜索,搜遍4000万医学文献。AI智能推荐,让科研检索更轻松。

立即免费搜索

文件翻译

保留排版,准确专业,支持PDF/Word/PPT等文件格式,支持 12+语言互译。

免费翻译文档

深度研究

AI帮你快速写综述,25分钟生成高质量综述,智能提取关键信息,辅助科研写作。

立即免费体验

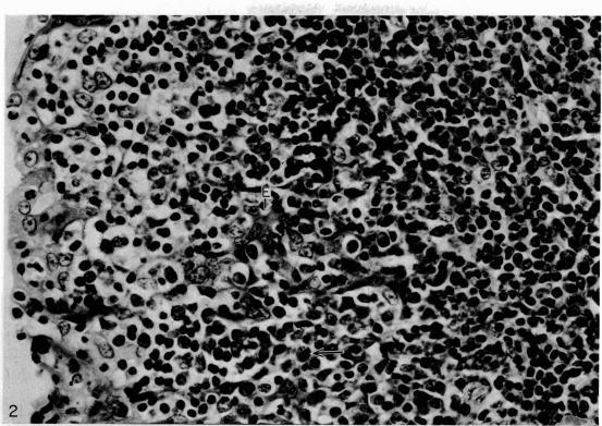
通过免疫组织化学显示的人扁桃体中含免疫球蛋白的细胞。

Immunoglobulin-containing cells in human tonsils as demonstrated by immunohistochemistry.

作者信息

Curran R C, Jones E L

出版信息

Clin Exp Immunol. 1977 Apr;28(1):103-15.

PMID:324672
原文链接:https://pmc.ncbi.nlm.nih.gov/articles/PMC1540878/
Abstract

Intracellular immunoglobulin has been demonstrated in human palatine tonsils by the unlabelled antibody peroxidase-antiperoxidase complex (PAP) method in which rabbit antiserum to a range of human immunoglobulins (Igs) was linked to the PAP complex by an intermediate stage of swine antiserum to rabbit Ig. The effects of different methods of fixation and processing have been compared, formol-saline fixation giving the best results. The PAP technique proved greatly superior to the fluorescein isothiocyanate (FITC)-based technique, not only in sensitivity but in permitting study of the finer histological and cytological features. The lymphoid follicles are shown to have three distinct zones, two forming the follicle centre (zones (a) and (b)), and the third (zone (c)) the lymphocyte cap. Ig synthesis appeared to begin in the cells in zone (b). IgG, IgA, IgM, IgE and IgD were present in all tonsils, with IgG predominating, confirming that the tonsil resembles lymph nodes more closely than it does alimentary lymphoid tissue. Some follicles contained more than one type of Ig. The tonsil appears to have a well-developed T-dependent area, the lymphoid follicles forming a B-cell area. The structure of the tonsil would seem to facilitate contact between its lymphoid tissue and antigens in the crypts, and it is postulated that some T cells within the crypt epithelium, after contact with antigen, may leave the tonsil by the efferent lymphatics and enter the peripheral circulation by the thoracic duct, whilst other primed T cells interact with B cells in the follicle centres. Some B cells may then start to synthesize immunoglobulin, whilst others become memory cells in the lymphocyte 'cap' of the follicle.

摘要

运用未标记抗体过氧化物酶-抗过氧化物酶复合物(PAP)法在人腭扁桃体中证实了细胞内免疫球蛋白的存在。该方法中,一系列针对人免疫球蛋白(Ig)的兔抗血清通过猪抗兔Ig血清这一中间阶段与PAP复合物相连。比较了不同固定和处理方法的效果,结果显示甲醛生理盐水固定效果最佳。PAP技术被证明在灵敏度上以及在对更精细的组织学和细胞学特征的研究方面都大大优于基于异硫氰酸荧光素(FITC)的技术。淋巴滤泡显示有三个不同区域,两个构成滤泡中心(区域(a)和(b)),第三个(区域(c))是淋巴细胞帽。Ig合成似乎始于区域(b)的细胞。所有扁桃体中均存在IgG、IgA、IgM、IgE和IgD,其中IgG占主导,这证实扁桃体与淋巴结的相似性高于与消化道淋巴组织的相似性。一些滤泡含有不止一种类型的Ig。扁桃体似乎有一个发育良好的T细胞依赖区,淋巴滤泡构成B细胞区。扁桃体的结构似乎便于其淋巴组织与隐窝中的抗原接触,据推测,隐窝上皮内的一些T细胞在与抗原接触后,可能通过输出淋巴管离开扁桃体,并经胸导管进入外周循环,而其他致敏T细胞则在滤泡中心与B细胞相互作用。然后一些B细胞可能开始合成免疫球蛋白,而其他B细胞则在滤泡的淋巴细胞“帽”中成为记忆细胞。

https://cdn.ncbi.nlm.nih.gov/pmc/blobs/0e20/1540878/305ca2353885/clinexpimmunol00236-0118-c.jpg
https://cdn.ncbi.nlm.nih.gov/pmc/blobs/0e20/1540878/2712b38903d4/clinexpimmunol00236-0114-a.jpg
https://cdn.ncbi.nlm.nih.gov/pmc/blobs/0e20/1540878/4e018cebb83d/clinexpimmunol00236-0115-a.jpg
https://cdn.ncbi.nlm.nih.gov/pmc/blobs/0e20/1540878/773f46fd4c02/clinexpimmunol00236-0115-b.jpg
https://cdn.ncbi.nlm.nih.gov/pmc/blobs/0e20/1540878/23db29feab22/clinexpimmunol00236-0116-a.jpg
https://cdn.ncbi.nlm.nih.gov/pmc/blobs/0e20/1540878/be5c51edfcb1/clinexpimmunol00236-0116-b.jpg
https://cdn.ncbi.nlm.nih.gov/pmc/blobs/0e20/1540878/a7c1602fb219/clinexpimmunol00236-0116-c.jpg
https://cdn.ncbi.nlm.nih.gov/pmc/blobs/0e20/1540878/6f4ff0d76c64/clinexpimmunol00236-0117-a.jpg
https://cdn.ncbi.nlm.nih.gov/pmc/blobs/0e20/1540878/e1c9e468694f/clinexpimmunol00236-0118-a.jpg
https://cdn.ncbi.nlm.nih.gov/pmc/blobs/0e20/1540878/f8bbf9e8597c/clinexpimmunol00236-0118-b.jpg
https://cdn.ncbi.nlm.nih.gov/pmc/blobs/0e20/1540878/305ca2353885/clinexpimmunol00236-0118-c.jpg
https://cdn.ncbi.nlm.nih.gov/pmc/blobs/0e20/1540878/2712b38903d4/clinexpimmunol00236-0114-a.jpg
https://cdn.ncbi.nlm.nih.gov/pmc/blobs/0e20/1540878/4e018cebb83d/clinexpimmunol00236-0115-a.jpg
https://cdn.ncbi.nlm.nih.gov/pmc/blobs/0e20/1540878/773f46fd4c02/clinexpimmunol00236-0115-b.jpg
https://cdn.ncbi.nlm.nih.gov/pmc/blobs/0e20/1540878/23db29feab22/clinexpimmunol00236-0116-a.jpg
https://cdn.ncbi.nlm.nih.gov/pmc/blobs/0e20/1540878/be5c51edfcb1/clinexpimmunol00236-0116-b.jpg
https://cdn.ncbi.nlm.nih.gov/pmc/blobs/0e20/1540878/a7c1602fb219/clinexpimmunol00236-0116-c.jpg
https://cdn.ncbi.nlm.nih.gov/pmc/blobs/0e20/1540878/6f4ff0d76c64/clinexpimmunol00236-0117-a.jpg
https://cdn.ncbi.nlm.nih.gov/pmc/blobs/0e20/1540878/e1c9e468694f/clinexpimmunol00236-0118-a.jpg
https://cdn.ncbi.nlm.nih.gov/pmc/blobs/0e20/1540878/f8bbf9e8597c/clinexpimmunol00236-0118-b.jpg
https://cdn.ncbi.nlm.nih.gov/pmc/blobs/0e20/1540878/305ca2353885/clinexpimmunol00236-0118-c.jpg

相似文献

1
Immunoglobulin-containing cells in human tonsils as demonstrated by immunohistochemistry.通过免疫组织化学显示的人扁桃体中含免疫球蛋白的细胞。
Clin Exp Immunol. 1977 Apr;28(1):103-15.
2
Immunoglobulin systems of human tonsils. II. Patients with chronic tonsillitis or tonsillar hyperplasia: quantification of Ig-producing cells, tonsillar morphometry and serum Ig concentrations.人类扁桃体的免疫球蛋白系统。II. 慢性扁桃体炎或扁桃体增生患者:产生Ig细胞的定量、扁桃体形态测量及血清Ig浓度
Clin Exp Immunol. 1978 Mar;31(3):382-90.
3
Study of human T and B lymphocytes with heterologous antisera. III. Immunofluorescence studies on tonsil sections.用人源异源抗血清对T和B淋巴细胞的研究。III. 扁桃体切片的免疫荧光研究。
Immunology. 1978 Sep;35(3):463-9.
4
[Comparative immunocytochemical studies of recurrent tonsillitis and infectious mononucleosis].[复发性扁桃体炎与传染性单核细胞增多症的比较免疫细胞化学研究]
HNO. 1985 Feb;33(2):75-83.
5
Hodgkin's disease: an immunohistochemical and histological study.霍奇金淋巴瘤:一项免疫组织化学与组织学研究。
J Pathol. 1978 May;125(1):39-51. doi: 10.1002/path.1711250107.
6
A study of immunoglobulin classes present on the membrane and in the cytoplasm of human tonsil plasma cells.对人扁桃体浆细胞膜上和细胞质中存在的免疫球蛋白类别的研究。
Eur J Immunol. 1976 Aug;6(8):562-5. doi: 10.1002/eji.1830060807.
7
[Detection of immunoglobulins in pharyngeal tonsillar tissue by direct immunofluorescence technique (author's transl)].用直接免疫荧光技术检测咽扁桃体组织中的免疫球蛋白(作者译)
Allerg Immunol (Leipz). 1977;23(2):79-83.
8
Immunohistologic localization and immune phenotypes of lymphocytes expressing Tac antigen in human lymphoid tissues.人淋巴组织中表达Tac抗原的淋巴细胞的免疫组织学定位及免疫表型
J Immunol. 1984 Dec;133(6):2996-3000.
9
Rosette formation with mouse erythrocytes. IV. T, B and third population cells in human tonsils.与小鼠红细胞形成玫瑰花结。IV. 人类扁桃体中的T细胞、B细胞和第三类细胞。
Clin Exp Immunol. 1977 May;28(2):347-51.
10
[Lymphocyte sub-populations and immunoglobulin concentrations in palatine and fancial tonsils (author's transl)].腭扁桃体和咽扁桃体中的淋巴细胞亚群及免疫球蛋白浓度(作者译)
Laryngol Rhinol Otol (Stuttg). 1979 Jan;58(1):12-4.

引用本文的文献

1
Spatially resolved 3D metabolomic profiling in tissues.组织中空间分辨的 3D 代谢组学分析。
Sci Adv. 2021 Jan 27;7(5). doi: 10.1126/sciadv.abd0957. Print 2021 Jan.
2
Plasma cells, plasmablasts, and AID/CD30 B lymphoblasts inside and outside germinal centres: details of the basal light zone and the outer zone in human palatine tonsils.生发中心内外的浆细胞、浆母细胞和 AID/CD30+B 淋巴母细胞:人腭扁桃体基底部亮区和外区的详细特征。
Histochem Cell Biol. 2020 Jul;154(1):55-75. doi: 10.1007/s00418-020-01861-1. Epub 2020 Mar 14.
3
Characteristic distribution of immunoglobulin-containing cells in palatine tonsils.

本文引用的文献

1
A stain for fungi in tissue sections and smears using Gomori's methenamine-silver nitrate technic.一种使用戈莫里甲萘胺银硝酸盐技术对组织切片和涂片进行真菌染色的方法。
Am J Clin Pathol. 1955 Aug;25(8):975-9. doi: 10.1093/ajcp/25.8_ts.0975.
2
THE NORMAL HUMAN INTESTINAL MUCOSA AS A MAJOR SOURCE OF PLASMA CELLS CONTAINING GAMMA-A-IMMUNOGLOBULIN.正常人体肠道黏膜是含γ-A免疫球蛋白浆细胞的主要来源。
Lab Invest. 1965 Mar;14:235-48.
3
Antibody production by single cells.单细胞的抗体产生。
腭扁桃体中含免疫球蛋白细胞的特征性分布。
Folia Microbiol (Praha). 1981;26(3):253-9. doi: 10.1007/BF02927432.
4
Plasma cell counts on human jejunal biopsy specimens examined by immunofluorescence and immunoperoxidase techniques: a comparative study.通过免疫荧光和免疫过氧化物酶技术检测的人空肠活检标本中的浆细胞计数:一项比较研究。
J Clin Pathol. 1981 Apr;34(4):381-5. doi: 10.1136/jcp.34.4.381.
5
Influence of clearing agent on immunohistochemical staining of paraffin-embedded tissue.透明剂对石蜡包埋组织免疫组化染色的影响。
J Clin Pathol. 1981 Jan;34(1):103-5. doi: 10.1136/jcp.34.1.103.
6
Effects of fixation and processing on immunohistochemical demonstration of immunoglobulin in paraffin sections of tonsil and bone marrow.固定和处理对扁桃体及骨髓石蜡切片中免疫球蛋白免疫组织化学显示的影响。
J Clin Pathol. 1980 Nov;33(11):1047-57. doi: 10.1136/jcp.33.11.1047.
7
An immunohistological study of human lymphoma.人类淋巴瘤的免疫组织学研究。
Clin Exp Immunol. 1980 May;40(2):235-48.
8
Identification of cells expressing T and p28,33 (Ia-like) antigens in sections of human lymphoid tissue.在人类淋巴组织切片中鉴定表达T抗原和p28,33(类Ia)抗原的细胞。
Clin Exp Immunol. 1980 Jan;39(1):66-75.
9
Biosynthesis of the complement components and the regulatory proteins of the alternative complement pathway by human peripheral blood monocytes.人外周血单核细胞对补体成分及替代补体途径调节蛋白的生物合成
J Exp Med. 1980 Mar 1;151(3):501-16. doi: 10.1084/jem.151.3.501.
10
The emigration of lymphocytes from palatine tonsils after local labelling.局部标记后腭扁桃体淋巴细胞的迁出。
Arch Otorhinolaryngol. 1984;240(1):7-13. doi: 10.1007/BF00464338.
Nature. 1958 Nov 15;182(4646):1383-4. doi: 10.1038/1821383a0.
4
Effects of varying the vehicle for OsO4 in tissue fixation.改变用于组织固定的四氧化锇载体的效果。
J Biophys Biochem Cytol. 1957 Sep 25;3(5):827-30. doi: 10.1083/jcb.3.5.827.
5
Antigens in immunity. XIV. Electron microscopic radioautographic studies of antigen capture in the lymph node medulla.免疫中的抗原。十四。淋巴结髓质中抗原捕获的电子显微镜放射自显影研究。
J Exp Med. 1968 Feb 1;127(2):263-76. doi: 10.1084/jem.127.2.263.
6
Antigens in immunity. XVI. A light and electron microscope study of antigen localization in the rat spleen.免疫中的抗原。十六。大鼠脾脏中抗原定位的光镜和电镜研究。
Immunology. 1971 Aug;21(2):207-24.
7
The influence of different fixatives and fixation methods on the ultrastructure of rat kidney proximal tubule cells. I. Comparison of different perfusion fixation methods and of glutaraldehyde, formaldehyde and osmium tetroxide fixatives.不同固定剂和固定方法对大鼠肾近端小管细胞超微结构的影响。I. 不同灌注固定方法以及戊二醛、甲醛和四氧化锇固定剂的比较。
J Ultrastruct Res. 1966 Jun;15(3):242-82. doi: 10.1016/s0022-5320(66)80109-0.
8
Peroxidase conjugates for demonstration of tissue antibodies: evaluation of the technique.用于显示组织抗体的过氧化物酶结合物:技术评估
Clin Exp Immunol. 1971 Sep;9(3):407-18.
9
Lymphocytes and the immune response. 2.淋巴细胞与免疫反应。2.
N Engl J Med. 1971 Aug 12;285(7):378-84. doi: 10.1056/NEJM197108122850705.
10
A study of the localisation of a protein antigen in the chicken spleen and its relation to the formation of germinal centres.一项关于鸡脾脏中蛋白质抗原定位及其与生发中心形成关系的研究。
J Med Microbiol. 1970 Feb;3(1):65-83. doi: 10.1099/00222615-3-1-65.