Suppr超能文献

中国武汉以外地区 2019 年冠状病毒病(COVID-19)患者的临床特征:一项病例对照研究。

Clinical characteristics of coronavirus disease 2019 (COVID-19) in patients out of Wuhan from China: a case control study.

机构信息

Present Address: Department of Pulmonary and Critical Care Medicine, Baoji Central Hospital, No. 8 Jiangtan Rd, Baoji, 721008, Shaanxi, China.

Department of Infectious Diseases, Baoji Central Hospital, Baoji, 721008, Shaanxi, China.

出版信息

BMC Infect Dis. 2021 Feb 24;21(1):207. doi: 10.1186/s12879-021-05897-z.

Abstract

BACKGROUND

A large-scale global outbreak of coronavirus disease-19 (COVID-19) out of Wuhan, from China, occurred in January 2020. To examine the clinical characteristics of COVID-19 in infected patients out of Wuhan, from China.

METHODS

Thirteen patients were confirmed to be infected with novel coronavirus-2019 (2019-nCoV) between January 27 and February 8, 2020, in Baoji city, Shannxi, northwestern China. Epidemiological and clinical information, and computed to morphology imaging data from all COVID-19 patients were collected; cases were divided into two groups according to the severity of infection (mild or severe).

RESULTS

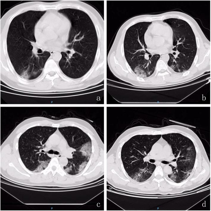
Nine (9/13) COVID-19 patients exhibited mild disease severity, and defined as second-generation human-to-human transmission cases. Most patients (11/13) had a history of travel to or from Wuhan. There were no differences in sex and age between the mild and severe cases (all P > 0.05). A moderate degree of fever (11/13), cough (13/13), and fatigue (8/13) were common symptoms; however, there was no statistical difference between mild and severe cases in this regard (all P > 0.05). Oxyhemoglobin saturation and oxygenation index decreased, and C-reactive protein (CRP) and serum amyloid A (SAA) levels were elevated in all patients with COVID-19 infection, with statistically significant differences between those with severe disease and mild infection (all P < 0.05). Twelve of 13 COVID-19 patients exhibited changes in chest CT imaging features, and time course changes were different between mild and severe cases (all P < 0.05).

CONCLUSION

Most cases of COVID-19 infection were second-generation human-to-human transmissions from Wuhan and were mild in severity. The clinical characteristics of COVID-19 varied. Oxyhemoglobin saturation, oxygenation index, CRP and SAA levels, and CT features were reliable parameters to evaluate the severity of COVID-19 infection. However, a few patients with mild COVID-19 disease lacked typical characteristics such as fever and changes in CT imaging features.

摘要

背景

2020 年 1 月,一种源自中国武汉的新型冠状病毒病(COVID-19)在全球范围内大规模爆发。为了研究中国武汉 COVID-19 感染患者的临床特征。

方法

2020 年 1 月 27 日至 2 月 8 日,在中国西北部陕西省宝鸡市确诊了 13 例新型冠状病毒-2019(2019-nCoV)感染病例。收集了所有 COVID-19 患者的流行病学和临床信息以及计算机断层成像数据;根据感染严重程度(轻症或重症)将病例分为两组。

结果

9 例(9/13)COVID-19 患者表现为轻症,定义为第二代人传人传播病例。大多数患者(11/13)有武汉旅行史或居住史。轻症和重症患者在性别和年龄上无差异(均 P>0.05)。中等程度发热(11/13)、咳嗽(13/13)和乏力(8/13)是常见症状;但轻症和重症患者在这方面无统计学差异(均 P>0.05)。所有 COVID-19 感染患者的血氧饱和度和氧合指数下降,C 反应蛋白(CRP)和血清淀粉样蛋白 A(SAA)水平升高,重症患者与轻症患者相比差异有统计学意义(均 P<0.05)。13 例 COVID-19 患者中有 12 例胸部 CT 影像学特征发生变化,轻症和重症患者的病程变化不同(均 P<0.05)。

结论

大多数 COVID-19 感染病例为武汉二代人传人传播,且病情较轻。COVID-19 的临床特征各不相同。血氧饱和度、氧合指数、CRP 和 SAA 水平及 CT 特征是评估 COVID-19 感染严重程度的可靠参数。但少数轻症 COVID-19 患者缺乏发热等典型特征和 CT 影像学特征变化。

https://cdn.ncbi.nlm.nih.gov/pmc/blobs/4d9f/7903676/094ca3ad6701/12879_2021_5897_Fig1_HTML.jpg

文献检索

告别复杂PubMed语法,用中文像聊天一样搜索,搜遍4000万医学文献。AI智能推荐,让科研检索更轻松。

立即免费搜索

文件翻译

保留排版,准确专业,支持PDF/Word/PPT等文件格式,支持 12+语言互译。

免费翻译文档

深度研究

AI帮你快速写综述,25分钟生成高质量综述,智能提取关键信息,辅助科研写作。

立即免费体验