• 文献检索
  • 文档翻译
  • 深度研究
  • 学术资讯
  • Suppr Zotero 插件Zotero 插件
  • 邀请有礼
  • 套餐&价格
  • 历史记录
应用&插件
Suppr Zotero 插件Zotero 插件浏览器插件Mac 客户端Windows 客户端微信小程序
定价
高级版会员购买积分包购买API积分包
服务
文献检索文档翻译深度研究API 文档MCP 服务
关于我们
关于 Suppr公司介绍联系我们用户协议隐私条款
关注我们

Suppr 超能文献

核心技术专利:CN118964589B侵权必究
粤ICP备2023148730 号-1Suppr @ 2026

文献检索

告别复杂PubMed语法,用中文像聊天一样搜索,搜遍4000万医学文献。AI智能推荐,让科研检索更轻松。

立即免费搜索

文件翻译

保留排版,准确专业,支持PDF/Word/PPT等文件格式,支持 12+语言互译。

免费翻译文档

深度研究

AI帮你快速写综述,25分钟生成高质量综述,智能提取关键信息,辅助科研写作。

立即免费体验

HPV 感染上调尖锐湿疣中 ZNT-1 的表达。

HPV infection upregulates the expression of ZNT-1 in condyloma acuminatum.

机构信息

Department of Pathology, Zhongnan Hospital of Wuhan University, Wuhan.

Hubei Cancer Clinical Study Centre and Hubei Key Laboratory of Tumor Biological Behaviors, Zhongnan Hospital, Wuhan University, Wuhan.

出版信息

Eur J Histochem. 2021 Apr 28;65(2):3228. doi: 10.4081/ejh.2021.3228.

DOI:10.4081/ejh.2021.3228
PMID:33908744
原文链接:https://pmc.ncbi.nlm.nih.gov/articles/PMC8103779/
Abstract

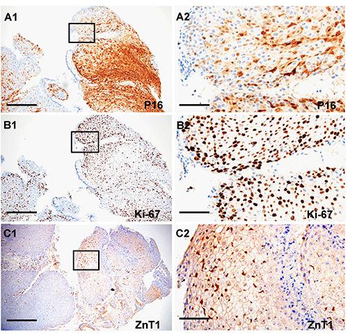
Condyloma acuminata (CA) are benign anogenital warts caused by human papillomavirus (HPV) infection with a high recurrence rate. Despite its high contagiousness, high recurrence rate and potential for malignant transformation, effective treatments for CA have not yet been developed. Accordingly, it is necessary to clarify the mechanisms underlying CA development. Zinc (Zn) is stably maintained in the weight of human body. Skin is the third most Zn-abundant tissue in the body. Zn is present as a divalent ion (Zn2+) in cells and does not need a redox reaction upon crossing the cellular membrane. Zn transporters (ZnTs; SLC30A) and Irt-like proteins (ZIPs; SLC39A) are involved in Zn2+ efflux and uptake, respectively. ZnT1 is one of the ZnTs, which associates with the development of HPV. However, the role of ZnT1 regulation in the CA caused by HPV infection remains unknown. A multigroup case-control study was designed to investigate the expression and significance of the ZnT1 in patients with CA infected with HPV and in normal vulva controls. ZnT1 was assessed by immunohistochemistry in 44 patients with CA at Zhongnan Hospital of Wuhan University 2019-2020. Samples were analyzed by paraffin embedding and sectioning and hematoxylin-eosin and immunohistochemical staining. Immunohistochemical methods detected specific, dark brown, positive staining of ZnT1 in the keratinocytes of epidermis. We verified that the expression levels of ZnT1 that interact with HPV were upregulated in the CA groups independently of genotype compared with the control group. And then we found that the HPV risk grade in CA patients has a certain correlation with ZnT1 expression. These findings showed that HPV infection upregulated the expression of ZnT1 in CA. Additionally, there were obvious differences in the expression of ZnT1 between the different HPV risk grade infection groups. The higher the HPV risk grade, the stronger the ZNT1 protein expression. This study provided new insights into the sign pathway to HPV infection.

摘要

尖锐湿疣(CA)是由人乳头瘤病毒(HPV)感染引起的良性肛门生殖器疣,具有较高的复发率。尽管 CA 具有高度传染性、高复发率和潜在的恶性转化风险,但尚未开发出有效的 CA 治疗方法。因此,有必要阐明 CA 发病机制。锌(Zn)在人体体重中稳定维持。皮肤是人体中第三大富含 Zn 的组织。Zn 以二价离子(Zn2+)的形式存在于细胞中,穿过细胞膜时不需要氧化还原反应。Zn 转运蛋白(ZnTs;SLC30A)和 Irt 样蛋白(ZIPs;SLC39A)分别参与 Zn2+的外排和摄取。ZnT1 是 ZnTs 之一,与 HPV 的发育有关。然而,ZnT1 调节在 HPV 感染引起的 CA 中的作用尚不清楚。设计了一项多组病例对照研究,以调查 HPV 感染患者和正常外阴对照中 ZnT1 的表达和意义。2019-2020 年,武汉大学中南医院对 44 例 CA 患者进行了 ZnT1 免疫组化评估。通过石蜡包埋和切片、苏木精-伊红和免疫组织化学染色对样本进行分析。免疫组织化学方法检测到表皮角蛋白细胞中 ZnT1 的特异性、深棕色、阳性染色。我们验证了与 HPV 相互作用的 ZnT1 表达水平在 CA 组中独立于基因型而上调,与对照组相比。然后我们发现 CA 患者的 HPV 风险等级与 ZnT1 表达有一定的相关性。这些发现表明 HPV 感染上调了 CA 中 ZnT1 的表达。此外,不同 HPV 风险等级感染组之间 ZnT1 的表达存在明显差异。HPV 风险等级越高,ZNT1 蛋白表达越强。本研究为 HPV 感染的信号通路提供了新的见解。

https://cdn.ncbi.nlm.nih.gov/pmc/blobs/17a0/8103779/d983834f569c/ejh-65-2-3228-g002.jpg
https://cdn.ncbi.nlm.nih.gov/pmc/blobs/17a0/8103779/59d4f84d32ec/ejh-65-2-3228-g001.jpg
https://cdn.ncbi.nlm.nih.gov/pmc/blobs/17a0/8103779/d983834f569c/ejh-65-2-3228-g002.jpg
https://cdn.ncbi.nlm.nih.gov/pmc/blobs/17a0/8103779/59d4f84d32ec/ejh-65-2-3228-g001.jpg
https://cdn.ncbi.nlm.nih.gov/pmc/blobs/17a0/8103779/d983834f569c/ejh-65-2-3228-g002.jpg

相似文献

1
HPV infection upregulates the expression of ZNT-1 in condyloma acuminatum.HPV 感染上调尖锐湿疣中 ZNT-1 的表达。
Eur J Histochem. 2021 Apr 28;65(2):3228. doi: 10.4081/ejh.2021.3228.
2
HPV Infection Downregulates the Expression of Autophagy-Related Genes in Condylomata Acuminata.HPV 感染下调尖锐湿疣中与自噬相关基因的表达。
Dermatology. 2019;235(5):418-425. doi: 10.1159/000500401. Epub 2019 Jun 26.
3
Accumulation of different metals in oyster Crassostrea gigas: Significance and specificity of SLC39A (ZIP) and SLC30A (ZnT) gene families and polymorphism variation.牡蛎 Crassostrea gigas 中不同金属的积累:SLC39A(ZIP)和 SLC30A(ZnT)基因家族的意义和特异性及多态性变化。
Environ Pollut. 2021 May 1;276:116706. doi: 10.1016/j.envpol.2021.116706. Epub 2021 Feb 8.
4
Expression of Wnt-1 and TSLC1 in condyloma acuminatum.Wnt-1 和 TSLC1 在尖锐湿疣中的表达。
Clin Exp Dermatol. 2019 Aug;44(6):620-624. doi: 10.1111/ced.13862. Epub 2019 Feb 21.
5
ZNT1 Regulates the Proliferation, Migration and Invasion of HaCaT Cells Infected with HPV Through the PI3K/Akt Pathway.锌转运蛋白1通过PI3K/Akt信号通路调控人乳头瘤病毒感染的HaCaT细胞的增殖、迁移与侵袭
Indian J Dermatol. 2024 Mar-Apr;69(2):201. doi: 10.4103/ijd.ijd_775_23. Epub 2024 Apr 29.
6
Local expression of TAP-1 and MHC-I molecules and their relationship in condyloma acuminatum.TAP-1和MHC-I分子在尖锐湿疣中的局部表达及其关系
Clin Exp Dermatol. 2007 Sep;32(5):550-5. doi: 10.1111/j.1365-2230.2007.02455.x. Epub 2007 May 29.
7
ZnT1 is a neuronal Zn/Ca exchanger.ZnT1 是一种神经元锌/钙交换器。
Cell Calcium. 2022 Jan;101:102505. doi: 10.1016/j.ceca.2021.102505. Epub 2021 Nov 23.
8
Significance of SHP-1 and SHP-2 expression in human papillomavirus infected Condyloma acuminatum and cervical cancer.SHP-1和SHP-2表达在人乳头瘤病毒感染的尖锐湿疣和宫颈癌中的意义
Pathol Oncol Res. 2008 Dec;14(4):365-71. doi: 10.1007/s12253-008-9065-5. Epub 2008 Jun 10.
9
Distribution of Human Papillomavirus Genotype in Anal Condyloma Acuminatum Among Japanese Men: The Higher Prevalence of High Risk Human Papillomavirus in Men Who Have Sex with Men with HIV Infection.日本男性肛门尖锐湿疣中人乳头瘤病毒基因型的分布:感染HIV的男男性行为者中高危人乳头瘤病毒的高流行率。
AIDS Res Hum Retroviruses. 2018 Apr;34(4):375-381. doi: 10.1089/AID.2017.0197. Epub 2018 Mar 13.
10
Atypical morphology of anogenital warts is not a marker of atypical histology or of infection to the high-risk human papillomavirus genotypes.肛门生殖器疣的非典型形态不是非典型组织学或高危型人乳头瘤病毒感染的标志物。
Int J Dermatol. 2017 Oct;56(10):1017-1021. doi: 10.1111/ijd.13711. Epub 2017 Jul 25.

引用本文的文献

1
ZNT1 Regulates the Proliferation, Migration and Invasion of HaCaT Cells Infected with HPV Through the PI3K/Akt Pathway.锌转运蛋白1通过PI3K/Akt信号通路调控人乳头瘤病毒感染的HaCaT细胞的增殖、迁移与侵袭
Indian J Dermatol. 2024 Mar-Apr;69(2):201. doi: 10.4103/ijd.ijd_775_23. Epub 2024 Apr 29.

本文引用的文献

1
Discrepancy of p16 immunohistochemical expression and HPV RNA in penile cancer. A multiplex in situ hybridization/immunohistochemistry approach study.阴茎癌中p16免疫组化表达与HPV RNA的差异:一项多重原位杂交/免疫组化方法研究
Infect Agent Cancer. 2021 Mar 31;16(1):22. doi: 10.1186/s13027-021-00361-8.
2
Relationship of P16 and Ki67 in recurrence of HPV infection and cervical intraepithelial neoplasia.P16与Ki67在人乳头瘤病毒感染复发及宫颈上皮内瘤变中的关系
Int J Clin Exp Pathol. 2020 Dec 1;13(12):3174-3180. eCollection 2020.
3
Comparison between anal cytology, high-resolution anoscopy and HPV DNA genotyping by polymerase chain reaction in the post-treatment follow-up of condylomata acuminata.
Rev Col Bras Cir. 2020;47:e20202543. doi: 10.1590/0100-6991e-20202543. Epub 2020 Jul 3.
4
Transcriptome analysis of HPV-induced warts and healthy skin in humans.人乳头瘤病毒(HPV)诱发的疣和健康皮肤的转录组分析。
BMC Med Genomics. 2020 Mar 9;13(1):35. doi: 10.1186/s12920-020-0700-7.
5
The contribution of Latin American research to HPV epidemiology and natural history knowledge.拉丁美洲研究对 HPV 流行病学和自然史知识的贡献。
Braz J Med Biol Res. 2020 Jan 31;53(2):e9560. doi: 10.1590/1414-431X20199560. eCollection 2020.
6
Human papilloma virus related squamous cell carcinomas of the head and neck: diagnosis, clinical implications and detection of HPV.人乳头瘤病毒相关的头颈部鳞状细胞癌:诊断、临床意义和 HPV 的检测。
Pathology. 2020 Feb;52(2):179-191. doi: 10.1016/j.pathol.2019.10.008. Epub 2019 Dec 27.
7
Effects of Zinc Supplementation on Inflammatory Skin Diseases: A Systematic Review of the Clinical Evidence.锌补充剂对炎症性皮肤疾病的影响:临床证据的系统评价。
Am J Clin Dermatol. 2020 Feb;21(1):21-39. doi: 10.1007/s40257-019-00484-0.
8
Co-occurrence of human papillomavirus (HPV) in newborns and their parents.新生儿及其父母人乳头瘤病毒(HPV)的共同感染。
BMC Infect Dis. 2019 Nov 4;19(1):930. doi: 10.1186/s12879-019-4503-4.
9
Effect of 5-aminolevulinic acid photodynamic therapy on the expression of apoptosis inhibitors Bcl-2 and Survivin in keratinocytes of condyloma acuminatum.5-氨基酮戊酸光动力疗法对尖锐湿疣皮损中凋亡抑制因子 Bcl-2 和 Survivin 表达的影响。
Photodiagnosis Photodyn Ther. 2019 Dec;28:53-57. doi: 10.1016/j.pdpdt.2019.07.018. Epub 2019 Jul 23.
10
Regression of giant condyloma acuminata after one dose of 9-valent human papillomavirus (HPV) vaccine.一剂9价人乳头瘤病毒(HPV)疫苗后巨大尖锐湿疣消退
Int J Dermatol. 2019 Dec;58(12):e245-e247. doi: 10.1111/ijd.14580. Epub 2019 Jul 23.