Ku Jeong-Kui, Kim Il-Hyung, Um In-Woong, Kim Bo-Hyun, Yun Pil-Young
Department of Oral and Maxillofacial Surgery, Gangnam Severance Hospital, Yonsei University College of Dentistry, Seoul 06273, Korea.
Department of Oral and Maxillofacial Surgery, Armed Forces Capital Hospital, Armed Forces Medical Command, Seongnam-si 13574, Korea.
J Funct Biomater. 2022 Jan 31;13(1):14. doi: 10.3390/jfb13010014.
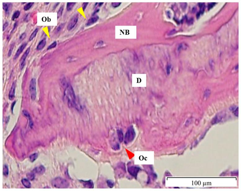
Demineralized dentin matrix (DDM) treated with gamma irradiation (GR) has shown promising results as an allograft without any adverse effects in in vivo and clinical studies. The purpose of this study was to evaluate the effects of 15 and 25 kGy GR on the osteoinductive properties of DDM at extra-skeletal sites. As a control group, non-irradiated DDM powder was implanted into the right subcutaneous tissues of the dorsal thigh muscles of 20 nude mice. DDM powder irradiated with 15 and 25 kGy was implanted into the left side. After two and four weeks, the bone mineral density (BMD) was measured with dual-energy X-ray absorptiometry. After confirming osteoblast- and osteoclast-specific activities by alkaline phosphatase (ALP) and tartrate-resistant acid phosphatase (TRAP) staining, a histological analysis was performed to measure the new bone formation and the number of osteoblasts and osteoclast-like cells on the surface of the DDMs. Histomorphometry was used to calculate the new bone formation area on the surface of the DDM particles (DDMs). The BMD in all the groups increased from two and four weeks without statistically significant differences. The osteoblasts were dominantly activated on DDM without GR, and DDM treated with 25 kGy compared to DDM treated with 15 kGy. Among the groups, new bone formation was identified in all the groups at each time point. In conclusion, GR at doses of 15 and 25 kGy does not affect the osteoinductive properties of DDM powder.
经伽马射线照射(GR)处理的脱矿牙本质基质(DDM)在体内和临床研究中作为同种异体移植物已显示出有前景的结果,且无任何不良影响。本研究的目的是评估15 kGy和25 kGy的GR对DDM在骨骼外部位的骨诱导特性的影响。作为对照组,将未照射的DDM粉末植入20只裸鼠大腿背侧肌肉的右侧皮下组织。将经15 kGy和25 kGy照射的DDM粉末植入左侧。在两周和四周后,用双能X线吸收法测量骨密度(BMD)。通过碱性磷酸酶(ALP)和抗酒石酸酸性磷酸酶(TRAP)染色确认成骨细胞和破骨细胞特异性活性后,进行组织学分析以测量DDM表面的新骨形成以及成骨细胞和破骨细胞样细胞的数量。组织形态计量学用于计算DDM颗粒(DDMs)表面的新骨形成面积。所有组的BMD在两周和四周时均增加,无统计学显著差异。与15 kGy处理的DDM相比,未照射GR的DDM以及25 kGy处理的DDM上的成骨细胞被显著激活。在所有组中,在每个时间点均发现有新骨形成。总之,15 kGy和25 kGy剂量的GR不影响DDM粉末的骨诱导特性。