• 文献检索
  • 文档翻译
  • 深度研究
  • 学术资讯
  • Suppr Zotero 插件Zotero 插件
  • 邀请有礼
  • 套餐&价格
  • 历史记录
应用&插件
Suppr Zotero 插件Zotero 插件浏览器插件Mac 客户端Windows 客户端微信小程序
定价
高级版会员购买积分包购买API积分包
服务
文献检索文档翻译深度研究API 文档MCP 服务
关于我们
关于 Suppr公司介绍联系我们用户协议隐私条款
关注我们

Suppr 超能文献

核心技术专利:CN118964589B侵权必究
粤ICP备2023148730 号-1Suppr @ 2026

文献检索

告别复杂PubMed语法,用中文像聊天一样搜索,搜遍4000万医学文献。AI智能推荐,让科研检索更轻松。

立即免费搜索

文件翻译

保留排版,准确专业,支持PDF/Word/PPT等文件格式,支持 12+语言互译。

免费翻译文档

深度研究

AI帮你快速写综述,25分钟生成高质量综述,智能提取关键信息,辅助科研写作。

立即免费体验

机器学习根据其对神经回路的影响来识别实验性脑转移亚型。

Machine learning identifies experimental brain metastasis subtypes based on their influence on neural circuits.

机构信息

Instituto Cajal, CSIC, 28002 Madrid, Spain.

Brain Metastasis Group, CNIO, 28029 Madrid, Spain.

出版信息

Cancer Cell. 2023 Sep 11;41(9):1637-1649.e11. doi: 10.1016/j.ccell.2023.07.010. Epub 2023 Aug 30.

DOI:10.1016/j.ccell.2023.07.010
PMID:37652007
原文链接:https://pmc.ncbi.nlm.nih.gov/articles/PMC10507426/
Abstract

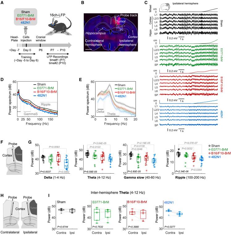
A high percentage of patients with brain metastases frequently develop neurocognitive symptoms; however, understanding how brain metastasis co-opts the function of neuronal circuits beyond a tumor mass effect remains unknown. We report a comprehensive multidimensional modeling of brain functional analyses in the context of brain metastasis. By testing different preclinical models of brain metastasis from various primary sources and oncogenic profiles, we dissociated the heterogeneous impact on local field potential oscillatory activity from cortical and hippocampal areas that we detected from the homogeneous inter-model tumor size or glial response. In contrast, we report a potential underlying molecular program responsible for impairing neuronal crosstalk by scoring the transcriptomic and mutational profiles in a model-specific manner. Additionally, measurement of various brain activity readouts matched with machine learning strategies confirmed model-specific alterations that could help predict the presence and subtype of metastasis.

摘要

大量脑转移患者常出现神经认知症状;然而,对于脑转移如何通过肿瘤质量效应以外的机制来改变神经元回路的功能,目前仍不清楚。我们报告了脑转移背景下脑功能的综合多维建模。通过测试来自不同原发灶和致癌特征的不同脑转移的临床前模型,我们将局部场电势振荡活动的异质性影响与从同质模型间肿瘤大小或神经胶质反应中检测到的皮质和海马区域区分开来。相比之下,我们通过以模型特异性的方式对转录组和突变谱进行评分,报告了一个潜在的负责损害神经元串扰的分子程序。此外,各种脑活动读数的测量与机器学习策略相匹配,证实了模型特异性的改变,这有助于预测转移的存在和亚型。

https://cdn.ncbi.nlm.nih.gov/pmc/blobs/b60c/10507426/ddf4e5922263/gr5.jpg
https://cdn.ncbi.nlm.nih.gov/pmc/blobs/b60c/10507426/cee926605b17/fx1.jpg
https://cdn.ncbi.nlm.nih.gov/pmc/blobs/b60c/10507426/68df8a48c70d/gr1.jpg
https://cdn.ncbi.nlm.nih.gov/pmc/blobs/b60c/10507426/87346cfb92df/gr2.jpg
https://cdn.ncbi.nlm.nih.gov/pmc/blobs/b60c/10507426/caa99cf02c1d/gr3.jpg
https://cdn.ncbi.nlm.nih.gov/pmc/blobs/b60c/10507426/89bb57ac0e61/gr4.jpg
https://cdn.ncbi.nlm.nih.gov/pmc/blobs/b60c/10507426/ddf4e5922263/gr5.jpg
https://cdn.ncbi.nlm.nih.gov/pmc/blobs/b60c/10507426/cee926605b17/fx1.jpg
https://cdn.ncbi.nlm.nih.gov/pmc/blobs/b60c/10507426/68df8a48c70d/gr1.jpg
https://cdn.ncbi.nlm.nih.gov/pmc/blobs/b60c/10507426/87346cfb92df/gr2.jpg
https://cdn.ncbi.nlm.nih.gov/pmc/blobs/b60c/10507426/caa99cf02c1d/gr3.jpg
https://cdn.ncbi.nlm.nih.gov/pmc/blobs/b60c/10507426/89bb57ac0e61/gr4.jpg
https://cdn.ncbi.nlm.nih.gov/pmc/blobs/b60c/10507426/ddf4e5922263/gr5.jpg

相似文献

1
Machine learning identifies experimental brain metastasis subtypes based on their influence on neural circuits.机器学习根据其对神经回路的影响来识别实验性脑转移亚型。
Cancer Cell. 2023 Sep 11;41(9):1637-1649.e11. doi: 10.1016/j.ccell.2023.07.010. Epub 2023 Aug 30.
2
De novo transcriptomic subtyping of colorectal cancer liver metastases in the context of tumor heterogeneity.结直肠癌肝转移肿瘤异质性背景下的从头转录组亚分型。
Genome Med. 2021 Sep 1;13(1):143. doi: 10.1186/s13073-021-00956-1.
3
Mutational profiling of brain metastasis from breast cancer: matched pair analysis of targeted sequencing between brain metastasis and primary breast cancer.乳腺癌脑转移的突变谱分析:脑转移灶与原发性乳腺癌靶向测序的配对分析。
Oncotarget. 2015 Dec 22;6(41):43731-42. doi: 10.18632/oncotarget.6192.
4
Machine learning approaches for prediction of early death among lung cancer patients with bone metastases using routine clinical characteristics: An analysis of 19,887 patients.利用常规临床特征预测肺癌伴骨转移患者早期死亡的机器学习方法:对 19887 例患者的分析。
Front Public Health. 2022 Oct 6;10:1019168. doi: 10.3389/fpubh.2022.1019168. eCollection 2022.
5
Mapping molecular subtype specific alterations in breast cancer brain metastases identifies clinically relevant vulnerabilities.绘制乳腺癌脑转移中分子亚型特异性改变图谱,确定具有临床相关性的脆弱性。
Nat Commun. 2022 Jan 26;13(1):514. doi: 10.1038/s41467-022-27987-5.
6
Predicting diagnosis and survival of bone metastasis in breast cancer using machine learning.利用机器学习预测乳腺癌的骨转移诊断和生存情况。
Sci Rep. 2023 Oct 25;13(1):18301. doi: 10.1038/s41598-023-45438-z.
7
Integrated genomic and transcriptomic analysis of human brain metastases identifies alterations of potential clinical significance.人脑转移瘤的综合基因组和转录组分析确定了具有潜在临床意义的改变。
J Pathol. 2015 Nov;237(3):363-78. doi: 10.1002/path.4583. Epub 2015 Aug 19.
8
KRAS mutation is associated with lung metastasis in patients with curatively resected colorectal cancer.KRAS 突变与可切除结直肠癌患者的肺转移有关。
Clin Cancer Res. 2011 Mar 1;17(5):1122-30. doi: 10.1158/1078-0432.CCR-10-1720. Epub 2011 Jan 14.
9
A simplified integrated molecular and immunohistochemistry-based algorithm allows high accuracy prediction of glioblastoma transcriptional subtypes.一种简化的整合分子和免疫组织化学的算法可以高度准确地预测胶质母细胞瘤的转录亚型。
Lab Invest. 2020 Oct;100(10):1330-1344. doi: 10.1038/s41374-020-0437-0. Epub 2020 May 13.
10
Novel models by machine learning to predict prognosis of breast cancer brain metastases.基于机器学习的新型模型预测乳腺癌脑转移的预后。
J Transl Med. 2023 Jun 21;21(1):404. doi: 10.1186/s12967-023-04277-2.

引用本文的文献

1
Role of intratumoral heterogeneity in metastatic progression and drug resistance.肿瘤内异质性在转移进展和耐药性中的作用。
Discov Oncol. 2025 Sep 18;16(1):1689. doi: 10.1007/s12672-025-03322-4.
2
Value of artificial intelligence in neuro-oncology.人工智能在神经肿瘤学中的价值。
Lancet Digit Health. 2025 Aug 8:100876. doi: 10.1016/j.landig.2025.100876.
3
Clinical Features, Molecular Biology, and the Metastatic Microenvironment in Lung Cancer Brain Metastases: Implications for Treatment Decisions.肺癌脑转移的临床特征、分子生物学及转移微环境:对治疗决策的影响

本文引用的文献

1
Cytokines as emerging regulators of central nervous system synapses.细胞因子作为中枢神经系统突触的新兴调节因子。
Immunity. 2023 May 9;56(5):914-925. doi: 10.1016/j.immuni.2023.04.011.
2
Glioblastoma remodelling of human neural circuits decreases survival.胶质母细胞瘤重塑人类神经回路会降低存活率。
Nature. 2023 May;617(7961):599-607. doi: 10.1038/s41586-023-06036-1. Epub 2023 May 3.
3
Artificial intelligence for multimodal data integration in oncology.人工智能在肿瘤学中用于多模态数据整合。
Adv Sci (Weinh). 2025 Sep;12(33):e02626. doi: 10.1002/advs.202502626. Epub 2025 Jul 28.
4
How Can Animal Models Advance Research into High Frequency Oscillations: Guidelines for Recording, Detection and Analysis.动物模型如何推动高频振荡研究:记录、检测与分析指南
Epilepsy Curr. 2025 Jun 9:15357597251336792. doi: 10.1177/15357597251336792.
5
Characterization of Bone Marrow-Derived Immune Compartment in Murine Brain Metastases by Spectral Flow Cytometry.利用光谱流式细胞术对小鼠脑转移中骨髓来源的免疫区室进行表征
Methods Mol Biol. 2025;2930:1-16. doi: 10.1007/978-1-0716-4558-1_1.
6
Cancer neuroscience and glioma: clinical implications.癌症神经科学与神经胶质瘤:临床意义
Acta Neurochir (Wien). 2025 Jan 3;167(1):2. doi: 10.1007/s00701-024-06406-2.
7
Vibrational fiber photometry: label-free and reporter-free minimally invasive Raman spectroscopy deep in the mouse brain.振动光纤光度法:无标记、无报告基因的微创拉曼光谱深入小鼠大脑。
Nat Methods. 2025 Feb;22(2):371-379. doi: 10.1038/s41592-024-02557-3. Epub 2024 Dec 31.
8
Systems immunology insights into brain metastasis.系统免疫学对脑转移的见解。
Trends Immunol. 2024 Nov;45(11):903-916. doi: 10.1016/j.it.2024.09.010. Epub 2024 Oct 22.
9
Investigation of a fluorescent reporter microenvironment niche labeling strategy in experimental brain metastasis.实验性脑转移中荧光报告基因微环境龛标记策略的研究
iScience. 2024 Jun 15;27(7):110284. doi: 10.1016/j.isci.2024.110284. eCollection 2024 Jul 19.
10
Multifaceted interactions between cancer cells and glial cells in brain metastasis.脑转移中癌细胞与神经胶质细胞的多方面相互作用。
Cancer Sci. 2024 Sep;115(9):2871-2878. doi: 10.1111/cas.16241. Epub 2024 Jul 11.
Cancer Cell. 2022 Oct 10;40(10):1095-1110. doi: 10.1016/j.ccell.2022.09.012.
4
Trastuzumab deruxtecan in HER2-positive breast cancer with brain metastases: a single-arm, phase 2 trial.曲妥珠单抗-德鲁替康治疗 HER2 阳性乳腺癌伴脑转移:一项单臂、2 期临床试验。
Nat Med. 2022 Sep;28(9):1840-1847. doi: 10.1038/s41591-022-01935-8. Epub 2022 Aug 8.
5
Glioblastoma hijacks neuronal mechanisms for brain invasion.胶质母细胞瘤利用神经元机制进行脑侵袭。
Cell. 2022 Aug 4;185(16):2899-2917.e31. doi: 10.1016/j.cell.2022.06.054. Epub 2022 Jul 31.
6
Brain Metastasis-A Distinct Oncologic Disease Best Served by an Integrated Multidisciplinary Team Approach.脑转移瘤——一种独特的肿瘤性疾病,最佳治疗方式是采用多学科综合治疗团队方法。
JAMA Oncol. 2022 Sep 1;8(9):1252-1254. doi: 10.1001/jamaoncol.2022.1928.
7
Stratification of radiosensitive brain metastases based on an actionable S100A9/RAGE resistance mechanism.基于可操作的 S100A9/RAGE 耐药机制对脑转移瘤的放射敏感性进行分层。
Nat Med. 2022 Apr;28(4):752-765. doi: 10.1038/s41591-022-01749-8. Epub 2022 Apr 11.
8
Trastuzumab Deruxtecan versus Trastuzumab Emtansine for Breast Cancer.曲妥珠单抗-德鲁替康与曲妥珠单抗-美坦新用于乳腺癌。
N Engl J Med. 2022 Mar 24;386(12):1143-1154. doi: 10.1056/NEJMoa2115022.
9
A protocol to extract cell-type-specific signatures from differentially expressed genes in bulk-tissue RNA-seq.从批量组织 RNA-seq 中差异表达基因中提取细胞类型特异性特征的方案。
STAR Protoc. 2022 Jan 24;3(1):101121. doi: 10.1016/j.xpro.2022.101121. eCollection 2022 Mar 18.
10
Cellular architecture of human brain metastases.人类脑转移瘤的细胞结构。
Cell. 2022 Feb 17;185(4):729-745.e20. doi: 10.1016/j.cell.2021.12.043. Epub 2022 Jan 20.