Suppr超能文献

基于人工智能的肺癌早期筛查流程:整合放射学、临床和基因组学数据。

AI-based pipeline for early screening of lung cancer: integrating radiology, clinical, and genomics data.

作者信息

Batra Ullas, Nathany Shrinidhi, Nath Swarsat Kaushik, Jose Joslia T, Sharma Trapti, P Preeti, Pasricha Sunil, Sharma Mansi, Arambam Nevidita, Khanna Vrinda, Bansal Abhishek, Mehta Anurag, Rawal Kamal

机构信息

Rajiv Gandhi Cancer Institute and Research Centre, New Delhi, India.

Amity Institute of Biotechnology, Amity University, Noida, Uttar Pradesh, India.

出版信息

Lancet Reg Health Southeast Asia. 2024 Feb 14;24:100352. doi: 10.1016/j.lansea.2024.100352. eCollection 2024 May.

Abstract

BACKGROUND

The prognosis of lung carcinoma has changed since the discovery of molecular targets and their specific drugs. Somatic Epidermal Growth Factor Receptor () mutations have been reported in lung carcinoma, and these mutant proteins act as substrates for targeted therapies. However, in a resource-constrained country like India, panel-based next-generation sequencing cannot be made available to the population at large. Additional challenges such as adequacy of tissue in case of lung core biopsies and locating suitable tumour tissues as a result of innate intratumoral heterogeneity indicate the necessity of an AI-based end-to-end pipeline capable of automatically detecting and learning more effective lung nodule features from CT images and predicting the probability of the -mutant. This will help the oncologists and patients in resource-limited settings to achieve near-optimal care and appropriate therapy.

METHODS

The gene sequencing and CT imaging data of 2277 patients with lung carcinoma were included from three cohorts in India and a White population cohort collected from TCIA. Another cohort LIDC-IDRI was used to train the AIPS-Nodule (AIPS-N) model for automatic detection and characterisation of lung nodules. We explored the value of combining the results of the AIPS-N with the clinical factors in the AIPS-Mutation (AIPS-M) model for predicting genotype, and it was evaluated by area under the curve (AUC).

FINDINGS

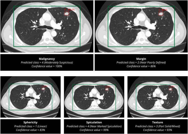
AIPS-N achieved an average AP50 of 70.19% in detecting the location of nodules within the lung region of interest during validation and predicted the score of five lung nodule properties. The AIPS-M machine learning (ML) and deep learning (DL) models achieved AUCs ranging from 0.587 to 0.910.

INTERPRETATION

The AIPS suggests that CT imaging combined with a fully automated lung-nodule analysis AI system can predict genotype and identify patients with an mutation in a cost-effective and non-invasive manner.

FUNDING

This work was supported by a grant provided by Conquer Cancer Foundation of ASCO [2021IIG-5555960128] and Pfizer Products India Pvt. Ltd.

摘要

背景

自发现分子靶点及其特异性药物以来,肺癌的预后已发生改变。肺癌中已报道存在体细胞表皮生长因子受体()突变,这些突变蛋白可作为靶向治疗的作用底物。然而,在像印度这样资源有限的国家,基于面板的下一代测序无法普及到广大民众。诸如肺芯活检时组织是否充足以及由于肿瘤内固有异质性而难以定位合适的肿瘤组织等其他挑战,表明需要一种基于人工智能的端到端流程,该流程能够自动从CT图像中检测并学习更有效的肺结节特征,并预测-突变的概率。这将有助于资源有限环境中的肿瘤学家和患者实现近乎最佳的护理和适当的治疗。

方法

纳入了来自印度三个队列以及从TCIA收集的白种人队列的2277例肺癌患者的基因测序和CT成像数据。另一个队列LIDC-IDRI用于训练AIPS-Nodule(AIPS-N)模型,以自动检测和表征肺结节。我们在AIPS-Mutation(AIPS-M)模型中探索了将AIPS-N的结果与临床因素相结合用于预测基因型的价值,并通过曲线下面积(AUC)进行评估。

研究结果

在验证期间,AIPS-N在检测感兴趣肺区域内结节位置时的平均AP50为70.19%,并预测了五种肺结节属性的评分。AIPS-M机器学习(ML)和深度学习(DL)模型的AUC范围为0.587至0.910。

解读

AIPS表明,CT成像与全自动肺结节分析人工智能系统相结合,可以以具有成本效益且非侵入性的方式预测基因型并识别携带突变的患者。

资金支持

这项工作得到了美国临床肿瘤学会征服癌症基金会[2021IIG-5555960128]和辉瑞产品印度私人有限公司提供的资助。

https://cdn.ncbi.nlm.nih.gov/pmc/blobs/6db7/11096686/22f3d589f1c1/gr1.jpg

文献检索

告别复杂PubMed语法,用中文像聊天一样搜索,搜遍4000万医学文献。AI智能推荐,让科研检索更轻松。

立即免费搜索

文件翻译

保留排版,准确专业,支持PDF/Word/PPT等文件格式,支持 12+语言互译。

免费翻译文档

深度研究

AI帮你快速写综述,25分钟生成高质量综述,智能提取关键信息,辅助科研写作。

立即免费体验