Gosey L L, Howard R M, Witebsky F G, Ognibene F P, Wu T C, Gill V J, MacLowry J D
J Clin Microbiol. 1985 Nov;22(5):803-7. doi: 10.1128/jcm.22.5.803-807.1985.
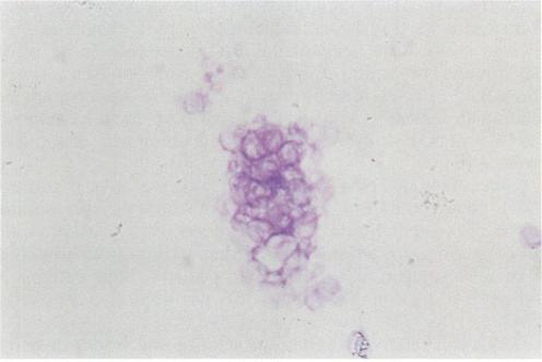
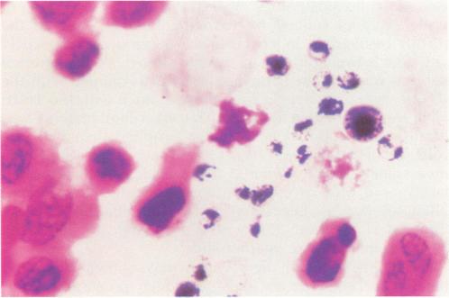
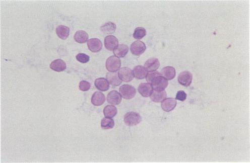
A modified toluidine blue O staining technique for Pneumocystis carinii is described. An easily prepared sulfation reagent made with sulfuric and acetic acids was used. The stain can be employed for bronchoalveolar lavages and lung tissue touch preparations. Most background material was removed by the sulfation reagent, slides were generally easy to read, and time from receipt of a specimen to reporting of results was approximately 1 h. P. carinii cysts were more easily visualized with this stain than in slides stained with modified methylene blue, Gram, Gram-Weigert, and standard toluidine blue O procedures. The importance of certain procedural aspects of subsegmental bronchoalveolar lavage, by which most of the specimens were obtained, is also emphasized.
描述了一种用于卡氏肺孢子虫的改良甲苯胺蓝O染色技术。使用了一种由硫酸和乙酸制成的易于制备的硫酸化试剂。该染色剂可用于支气管肺泡灌洗和肺组织触片制备。硫酸化试剂去除了大部分背景物质,玻片通常易于阅读,从收到标本到报告结果的时间约为1小时。与用改良亚甲蓝、革兰氏、革兰-魏格特和标准甲苯胺蓝O程序染色的玻片相比,用这种染色剂更容易观察到卡氏肺孢子虫囊肿。还强调了亚段支气管肺泡灌洗某些操作方面的重要性,大多数标本是通过该操作获得的。