• 文献检索
  • 文档翻译
  • 深度研究
  • 学术资讯
  • Suppr Zotero 插件Zotero 插件
  • 邀请有礼
  • 套餐&价格
  • 历史记录
应用&插件
Suppr Zotero 插件Zotero 插件浏览器插件Mac 客户端Windows 客户端微信小程序
定价
高级版会员购买积分包购买API积分包
服务
文献检索文档翻译深度研究API 文档MCP 服务
关于我们
关于 Suppr公司介绍联系我们用户协议隐私条款
关注我们

Suppr 超能文献

核心技术专利:CN118964589B侵权必究
粤ICP备2023148730 号-1Suppr @ 2026

文献检索

告别复杂PubMed语法,用中文像聊天一样搜索,搜遍4000万医学文献。AI智能推荐,让科研检索更轻松。

立即免费搜索

文件翻译

保留排版,准确专业,支持PDF/Word/PPT等文件格式,支持 12+语言互译。

免费翻译文档

深度研究

AI帮你快速写综述,25分钟生成高质量综述,智能提取关键信息,辅助科研写作。

立即免费体验

空肠弯曲菌肠炎的简易成年兔模型。

Simple adult rabbit model for Campylobacter jejuni enteritis.

作者信息

Caldwell M B, Walker R I, Stewart S D, Rogers J E

出版信息

Infect Immun. 1983 Dec;42(3):1176-82. doi: 10.1128/iai.42.3.1176-1182.1983.

DOI:10.1128/iai.42.3.1176-1182.1983
PMID:6642664
原文链接:https://pmc.ncbi.nlm.nih.gov/articles/PMC264422/
Abstract

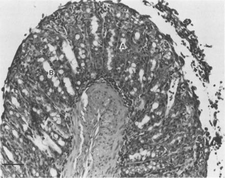
We tested the usefulness of the Removable Intestinal Tie Adult Rabbit Diarrhea model to establish Campylobacter jejuni infection in rabbits. The procedure involved ligation of the cecum, placement of a slip knot at the terminal ileum, and injection of the test inoculum into the mid-small bowel. The ends of the slip knot were externalized, and the tie was released 4 h later. Fifty-five rabbits received C. jejuni, and 16 received uninoculated medium as controls. Daily rectal swabs were positive for 2 weeks in infected rabbits. The diarrheal attack rate was 64% in infected rabbits and 0% in controls. Diarrhea was characterized by loose, mucus-containing stools after an incubation period ranging from 24 h to 6 days. When blood was obtained daily for culture from 30 rabbits for 4 days post-challenge, bacteremia was present in 96.3% 24 h after challenge but diminished to 5 of 19 (26.3%) at 96 h. Death occurred in 53% of rabbits and was always preceded by diarrhea. No control animal died. Only 5 of 35 animals experiencing diarrhea recovered. An indirect whole-cell enzyme-linked immunosorbent assay was used to determine serum immunoglobulin G responses. Mean titers rose from 1:198 preoperatively to 1:9,087 on day 28. Necropsy on eight infected and two control animals showed inflammatory lesions with ulceration in 62.5% and goblet cell hyperplasia in 75% of infected rabbits. We conclude that the Removable Intestinal Tie Adult Rabbit Diarrhea procedure is a simple, effective method to establish C. jejuni infection which mimics human disease.

摘要

我们测试了可移除肠道结扎成年兔腹泻模型在兔中建立空肠弯曲菌感染的实用性。该操作包括结扎盲肠、在回肠末端放置一个活结,并将测试接种物注入小肠中部。将活结的两端引出体外,4小时后松开结扎。55只兔接种空肠弯曲菌,16只接种未接种的培养基作为对照。感染兔的每日直肠拭子在2周内呈阳性。感染兔的腹泻发作率为64%,对照组为0%。腹泻的特征是在24小时至6天的潜伏期后出现稀便、含黏液的粪便。在攻毒后4天,每天从30只兔采集血液进行培养,攻毒后24小时菌血症发生率为96.3%,但在96小时时降至19只中的5只(26.3%)。53%的兔死亡,且死亡前均有腹泻。无对照动物死亡。35只出现腹泻的动物中只有5只恢复。使用间接全细胞酶联免疫吸附试验来测定血清免疫球蛋白G反应。平均滴度从术前的1:198升至第28天的1:9087。对8只感染动物和2只对照动物进行尸检,发现62.5%的感染兔有炎症性病变伴溃疡,75%有杯状细胞增生。我们得出结论,可移除肠道结扎成年兔腹泻操作是一种简单、有效的建立空肠弯曲菌感染的方法,该方法可模拟人类疾病。

https://cdn.ncbi.nlm.nih.gov/pmc/blobs/7bea/264422/6066afc6e473/iai00135-0341-b.jpg
https://cdn.ncbi.nlm.nih.gov/pmc/blobs/7bea/264422/fbf04f9661b8/iai00135-0339-a.jpg
https://cdn.ncbi.nlm.nih.gov/pmc/blobs/7bea/264422/75f3ff770cfc/iai00135-0340-a.jpg
https://cdn.ncbi.nlm.nih.gov/pmc/blobs/7bea/264422/63c6239c872b/iai00135-0341-a.jpg
https://cdn.ncbi.nlm.nih.gov/pmc/blobs/7bea/264422/6066afc6e473/iai00135-0341-b.jpg
https://cdn.ncbi.nlm.nih.gov/pmc/blobs/7bea/264422/fbf04f9661b8/iai00135-0339-a.jpg
https://cdn.ncbi.nlm.nih.gov/pmc/blobs/7bea/264422/75f3ff770cfc/iai00135-0340-a.jpg
https://cdn.ncbi.nlm.nih.gov/pmc/blobs/7bea/264422/63c6239c872b/iai00135-0341-a.jpg
https://cdn.ncbi.nlm.nih.gov/pmc/blobs/7bea/264422/6066afc6e473/iai00135-0341-b.jpg

相似文献

1
Simple adult rabbit model for Campylobacter jejuni enteritis.空肠弯曲菌肠炎的简易成年兔模型。
Infect Immun. 1983 Dec;42(3):1176-82. doi: 10.1128/iai.42.3.1176-1182.1983.
2
Experimental Campylobacter jejuni infection of adult mice.成年小鼠的空肠弯曲菌实验性感染。
Infect Immun. 1983 Feb;39(2):908-16. doi: 10.1128/iai.39.2.908-916.1983.
3
A domestic ferret model of immunity to Campylobacter jejuni-induced enteric disease.空肠弯曲菌诱导的肠道疾病免疫的家雪貂模型。
Infect Immun. 1990 Jun;58(6):1848-52. doi: 10.1128/iai.58.6.1848-1852.1990.
4
Mucosal and systemic immunity to Campylobacter jejuni in rabbits after gastric inoculation.兔经胃接种空肠弯曲菌后的黏膜及全身免疫反应
Infect Immun. 1988 Jan;56(1):99-105. doi: 10.1128/iai.56.1.99-105.1988.
5
Human serum antibody response in Campylobacter jejuni enteritis as measured by enzyme-linked immunosorbent assay.通过酶联免疫吸附测定法检测空肠弯曲菌肠炎患者的人血清抗体反应。
Eur J Clin Microbiol Infect Dis. 1988 Jun;7(3):388-93. doi: 10.1007/BF01962343.
6
[Serological response to Campylobacter jejuni infection: enzyme-linked immunosorbent assay (ELISA) for detection of antibodies to Campylobacter jejuni].[空肠弯曲菌感染的血清学反应:用于检测空肠弯曲菌抗体的酶联免疫吸附测定(ELISA)]
Kansenshogaku Zasshi. 1982 Jul;56(7):566-73. doi: 10.11150/kansenshogakuzasshi1970.56.566.
7
Campylobacter jejuni strain CG8421: a refined model for the study of Campylobacteriosis and evaluation of Campylobacter vaccines in human subjects.空肠弯曲菌 CG8421 菌株:用于研究弯曲菌病和评估人用弯曲菌疫苗的改良模型。
Clin Infect Dis. 2009 Nov 15;49(10):1512-9. doi: 10.1086/644622.
8
Immunoglobulin G response in patients with Campylobacter concisus diarrhea.
Diagn Microbiol Infect Dis. 2016 Feb;84(2):151-4. doi: 10.1016/j.diagmicrobio.2015.10.026. Epub 2015 Nov 3.
9
Multiple factors interact to produce responses resembling spectrum of human disease in Campylobacter jejuni infected C57BL/6 IL-10-/- mice.多种因素相互作用,在空肠弯曲菌感染的C57BL/6 IL-10基因敲除小鼠中产生类似于人类疾病谱的反应。
BMC Microbiol. 2009 Mar 18;9:57. doi: 10.1186/1471-2180-9-57.
10
Experimental infection of hamsters with Campylobacter jejuni.空肠弯曲菌对仓鼠的实验性感染。
J Infect Dis. 1985 Mar;151(3):485-93. doi: 10.1093/infdis/151.3.485.

引用本文的文献

1
Campylobacter bacteremia: a rare and under-reported event?弯曲杆菌血症:一种罕见且报告不足的情况?
Eur J Microbiol Immunol (Bp). 2012 Mar;2(1):76-87. doi: 10.1556/EuJMI.2.2012.1.11. Epub 2012 Mar 17.
2
Functional characterization of a lipoprotein-encoding operon in Campylobacter jejuni.空肠弯曲菌脂蛋白编码操纵子的功能特征。
PLoS One. 2011;6(5):e20084. doi: 10.1371/journal.pone.0020084. Epub 2011 May 23.
3
New World monkey Aotus nancymae as a model for Campylobacter jejuni infection and immunity.新世界猴南希夜猴作为空肠弯曲菌感染与免疫的模型。

本文引用的文献

1
Protein measurement with the Folin phenol reagent.使用福林酚试剂进行蛋白质测定。
J Biol Chem. 1951 Nov;193(1):265-75.
2
Mucosal invasion in campylobacter enteritis.弯曲杆菌肠炎中的黏膜侵袭
Am J Clin Pathol. 1980 May;73(5):706-8. doi: 10.1093/ajcp/73.5.706.
3
Campylobacter jejuni colitis in gnotobiotic dogs.无菌犬空肠弯曲菌结肠炎
Infect Immun. 2006 Jan;74(1):790-3. doi: 10.1128/IAI.74.1.790-793.2006.
4
Use of genome-wide expression profiling and mutagenesis to study the intestinal lifestyle of Campylobacter jejuni.利用全基因组表达谱分析和诱变技术研究空肠弯曲菌的肠道生存方式。
Infect Immun. 2005 Mar;73(3):1797-810. doi: 10.1128/IAI.73.3.1797-1810.2005.
5
Identification of Campylobacter jejuni ATCC 43431-specific genes by whole microbial genome comparisons.通过全微生物基因组比较鉴定空肠弯曲菌ATCC 43431特异性基因。
J Bacteriol. 2004 Jul;186(14):4781-95. doi: 10.1128/JB.186.14.4781-4795.2004.
6
Critical role of multidrug efflux pump CmeABC in bile resistance and in vivo colonization of Campylobacter jejuni.多药外排泵CmeABC在空肠弯曲菌胆汁抗性及体内定殖中的关键作用
Infect Immun. 2003 Aug;71(8):4250-9. doi: 10.1128/IAI.71.8.4250-4259.2003.
7
Murine intranasal challenge model for the study of Campylobacter pathogenesis and immunity.用于研究弯曲杆菌发病机制和免疫的小鼠鼻内攻击模型。
Infect Immun. 1996 Dec;64(12):4933-9. doi: 10.1128/iai.64.12.4933-4939.1996.
8
Newborn piglet model for campylobacteriosis.弯曲杆菌病的新生仔猪模型
Infect Immun. 1993 Aug;61(8):3466-75. doi: 10.1128/iai.61.8.3466-3475.1993.
9
Modulation of mucosal immunity against Campylobacter jejuni by orally administered cytokines.口服细胞因子对空肠弯曲菌黏膜免疫的调节作用
Antimicrob Agents Chemother. 1993 Dec;37(12):2688-92. doi: 10.1128/AAC.37.12.2688.
10
Heat shock- and alkaline pH-induced proteins of Campylobacter jejuni: characterization and immunological properties.空肠弯曲菌的热休克和碱性pH诱导蛋白:特性及免疫学性质
Infect Immun. 1994 Oct;62(10):4256-60. doi: 10.1128/iai.62.10.4256-4260.1994.
Can J Comp Med. 1981 Oct;45(4):377-83.
4
Experimental Campylobacter diarrhea in chickens.鸡的实验性弯曲杆菌腹泻
Infect Immun. 1981 Oct;34(1):250-5. doi: 10.1128/iai.34.1.250-255.1981.
5
Intestinal colonization of neonatal animals by Campylobacter fetus subsp. jejuni.胎儿弯曲杆菌空肠亚种对新生动物的肠道定植
Infect Immun. 1981 Sep;33(3):884-92. doi: 10.1128/iai.33.3.884-892.1981.
6
Campylobacter fetus subsp jejuni: its possible significance in enteric disease of calves and lambs.胎儿弯曲杆菌空肠亚种:其在犊牛和羔羊肠道疾病中的潜在意义。
Am J Vet Res. 1981 Jun;42(6):918-22.
7
Diarrhea due to Campylobacter fetus subspecies jejuni. A clinical review of 63 cases.空肠弯曲菌胎儿亚种所致腹泻。63例临床回顾。
Mayo Clin Proc. 1981 Jul;56(7):414-23.
8
Enzyme-linked immunosorbent assay (ELISA) for antibodies against Campylobacter jejuni, and its clinical application.空肠弯曲菌抗体的酶联免疫吸附测定(ELISA)及其临床应用。
Acta Pathol Microbiol Immunol Scand B. 1982 Dec;90(6):423-33. doi: 10.1111/j.1699-0463.1982.tb00141.x.
9
Pathogenicity of Campylobacter jejuni isolates from animals and humans.来自动物和人类的空肠弯曲菌分离株的致病性。
Infect Immun. 1982 Oct;38(1):46-52. doi: 10.1128/iai.38.1.46-52.1982.
10
Simple adult rabbit model for Vibrio cholerae and enterotoxigenic Escherichia coli diarrhea.用于霍乱弧菌和产肠毒素大肠杆菌腹泻的简易成年兔模型。
Infect Immun. 1981 May;32(2):739-47. doi: 10.1128/iai.32.2.739-747.1981.