Suppr超能文献

幼龄农场动物腹泻的一些传染性病因。

Some infectious causes of diarrhea in young farm animals.

作者信息

Holland R E

机构信息

Department of Large Animal Clinical Sciences, Michigan State University, East Lansing 48824.

出版信息

Clin Microbiol Rev. 1990 Oct;3(4):345-75. doi: 10.1128/CMR.3.4.345.

Abstract

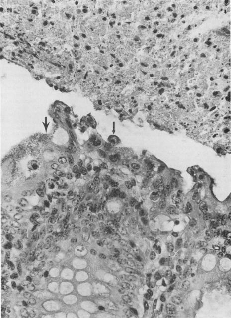
Escherichia coli, rotaviruses, and Cryptosporidium parvum are discussed in this review as they relate to enteric disease in calves, lambs, and pigs. These microorganisms are frequently incriminated as causative agents in diarrheas among neonatal food animals, and in some cases different strains or serotypes of the same organism cause diarrhea in humans. E. coli causes diarrhea by mechanisms that include production of heat-labile or heat-stable enterotoxins and synthesis of potent cytotoxins, and some strains cause diarrhea by yet undetermined mechanisms. Rotaviruses and C. parvum induce various degrees of villous atrophy. Rotaviruses infect and replicate within the cytoplasm of enterocytes, whereas C. parvum resides in an intracellular, extracytoplasmic location. E. coli, rotavirus, and C. parvum infections are of concern to producers, veterinarians, and public health officials. These agents are a major cause of economic loss to the producer because of costs associated with therapy, reduced performance, and high morbidity and mortality rates. Moreover, diarrheic animals may harbor, incubate, and act as a source to healthy animals and humans of some of these agents.

摘要

本综述讨论了大肠杆菌、轮状病毒和微小隐孢子虫,因为它们与犊牛、羔羊和仔猪的肠道疾病有关。这些微生物常被认为是新生食用动物腹泻的病原体,在某些情况下,同一生物体的不同菌株或血清型会导致人类腹泻。大肠杆菌通过产生不耐热或耐热肠毒素以及合成强效细胞毒素等机制引起腹泻,一些菌株通过尚未确定的机制引起腹泻。轮状病毒和微小隐孢子虫会导致不同程度的绒毛萎缩。轮状病毒在肠上皮细胞的细胞质内感染并复制,而微小隐孢子虫位于细胞内、细胞质外的位置。大肠杆菌、轮状病毒和微小隐孢子虫感染是生产者、兽医和公共卫生官员关注的问题。由于与治疗、性能下降以及高发病率和死亡率相关的成本,这些病原体是生产者经济损失的主要原因。此外,腹泻动物可能携带、潜伏并成为这些病原体传播给健康动物和人类的源头。

https://cdn.ncbi.nlm.nih.gov/pmc/blobs/d7b5/358168/9a2c6e159374/cmr00049-0064-a.jpg

文献检索

告别复杂PubMed语法,用中文像聊天一样搜索,搜遍4000万医学文献。AI智能推荐,让科研检索更轻松。

立即免费搜索

文件翻译

保留排版,准确专业,支持PDF/Word/PPT等文件格式,支持 12+语言互译。

免费翻译文档

深度研究

AI帮你快速写综述,25分钟生成高质量综述,智能提取关键信息,辅助科研写作。

立即免费体验