Suppr超能文献

基于深度学习的低场磁共振脑图像单图像超分辨率。

Deep learning-based single image super-resolution for low-field MR brain images.

机构信息

Delft Institute of Applied Mathematics, Delft University of Technology, Delft, The Netherlands.

Department of Metrology, ASML Netherlands, Veldhoven, The Netherlands.

出版信息

Sci Rep. 2022 Apr 16;12(1):6362. doi: 10.1038/s41598-022-10298-6.

Abstract

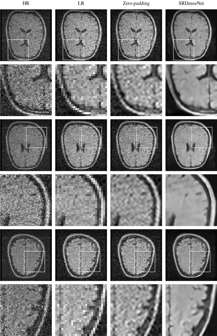
Low-field MRI scanners are significantly less expensive than their high-field counterparts, which gives them the potential to make MRI technology more accessible all around the world. In general, images acquired using low-field MRI scanners tend to be of a relatively low resolution, as signal-to-noise ratios are lower. The aim of this work is to improve the resolution of these images. To this end, we present a deep learning-based approach to transform low-resolution low-field MR images into high-resolution ones. A convolutional neural network was trained to carry out single image super-resolution reconstruction using pairs of noisy low-resolution images and their noise-free high-resolution counterparts, which were obtained from the publicly available NYU fastMRI database. This network was subsequently applied to noisy images acquired using a low-field MRI scanner. The trained convolutional network yielded sharp super-resolution images in which most of the high-frequency components were recovered. In conclusion, we showed that a deep learning-based approach has great potential when it comes to increasing the resolution of low-field MR images.

摘要

低磁场磁共振成像扫描仪的价格明显低于高磁场磁共振成像扫描仪,这使得它们有可能使磁共振成像技术在全球范围内更容易获得。一般来说,使用低磁场磁共振成像扫描仪获得的图像的分辨率相对较低,因为信噪比较低。这项工作的目的是提高这些图像的分辨率。为此,我们提出了一种基于深度学习的方法,将低分辨率、低磁场的磁共振图像转换为高分辨率的图像。我们使用一对带有噪声的低分辨率图像及其无噪声的高分辨率图像对训练卷积神经网络进行单图像超分辨率重建,这些图像来自公开的 NYU fastMRI 数据库。然后,我们将这个网络应用于使用低磁场磁共振成像扫描仪获取的噪声图像。训练好的卷积网络生成了清晰的超分辨率图像,其中大部分高频成分都得到了恢复。总之,我们表明,基于深度学习的方法在提高低磁场磁共振图像的分辨率方面具有很大的潜力。

https://cdn.ncbi.nlm.nih.gov/pmc/blobs/1763/9013376/95c1a77768c5/41598_2022_10298_Fig1_HTML.jpg

文献检索

告别复杂PubMed语法,用中文像聊天一样搜索,搜遍4000万医学文献。AI智能推荐,让科研检索更轻松。

立即免费搜索

文件翻译

保留排版,准确专业,支持PDF/Word/PPT等文件格式,支持 12+语言互译。

免费翻译文档

深度研究

AI帮你快速写综述,25分钟生成高质量综述,智能提取关键信息,辅助科研写作。

立即免费体验