Emerg Infect Dis. 2024 Jul;30(7):1361-1373. doi: 10.3201/eid3007.240689. Epub 2024 Jun 11.
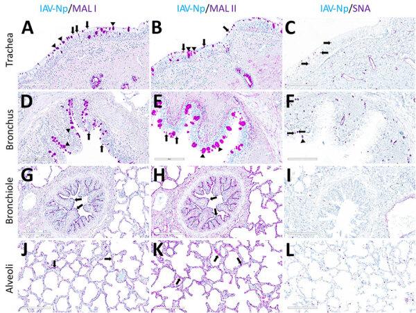
In March 2024, the US Department of Agriculture's Animal and Plant Health Inspection Service reported detection of highly pathogenic avian influenza (HPAI) A(H5N1) virus in dairy cattle in the United States for the first time. One factor that determines susceptibility to HPAI H5N1 infection is the presence of specific virus receptors on host cells; however, little is known about the distribution of the sialic acid (SA) receptors in dairy cattle, particularly in mammary glands. We compared the distribution of SA receptors in the respiratory tract and mammary gland of dairy cattle naturally infected with HPAI H5N1. The respiratory and mammary glands of HPAI H5N1-infected dairy cattle are rich in SA, particularly avian influenza virus-specific SA α2,3-gal. Mammary gland tissues co-stained with sialic acids and influenza A virus nucleoprotein showed predominant co-localization with the virus and SA α2,3-gal. HPAI H5N1 exhibited epitheliotropism within the mammary gland, and we observed rare immunolabeling within macrophages.
2024 年 3 月,美国农业部动植物卫生检验局报告称,美国首次在奶牛中检测到高致病性禽流感(HPAI)A(H5N1)病毒。宿主细胞表面存在特定的病毒受体是决定对高致病性禽流感 H5N1 感染易感性的一个因素;然而,关于奶牛,特别是乳腺中唾液酸(SA)受体的分布情况知之甚少。我们比较了自然感染 HPAI H5N1 的奶牛呼吸道和乳腺中 SA 受体的分布情况。感染 HPAI H5N1 的奶牛的呼吸道和乳腺富含 SA,特别是流感病毒特异性的 SAα2,3-gal。用唾液酸和甲型流感病毒核蛋白共同染色的乳腺组织显示与病毒和 SAα2,3-gal 有明显的共定位。HPAI H5N1 在乳腺中具有上皮嗜性,我们观察到巨噬细胞内很少有免疫标记。