• 文献检索
  • 文档翻译
  • 深度研究
  • 学术资讯
  • Suppr Zotero 插件Zotero 插件
  • 邀请有礼
  • 套餐&价格
  • 历史记录
应用&插件
Suppr Zotero 插件Zotero 插件浏览器插件Mac 客户端Windows 客户端微信小程序
定价
高级版会员购买积分包购买API积分包
服务
文献检索文档翻译深度研究API 文档MCP 服务
关于我们
关于 Suppr公司介绍联系我们用户协议隐私条款
关注我们

Suppr 超能文献

核心技术专利:CN118964589B侵权必究
粤ICP备2023148730 号-1Suppr @ 2026

文献检索

告别复杂PubMed语法,用中文像聊天一样搜索,搜遍4000万医学文献。AI智能推荐,让科研检索更轻松。

立即免费搜索

文件翻译

保留排版,准确专业,支持PDF/Word/PPT等文件格式,支持 12+语言互译。

免费翻译文档

深度研究

AI帮你快速写综述,25分钟生成高质量综述,智能提取关键信息,辅助科研写作。

立即免费体验

7SK RNA基因转录需要编码区上游的一段序列。

A sequence upstream from the coding region is required for the transcription of the 7SK RNA genes.

作者信息

Murphy S, Tripodi M, Melli M

出版信息

Nucleic Acids Res. 1986 Dec 9;14(23):9243-60. doi: 10.1093/nar/14.23.9243.

DOI:10.1093/nar/14.23.9243
PMID:2948154
原文链接:https://pmc.ncbi.nlm.nih.gov/articles/PMC311956/
Abstract

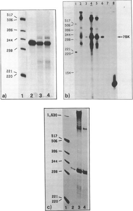
We have isolated and characterized two recombinant lambda phages containing sequences homologous to 7SK RNA which code for a RNA 330 nucleotides long in an "in vitro" transcription system. S1 mapping of the transcript shows that this RNA corresponds to the 7SK RNA obtained from human cells, indicating that the two recombinant phages contain genes coding for 7SK RNA. The transcription of these genes is polymerase III dependent. Sequences upstream from the start of transcription are essential for "in vitro" synthesis of 7SK RNA, suggesting that internal promoter elements, if present, are not sufficient to support the synthesis of 7SK RNA. A region of homology with the upstream sequences of the genes for U6 RNA, 7SL RNA and Bombyx mori alanine tRNA is found within 50 bp from the transcription start point. Within the homologous region a motif common to the four genes is a "TATA"-like box, placed at position -30 to -25 of the 7SK RNA gene, which is typical of the polymerase II promoter region.

摘要

我们已经分离并鉴定了两个重组λ噬菌体,它们含有与7SK RNA同源的序列,这些序列在“体外”转录系统中编码一种长度为330个核苷酸的RNA。对转录本的S1图谱分析表明,这种RNA与从人细胞中获得的7SK RNA相对应,这表明这两个重组噬菌体含有编码7SK RNA的基因。这些基因的转录依赖于聚合酶III。转录起始点上游的序列对于7SK RNA的“体外”合成至关重要,这表明如果存在内部启动子元件,它们不足以支持7SK RNA的合成。在距转录起始点50 bp范围内发现了与U6 RNA、7SL RNA和家蚕丙氨酸tRNA基因上游序列的同源区域。在同源区域内,这四个基因共有的一个基序是一个“TATA”样框,位于7SK RNA基因的-30至-25位,这是聚合酶II启动子区域的典型特征。

https://cdn.ncbi.nlm.nih.gov/pmc/blobs/d8f8/311956/aca1126d12fb/nar00292-0038-a.jpg
https://cdn.ncbi.nlm.nih.gov/pmc/blobs/d8f8/311956/7dfbec36300c/nar00292-0033-a.jpg
https://cdn.ncbi.nlm.nih.gov/pmc/blobs/d8f8/311956/46358dcca967/nar00292-0034-a.jpg
https://cdn.ncbi.nlm.nih.gov/pmc/blobs/d8f8/311956/ee3c17945956/nar00292-0037-a.jpg
https://cdn.ncbi.nlm.nih.gov/pmc/blobs/d8f8/311956/aca1126d12fb/nar00292-0038-a.jpg
https://cdn.ncbi.nlm.nih.gov/pmc/blobs/d8f8/311956/7dfbec36300c/nar00292-0033-a.jpg
https://cdn.ncbi.nlm.nih.gov/pmc/blobs/d8f8/311956/46358dcca967/nar00292-0034-a.jpg
https://cdn.ncbi.nlm.nih.gov/pmc/blobs/d8f8/311956/ee3c17945956/nar00292-0037-a.jpg
https://cdn.ncbi.nlm.nih.gov/pmc/blobs/d8f8/311956/aca1126d12fb/nar00292-0038-a.jpg

相似文献

1
A sequence upstream from the coding region is required for the transcription of the 7SK RNA genes.7SK RNA基因转录需要编码区上游的一段序列。
Nucleic Acids Res. 1986 Dec 9;14(23):9243-60. doi: 10.1093/nar/14.23.9243.
2
The in vitro transcription of the 7SK RNA gene by RNA polymerase III is dependent only on the presence of an upstream promoter.RNA聚合酶III对7SK RNA基因的体外转录仅取决于上游启动子的存在。
Cell. 1987 Oct 9;51(1):81-7. doi: 10.1016/0092-8674(87)90012-2.
3
Purified octamer binding transcription factors stimulate RNA polymerase III--mediated transcription of the 7SK RNA gene.
Cell. 1989 Dec 22;59(6):1071-80. doi: 10.1016/0092-8674(89)90763-0.
4
Upstream sequences modulate the internal promoter of the human 7SL RNA gene.上游序列调控人类7SL RNA基因的内部启动子。
Nature. 1985;318(6044):371-4. doi: 10.1038/318371a0.
5
Functional redundancy of promoter elements ensures efficient transcription of the human 7SK gene in vivo.启动子元件的功能冗余确保了人7SK基因在体内的高效转录。
J Mol Biol. 1995 Nov 10;253(5):677-90. doi: 10.1006/jmbi.1995.0582.
6
Common RNA polymerase I, II, and III upstream elements in mouse 7SK gene locus revealed by the inverse polymerase chain reaction.
DNA Cell Biol. 1991 Jan-Feb;10(1):23-32. doi: 10.1089/dna.1991.10.23.
7
Novel upstream and intragenic control elements for the RNA polymerase III-dependent transcription of human 7SL RNA genes.人类7SL RNA基因依赖RNA聚合酶III转录的新型上游和基因内控制元件。
Biochimie. 2004 Dec;86(12):867-74. doi: 10.1016/j.biochi.2004.10.012.
8
Oct-1 and Oct-2 potentiate functional interactions of a transcription factor with the proximal sequence element of small nuclear RNA genes.八聚体转录因子1和八聚体转录因子2增强转录因子与小核RNA基因近端序列元件的功能相互作用。
Mol Cell Biol. 1992 Jul;12(7):3247-61. doi: 10.1128/mcb.12.7.3247-3261.1992.
9
U6 snRNA genes of Arabidopsis are transcribed by RNA polymerase III but contain the same two upstream promoter elements as RNA polymerase II-transcribed U-snRNA genes.拟南芥的U6小核RNA基因由RNA聚合酶III转录,但含有与RNA聚合酶II转录的U小核RNA基因相同的两个上游启动子元件。
Nucleic Acids Res. 1990 Jun 25;18(12):3451-8. doi: 10.1093/nar/18.12.3451.
10
Xenopus tropicalis U6 snRNA genes transcribed by Pol III contain the upstream promoter elements used by Pol II dependent U snRNA genes.由RNA聚合酶III转录的热带爪蟾U6小核RNA基因包含由依赖RNA聚合酶II的U小核RNA基因使用的上游启动子元件。
Nucleic Acids Res. 1987 Mar 25;15(6):2463-78. doi: 10.1093/nar/15.6.2463.

引用本文的文献

1
Catalytic activity of the Bin3/MePCE methyltransferase domain is dispensable for 7SK snRNP function in Drosophila melanogaster.Bin3/MePCE 甲基转移酶结构域的催化活性对于果蝇 7SK snRNP 功能而言并非必需。
Genetics. 2024 Jan 3;226(1). doi: 10.1093/genetics/iyad203.
2
The Pol III transcriptome: Basic features, recurrent patterns, and emerging roles in cancer.III 型聚合酶转录组:基本特征、常见模式及在癌症中的新作用。
Wiley Interdiscip Rev RNA. 2023 Sep-Oct;14(5):e1782. doi: 10.1002/wrna.1782. Epub 2023 Feb 8.
3
Roles of lncRNAs in the transcription regulation of HIV-1.

本文引用的文献

1
A short 5' flanking region containing conserved sequences is required for silkworm alanine tRNA gene activity.短的 5'侧翼区含有保守序列,这对于家蚕丝氨酸 tRNA 基因的活性是必需的。
Proc Natl Acad Sci U S A. 1983 Jun;80(11):3416-20. doi: 10.1073/pnas.80.11.3416.
2
Two conserved sequence blocks within eukaryotic tRNA genes are major promoter elements.真核生物tRNA基因中的两个保守序列块是主要的启动子元件。
Nature. 1981 Dec 17;294(5842):626-31. doi: 10.1038/294626a0.
3
Accurate transcription initiation by RNA polymerase II in a soluble extract from isolated mammalian nuclei.
长链非编码 RNA 在 HIV-1 转录调控中的作用。
Biomed J. 2022 Aug;45(4):580-593. doi: 10.1016/j.bj.2022.03.012. Epub 2022 Mar 29.
4
An alternative D. melanogaster 7SK snRNP.另一种 D. melanogaster 7SK snRNP。
BMC Mol Cell Biol. 2021 Aug 31;22(1):43. doi: 10.1186/s12860-021-00381-7.
5
Delineation of the Exact Transcription Termination Signal for Type 3 Polymerase III.III型RNA聚合酶精确转录终止信号的描绘
Mol Ther Nucleic Acids. 2018 Mar 2;10:36-44. doi: 10.1016/j.omtn.2017.11.006. Epub 2017 Nov 21.
6
The Bin3 RNA methyltransferase targets 7SK RNA to control transcription and translation.Bin3 RNA 甲基转移酶将 7SK RNA 作为靶标来控制转录和翻译。
Wiley Interdiscip Rev RNA. 2012 Sep-Oct;3(5):633-47. doi: 10.1002/wrna.1123. Epub 2012 Jun 27.
7
Multiple, dispersed human U6 small nuclear RNA genes with varied transcriptional efficiencies.多个分散的人类U6小核RNA基因,转录效率各异。
Nucleic Acids Res. 2003 May 1;31(9):2344-52. doi: 10.1093/nar/gkg331.
8
Transcription of the human U2 snRNA genes continues beyond the 3' box in vivo.在体内,人类U2小核RNA基因的转录会延续至3'框之外。
EMBO J. 1999 May 17;18(10):2867-77. doi: 10.1093/emboj/18.10.2867.
9
Genomic organization, 5'-flanking region and chromosomal localization of the human glutathione transferase A4 gene.人类谷胱甘肽转移酶A4基因的基因组结构、5'侧翼区域及染色体定位
Biochem J. 1998 Dec 1;336 ( Pt 2)(Pt 2):437-42. doi: 10.1042/bj3360437.
10
Regional and temporal specialization in the nucleus: a transcriptionally-active nuclear domain rich in PTF, Oct1 and PIKA antigens associates with specific chromosomes early in the cell cycle.细胞核中的区域和时间特异性:一个富含PTF、Oct1和PIKA抗原的转录活性核结构域在细胞周期早期与特定染色体相关联。
EMBO J. 1998 Mar 16;17(6):1768-78. doi: 10.1093/emboj/17.6.1768.
从分离的哺乳动物细胞核的可溶性提取物中,RNA聚合酶II进行准确的转录起始。
Nucleic Acids Res. 1983 Mar 11;11(5):1475-89. doi: 10.1093/nar/11.5.1475.
4
Sequences of four tRNA genes from Caenorhabditis elegans and the expression of C. elegans tRNALeu (anticodon IAG) in Xenopus oocytes.秀丽隐杆线虫四个tRNA基因的序列以及秀丽隐杆线虫tRNALeu(反密码子IAG)在非洲爪蟾卵母细胞中的表达。
Nucleic Acids Res. 1982 Dec 20;10(24):7919-34. doi: 10.1093/nar/10.24.7919.
5
DNA sequences complementary to human 7 SK RNA show structural similarities to the short mobile elements of the mammalian genome.
J Mol Biol. 1984 Aug 25;177(4):575-90. doi: 10.1016/0022-2836(84)90038-x.
6
Transcription of class III genes: formation of preinitiation complexes.III类基因的转录:起始前复合物的形成。
Science. 1983 Nov 18;222(4625):740-8. doi: 10.1126/science.6356356.
7
Transcription by RNA polymerase III.由RNA聚合酶III进行转录。
Curr Top Dev Biol. 1983;18:59-88. doi: 10.1016/s0070-2153(08)60579-7.
8
pEMBL: a new family of single stranded plasmids.pEMBL:一类新型单链质粒。
Nucleic Acids Res. 1983 Mar 25;11(6):1645-55. doi: 10.1093/nar/11.6.1645.
9
Common and interchangeable elements in the promoters of genes transcribed by RNA polymerase iii.由RNA聚合酶III转录的基因启动子中的常见且可互换元件。
Cell. 1983 Mar;32(3):725-33. doi: 10.1016/0092-8674(83)90058-2.
10
Nucleotide sequences in Xenopus 5S DNA required for transcription termination.非洲爪蟾5S DNA转录终止所需的核苷酸序列。
Cell. 1981 Apr;24(1):261-70. doi: 10.1016/0092-8674(81)90522-5.